• Lösungen
      • Praxis- & Laborplanung
        • Lookbook
        • existKONZEPT
        • Existenzgründungsberatung
        • designkonzept
      • Geräte
        • Behandlungseinheiten
        • Röntgen
        • CAD/CAM
        • Hygiene
        • Prophylaxe
        • Chirurgie
        • Intraoralscanner
        • Mikroskopie
      • Praxisbörse
      • Fundgrube
    • Shop
      • Praxis
        • Abformmaterialien
        • CAD / CAM
        • Implantologie
        • Desinfektion, Pflege und Sterilisation
        • Instrumente
        • EDV-Zubehör
        • Medikamente, Medizinprodukte und Sonstiges
        • Einwegartikel und Arbeitsschutz
        • Mundschutz und Gesichtsmasken
        • Endodontie
        • Praxisorganisation
        • Prophylaxe
        • Füllungen
        • Röntgen
        • Glas- und Kunststoffwaren
        • Rotierende Instrumente
        • Handschuhe
      • Labor
        • Ausarbeiten und Polieren
        • KFO
        • CAD / CAM
        • Modellherstellung
        • Desinfektion, Einwegartikel und Arbeitsschutz
        • Modellieren und Tiefziehen
        • Einbetten, Gießen und Löten
        • Verblendtechnik
        • Instrumente
        • Zähne und Prothetik
      • PLU°LINE
      • Aktionen
      • Praxisgeräte
        • Autoklaven und Sterilisatoren
        • CAD/CAM
        • Endodontie
        • Folienschweißgeräte
        • Hand- und Winkelstücke & Turbinen
        • Reinigungs- und Desinfektionsgeräte
        • HF Chirurgie
        • Lichtpolymerisation
        • Mischgeräte
        • Prophylaxe und ZEG
        • Diverse Praxisgeräte
        • Zubehör
      • Laborgeräte
        • Arbeitsvorbereitung
        • CAD / CAM
        • Gipsbereich
        • Gußbereich
        • Keramik
        • Kraftraum / Versorgung
        • Technik
      • Hersteller
    • Service
      • Recall und Prüfungen
      • Netzwerke, IT
      • Reparaturservice
      • Entsorgung in der Zahnarztpraxis
      • DS Win 11- Update
    • Training
    • Kontakt
    • Übersicht Lösungen
    • Praxis- & Laborplanung
      • Lookbook
      • existKONZEPT
      • Existenzgründungsberatung
      • designkonzept
    • Geräte
      • Behandlungseinheiten
      • Röntgen
      • CAD/CAM
      • Hygiene
      • Prophylaxe
      • Chirurgie
      • Intraoralscanner
      • Mikroskopie
    • Praxisbörse
    • Fundgrube
    • Übersicht Shop
    • Praxis
      • Abformmaterialien
      • CAD / CAM
      • Implantologie
      • Desinfektion, Pflege und Sterilisation
      • Instrumente
      • EDV-Zubehör
      • Medikamente, Medizinprodukte und Sonstiges
      • Einwegartikel und Arbeitsschutz
      • Mundschutz und Gesichtsmasken
      • Endodontie
      • Praxisorganisation
      • Prophylaxe