• Lösungen
      • Praxis- & Laborplanung
        • Lookbook
        • existKONZEPT
        • Existenzgründungsberatung
        • designkonzept
      • Geräte
        • Behandlungseinheiten
        • Röntgen
        • CAD/CAM
        • Hygiene
        • Prophylaxe
        • Chirurgie
        • Intraoralscanner
        • Mikroskopie
      • Praxisbörse
      • Fundgrube
    • Shop
      • Praxis
        • Abformmaterialien
        • CAD / CAM
        • Implantologie
        • Desinfektion, Pflege und Sterilisation
        • Instrumente
        • EDV-Zubehör
        • Medikamente, Medizinprodukte und Sonstiges
        • Einwegartikel und Arbeitsschutz
        • Mundschutz und Gesichtsmasken
        • Endodontie
        • Praxisorganisation
        • Prophylaxe
        • Füllungen
        • Röntgen
        • Glas- und Kunststoffwaren
        • Rotierende Instrumente
        • Handschuhe
      • Labor
        • Ausarbeiten und Polieren
        • KFO
        • CAD / CAM
        • Modellherstellung
        • Desinfektion, Einwegartikel und Arbeitsschutz
        • Modellieren und Tiefziehen
        • Einbetten, Gießen und Löten
        • Verblendtechnik
        • Instrumente
        • Zähne und Prothetik
      • PLU°LINE
      • Aktionen
      • Praxisgeräte
        • Autoklaven und Sterilisatoren
        • CAD/CAM
        • Endodontie
        • Folienschweißgeräte
        • Hand- und Winkelstücke & Turbinen
        • Reinigungs- und Desinfektionsgeräte
        • HF Chirurgie
        • Lichtpolymerisation
        • Mischgeräte
        • Prophylaxe und ZEG
        • Diverse Praxisgeräte
        • Zubehör
      • Laborgeräte
        • Arbeitsvorbereitung
        • CAD / CAM
        • Gipsbereich
        • Gußbereich
        • Keramik
        • Kraftraum / Versorgung
        • Technik
      • Hersteller
    • Service
      • Recall und Prüfungen
      • Netzwerke, IT
      • Reparaturservice
      • Entsorgung in der Zahnarztpraxis
      • DS Win 11- Update
    • Training
    • Kontakt
    • Übersicht Lösungen
    • Praxis- & Laborplanung
      • Lookbook
      • existKONZEPT
      • Existenzgründungsberatung
      • designkonzept
    • Geräte
      • Behandlungseinheiten
      • Röntgen
      • CAD/CAM
      • Hygiene
      • Prophylaxe
      • Chirurgie
      • Intraoralscanner
      • Mikroskopie
    • Praxisbörse
    • Fundgrube
    • Übersicht Shop
    • Praxis
      • Abformmaterialien
      • CAD / CAM
      • Implantologie
      • Desinfektion, Pflege und Sterilisation
      • Instrumente
      • EDV-Zubehör
      • Medikamente, Medizinprodukte und Sonstiges
      • Einwegartikel und Arbeitsschutz
      • Mundschutz und Gesichtsmasken
      • Endodontie
      • Praxisorganisation
      • Prophylaxe
      • Füllungen
      • Röntgen
      • Glas- und Kunststoffwaren
      • Rotierende Instrumente
      • Handschuhe
    • Labor
      • Ausarbeiten und Polieren
      • KFO
      • CAD / CAM
      • Modellherstellung
      • Desinfektion, Einwegartikel und Arbeitsschutz
      • Modellieren und Tiefziehen
      • Einbetten, Gießen und Löten
      • Verblendtechnik
      • Instrumente
      • Zähne und Prothetik
    • PLU°LINE
    • Aktionen
    • Praxisgeräte
      • Autoklaven und Sterilisatoren
      • CAD/CAM
      • Endodontie
      • Folienschweißgeräte
      • Hand- und Winkelstücke & Turbinen
      • Reinigungs- und Desinfektionsgeräte
      • HF Chirurgie
      • Lichtpolymerisation
      • Mischgeräte
      • Prophylaxe und ZEG
      • Diverse Praxisgeräte
      • Zubehör
    • Laborgeräte
      • Arbeitsvorbereitung
      • CAD / CAM
      • Gipsbereich
      • Gußbereich
      • Keramik
      • Kraftraum / Versorgung
      • Technik
    • Hersteller
    • Übersicht Service
    • Recall und Prüfungen
    • Netzwerke, IT
    • Reparaturservice
    • Entsorgung in der Zahnarztpraxis
    • DS Win 11- Update
    Training
    Kontakt
    Scanner auslesen
    • Keine Suchergebnisse gefunden
  • Kontakt
    • Login

      Login

      Anmelden
      • Passwort vergessen?

      Sie sind neu im Shop?

      Jetzt registrieren
    Warenkorb 0 Art. 0,00 €
Weiter einkaufen
Dein Warenkorb ist leer
Zum Warenkorb
  • Übersicht Lösungen
  • Praxis- & Laborplanung
    • Lookbook
    • existKONZEPT
    • Existenzgründungsberatung
    • designkonzept
  • Geräte
    • Behandlungseinheiten
    • Röntgen
    • CAD/CAM
    • Hygiene
    • Prophylaxe
    • Chirurgie
    • Intraoralscanner
    • Mikroskopie
  • Praxisbörse
  • Fundgrube
  • Übersicht Shop
  • Praxis
    • Abformmaterialien
    • CAD / CAM
    • Implantologie
    • Desinfektion, Pflege und Sterilisation
    • Instrumente
    • EDV-Zubehör
    • Medikamente, Medizinprodukte und Sonstiges
    • Einwegartikel und Arbeitsschutz
    • Mundschutz und Gesichtsmasken
    • Endodontie
    • Praxisorganisation
    • Prophylaxe
    • Füllungen
    • Röntgen
    • Glas- und Kunststoffwaren
    • Rotierende Instrumente
    • Handschuhe
  • Labor
    • Ausarbeiten und Polieren
    • KFO
    • CAD / CAM
    • Modellherstellung
    • Desinfektion, Einwegartikel und Arbeitsschutz
    • Modellieren und Tiefziehen
    • Einbetten, Gießen und Löten
    • Verblendtechnik
    • Instrumente
    • Zähne und Prothetik
  • PLU°LINE
  • Aktionen
  • Praxisgeräte
    • Autoklaven und Sterilisatoren
    • CAD/CAM
    • Endodontie
    • Folienschweißgeräte
    • Hand- und Winkelstücke & Turbinen
    • Reinigungs- und Desinfektionsgeräte
    • HF Chirurgie
    • Lichtpolymerisation
    • Mischgeräte
    • Prophylaxe und ZEG
    • Diverse Praxisgeräte
    • Zubehör
  • Laborgeräte
    • Arbeitsvorbereitung
    • CAD / CAM
    • Gipsbereich
    • Gußbereich
    • Keramik
    • Kraftraum / Versorgung
    • Technik
  • Hersteller
  • Übersicht Service
  • Recall und Prüfungen
  • Netzwerke, IT
  • Reparaturservice
  • Entsorgung in der Zahnarztpraxis
  • DS Win 11- Update
Training
Kontakt
Scanner auslesen

Retraktion in Aktion: Den Weg zum Erfolg ebnen

Abformung, Befestigung, Eingliederung der Restauration; für viele Schritte im prothetischen Workflow ist ein uneingeschränkter Zugang zum Randbereich mit korrekter Retraktion des Weichgewebes entscheidend. Retraktion beinhaltet jedoch weit mehr als das Schaffen von Platz und die Freilegung der Präparationsgrenze. So gilt es ebenfalls, Blutungen zu stillen und Feuchtigkeit zu kontrollieren – alles in allem keine leichte Aufgabe. Durch die Beschäftigung mit den verfügbaren Methoden und ihren Besonderheiten gelingt es jedoch, die am besten geeignete Option für jeden Vorgang zu wählen – und so vorhersagbare, gleichbleibend gute Retraktionsergebnisse ohne unnötige Schädigung des Weichgewebes sicherzustellen.

Zugang zu engen Zwischenräumen: Die Herausforderungen der Retraktion

Wie bereits erwähnt, gestaltet sich die Retraktion nicht immer einfach und unkompliziert. Dies beginnt schon damit, dass der Mundraum nicht einfach zugänglich und trocken ist. Auf diesem engen Raum ist es schon schwierig genug, komplexe Behandlungen durchzuführen, dazu kommen jedoch auch noch physikalische Einschränkungen hinsichtlich der Beweglichkeit der Lippen, Zunge, Wangen und Gingiva sowie der Position der Zähne. Das erhöht den Schwierigkeitsgrad weiter. Blutungen des Weichgewebes können aus unterschiedlichen Gründen auftreten, und zwar bereits vor dem Einsatz von Instrumenten. Mögliche Ursachen sind Plaque und Entzündungen. Zudem kann die Einnahme blutverdünnender Medikamente die Hämostase erheblich erschweren. Damit seien nur die Herausforderungen genannt, die das Arbeiten im Mundraum mit sich bringt! Durch den Einsatz von Instrumenten und Materialien kommen noch weitere Herausforderungen hinzu. So sind viele Produkte hydrophob und darum auf ein trockenes Arbeitsfeld angewiesen. Blut und Speichel, die en Bereich kontaminieren und das gewünschte Ergebnis beeinträchtigen, sind demnach unbedingt fernzuhalten. Außerdem ist jede Retraktionstechnik mit eigenen Herausforderungen verbunden, wie beispielsweise technischen Schwierigkeiten, Kosten und Effizienz.

Den Weg ebnen: Retraktionsmethoden

Es bestehen verschiedene Möglichkeiten der korrekten Retraktion des Weichgewebes. Es handelt sich dabei in der Regel um mechanische, chemische oder chirurgische Methoden oder eine Kombination dieser.

Mechanische Retraktion:

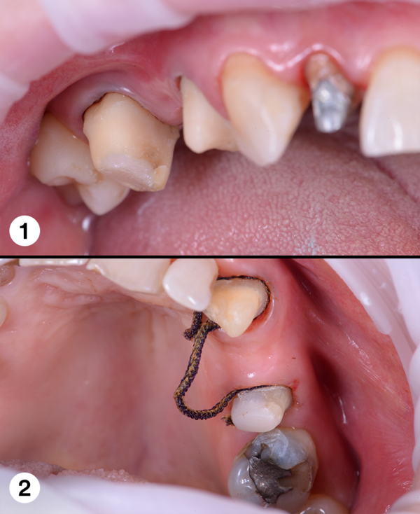
Mechanische Methoden basieren auf der physikalischen Verdrängung des Weichgewebes durch das Legen von Retraktionsfäden, Retraktionsbändern o. ä. in den Sulkus. Das Gewebe wird verschoben, Flüssigkeiten werden gestoppt und durch den ausgeübten Druck werden Blutungen gestillt (Abb. 1). Retraktionsfäden sind die am häufigsten verwendeten mechanischen Hilfsmittel – eingesetzt in der Einfaden- oder Doppelfadentechnik. Bei der Einfadentechnik wird ein einzelner Faden in den Sulkus gelegt und unmittelbar vor der Abformung wieder entfernt. Bei der Doppelfadentechnik kommen zwei Fäden zum Einsatz. Um das Gewebe besser zu verdrängen, wird erst ein dünnerer und auf diesen anschließend ein dickerer Faden gelegt (Abb. 2). Während der Abformung verbleibt der dünnere Faden im Sulkus.1 Generell sind Retraktionsfäden dann besonders hilfreich, wenn die Präparationsgrenze tief im subgingivalen Bereich liegt und eine deutliche Retraktion des Gewebes erforderlich ist. Allerdings hat der Einsatz rein mechanischer Retraktionsmethoden auch seine Grenzen. Je nach Lage der Präparationsgrenzen kann das Legen von Retraktionsfäden (oder der Einsatz anderer mechanischer Retraktionsmethoden) nicht die beste Wahl sein. Die Methode ist häufig zeitintensiv und techniksensitiv. Je nach klinischer Situation erfordert es zudem für eine korrekte Ausführung viel Geschick. Retraktionsfäden können das Sulkusepithel der Gingiva verletzen, falsches Handling Probleme verursachen. Mögliche Folgen sind u. a. eine Rezession der Gingiva und eine Exposition der Restaurationsränder.2 Hinzu kommt die Tatsache, dass das Legen der Fäden von Patienten selten als angenehm empfunden wird.

Abbildung 1. Klinische Situation nach Retraktion der Gingiva.

Abbildung 2. Um die Entfernung des zweiten Fadens zu erleichtern, kann wie in diesem Fall ein durchgängiger Faden verwendet werden.

Chemische Retraktion:

Zu den chemischen Retraktionsmitteln zählen verschiedene Lösungen, Gels und Pasten, die entweder den Adstringenzien, hämostatischen Mitteln oder Vasokonstriktoren zugeordnet werden können. Sie haben eine lokale Wirkung auf das Gewebe. 

  • Adstringenzien reagieren chemisch mit Proteinen im Weichgewebe und reduzieren dadurch die Zelldurchlässigkeit, während sie Flüssigkeit entziehen. Dadurch reduziert sich das Volumen des Gewebes und es trocknet aus
  • Hämostatische Mittel sind so konzipiert, dass sie die Gerinnung einleiten und so Blutungen stoppen
  • Vasokonstriktoren verengen die Blutgefäße selbst und verringern dadurch die Durchblutung Einige der am häufigsten verwendeten chemischen Retraktionsmittel sind Eisensulfat (Fe2(SO4)3), Epinephrin und Aluminiumchlorid (AlCl3).

Einige der am häufigsten verwendeten chemischen Retraktionsmittel sind Eisensulfat (Fe2(SO4)3), Epinephrin und Aluminiumchlorid (AlCl3).

Eisensulfat (Fe2(SO4)3

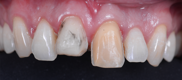
Eisensulfat ist ein konzentrierter Adstringent mit hämostatischen Eigenschaften, der häufig in Kombination mit Retraktionsfäden zum Einsatz kommt. Eisensulfat ist zwar sehr wirksam und lässt Blut rasch gerinnen, ist aber auch sauer. Verbleibt das Mittel auf der Zahnoberfläche, kann der hohe Säuregehalt diese unbeabsichtigt ätzen, die Haftfestigkeit von selbstätzenden Adhäsiven negativ beeinflussen und Gewebeirritationen sowie postoperative Sensitivitäten hervorrufen.1 Abhängig von der Mundflora kann Eisensulfat zudem vorübergehend gelb-bräunliche bis schwarze Verfärbungen auf dem Weichgewebe sowie den Zähnen hinterlassen (Abb. 3). Aus diesen Gründen ist es wichtig, Eisensulfat nicht im Übermaß zu verwenden. Vor der Applikation sollten Überschüsse sorgfältig entfernt werden, die Präparation ist während der Prozedur sauber zu halten und nach der Anwendung muss der gesamte Bereich gründlich mit Wasser gespült werden.

Abbildung 3. Durch Eisensulfat verursachte dunkle Verfärbungen auf der Zahnoberfläche nach Entfernung des Provisoriums.

Epinephrin

Epinephrin ist ein Vasokonstriktor, der am häufigsten in Kombination mit Retraktionsfäden Verwendung findet. Diese sind entweder getränkt oder imprägniert. Werden sie in den Sulkus gelegt, ziehen sich die Blutgefäße zusammen und die Blutung wird gestillt.3 Da es jedoch in der Lage ist, die Herzfrequenz und den Blutdruck zu erhöhen und außerdem Wechselwirkungen mit bestimmten Medikamenten verursacht, bestehen gewisse Bedenken hinsichtlich des Einsatzes von Epinephrin bei Patienten mit kardiovaskulären Erkrankungen oder Bluthochdruck.4 Aufgrund des Fehlens allgemeiner Empfehlungen zu diesem Thema erscheint es sinnvoll, den allgemeinen Gesundheitszustand eines Patienten ebenso wie seine Mundgesundheit zu berücksichtigen und mögliche Risiken auszuschließen.

 

Aluminumchlorid (AlCl3)

Zu den am häufigsten verwendeten Adstringenzien zählt Aluminiumchlorid. Es reagiert mit Proteinen im Blut, baut eine Barriere mit koagulierten Proteinen auf und stoppt Blutungen entweder durch einen physischen Gewebe- oder einen Gefäßverschluss. In der Zahnheilkunde kommen mit AlCl3 imprägnierte Retraktionsfäden oder mit AlCl3 versetzte Pasten und Gele wie die 3M™ Adstringierende Retraktionspaste zum Einsatz. Letztgenannte kann allein der in Kombination mit einem Retraktionsfaden angewendet werden (Abb. 4). AlCl3 bietet nicht nur eine ausgezeichnete Hämostase, sondern ist auch die am wenigsten reizende der chemischen Retraktionslösungen und weniger sauer als Eisensulfat. Dadurch wird das Risiko minimiert, dass es ungewollt zu Ätzungen, Verfärbungen und Reizungen kommt. Wie jede chemische Lösung kann allerdings auch AlCl3 Nebenwirkungen verursachen, wenn die Einwirkzeit zu lang ist oder die Oberfläche nicht gründlich genug gespült wird. Es ist wichtig zu wissen, dass Aluminiumchlorid die Abbindung einige Abformmaterialien unterbrechen kann, wenn Rückstände auf der Oberfläche verbleiben. Unabhängig davon, welche chemische Lösung verwendet wird, ist die Einhaltung der empfohlenen Einwirkzeit entscheidend. Sobald das Arbeitsfeld ausreichend trockengelegt ist, muss die Chemikalie vollständig (durch Spülen mit Wasser) entfernt werden. Rückstände könnten sonst chemisch mit dem Abformmaterial, Adhäsiv oder Zement reagieren. Zudem ist es wichtig, sich bewusst zu machen, dass die chemischen Retraktionsmittel für die Anwendung im Sulkus entwickelt wurden. Auf der Präparation haben sie nichts verloren. Wie bei vielen anderen Dentalmaterialien sind auch hier das Timing und die Liebe zum Detail entscheidend. Bei korrekter und sorgfältiger Anwendung der Materialien lassen sich potenzielle Probleme vermeiden.

 

Abbildung 4. 3M™ Adstringierende Retraktionspaste mit AlCl3, eingesetzt zur Retraktion.

Chirurgisch:

Die invasivste aller Retraktionsmethoden ist die chirurgische Retraktion. Bei ihr wird Weichgewebe entfernt oder verätzt, um ausreichen Platz zwischen der Präparationsgrenze und der Gingiva zu schaffen. Diese Methoden (Kürettage mit rotierenden Instrumenten, Elektro- und Laserchirurgie) werden nur in ausgewählten klinischen Situationen empfohlen. Beispiele sind Fälle mit Gingivahyperplasie und entzündetem Weichgewebe infolge einer Schädigung des dentogingivalen Komplexes.

Kombination:

Es gelingt nur sehr selten, einen Zahn im Kontaktbereich mit der Gingiva zu präparieren und zu restaurieren, ohne dabei auch nur eine geringe Blutung zu verursachen. Darum wird in vielen Fällen eine Kombination der beschriebenen Retraktionsmethoden benötigt, um die Blutung wirksam zu stoppen. So reicht der Druck eines Retraktionsfadens beispielsweise in der Regel nicht aus, um die Blutung alleine zu stoppen, weshalb viele Retraktionsfäden mit einem chemischen Mittel getränkt oder imprägniert sind.

Retraktion in Aktion: 3M™ Adstringierende Retraktionspaste

Es gibt viele verschiedene Retraktionslösungen auf dem Markt. Einige von ihnen erleichtern nicht nur das Gingivamanagement, sondern bietet zusätzliche Vorteile. Die 3M™ Adstringierende Retraktionspaste verfügt beispielsweise über eine extrafeine Kapselspitze, die den Zugang zum Sulkus erleichtert. Die applizierte Paste retrahiert das Weichgewebe dann schonend. Anders als Retraktionsfäden, deren Anwendung sich oft herausfordernd und zeitaufwendig gestaltet, ist diese Lösung schnell, praktisch, wirksam und schonender für das Weichgewebe. Darüber hinaus ist die hygienische Einwegkapsel so gestaltet, dass sie mit herkömmlichen Komposit-Dispensern kompatibel ist. Dadurch wird kein zusätzliches Zubehör benötigt. Allerdings sind für optimale Ergebnisse die Anwendungsempfehlungen zu berücksichtigen. Für einen wirksamen Einsatz der 3M™ Adstringierenden Retraktionspaste ist Folgendes zu beachten:

  1. Eine kleine Menge an Paste ausgeben und verwerfen.
  2. Die extrafeine Kapselspitze in den Sulkus einführen und die Paste dann langsam, aber gleichmäßig injizieren, bis der Sulkus bis zur Präparationsgrenze gefüllt ist. Zu große Überschüsse sind zu vermeiden.
  3. Die Paste für mindestens zwei Minuten einwirken lassen.
  4. Gründlich mit Luft-Wassergemisch spülen und absaugen (Abb. 5.)

Bildunterschrift: Abbildung 5. 3M™ Adstringierende Retraktionspaste: Schritt-für-Schritt Anweisungen für bestmögliche Ergebnisse.

Diese Methode ist besonders hilfreich in Situationen mit einer equigingivalen der supragingivalen Lage der Präparationsgrenze, da sie natürlich non-invasiv ist. Das Gewebe kehrt in der Regel nach der Anwendung in den Ausgangszustand zurück und die Methode ist deutlich zeitsparender als andere mechanische Retraktionsmethoden wie das Legen von Fäden.

Bildunterschrift: Abbildung 6: Zusammenfassung der klinischen Empfehlungen für ein optimales Gingivamanagement.

Fazit:

Retraktion, Hämostase und Feuchtigkeitskontrolle sind wichtige Voraussetzungen für erfolgreiche prothetische Behandlungen, aber nicht immer einfach zu erzielen. Zusätzlich zu den Herausforderungen, die ein Arbeiten in der Mundhöhle mit sich bringt, fällt es nicht immer leicht, aus den zahlreichen verfügbaren Retraktionsmethoden mit ihren Vor- und Nachteilen die am besten geeignete auszuwählen. Die richtige Wahl kann jedoch einen großen Einfluss auf den gesamten Prozess haben. Ist ein Retraktionsfaden zu klein, so verbleibt er nicht an Ort und Stelle oder bringt nicht das gewünschte Ergebnis. Bei einer subgingivalen Präparationsgrenze und Bedarf an einer vollständigen Retraktion des Weichgewebes reicht Paste alleine nicht aus. Bei equigingivalen oder supragingivalen Präparationsgrenzen ist das Gingivamanagement hingegen mittels Faden möglich, mittels Paste aber möglicherweise einfacher. Die oben abgebildete Tabelle bietet einen Überblick über die Empfehlungen der Retraktionsmethode je nach Position der Präparationsgrenze (Abb. 6). Es ist entscheidend, stets die richtige Methode zu wählen, anderenfalls bleibt der Erfolg aus. Wer allerdings einmal verstanden hat, welche Optionen bestehen und welchen Nutzen sie in welcher Situation bieten, können Sie den Weg zum Erfolg ebnen – Fall für Fall.

Literaturangaben: 1. S S, Ma VS, Mi VS, F HG, M H. Gingival Retraction Methods for Fabrication of Fixed Partial Denture: Literature Review. J Dent Biomater. 2016 Jun;3(2):205-213. 2. Rajambigai MA, Raja SR, Soundar SI, Kandasamy M. Quick, painless, and atraumatic gingival retraction: An overview of advanced materials. J Pharm Bioallied Sci. 2016 Oct;8 3. Bader JD, Bonito AJ, Shugars DA. Cardiovascular Effects of Epinephrine in Hypertensive Dental Patients: Summary. 2002 Mar. In: AHRQ Evidence Report Summaries. Rockville (MD): Agency for Healthcare Research and Quality (US); 1998-2005. 4. Jang Y, Kim E. Cardiovascular effect of epinephrine in endodontic microsurgery: a review. Restor Dent Endod. 2013 Nov;38(4):187-93.

Newsletter Anmeldung

Melden Sie sich jetzt für unseren Newsletter an und genießen Sie alle Vorteile.

  • Informationen zu deNTAL BAUER Aktionen
  • Rabatte und exklusive Angebote
  • Aktuelle News der Dentalbranche
Anmelden
Unternehmen
  • Karriere
  • Wer wir sind
  • Standorte
  • Zertifizierung
Unser Angebot
  • Lösungen
  • Shop
  • Service
  • Training
  • Praxisbörse
  • Fundgrube
  • Dental Deals
  • PLU°LINE
  • Mundoline
  • Magazin
Hilfe & Information
  • FAQs (Häufige Fragen)
  • Registrierung
  • Bestellungen
  • Zähne
  • Versand
  • Retouren
  • Tutorials
  • Downloads
  • SEPA
  • Barcodes erstellen
Kontaktinformationen
Bestellungen per WhatsApp: 07071/977768
08:00 - 17:15 Uhr
08:00 - 16:00 Uhr
00800/77655440
eshop@dentalbauer.de
  • Datenschutz
  • Impressum
  • Disclaimer
  • AGB
  • Cookie-Einstellungen
  • Deutsch
© 2025 dental bauer
Deutsch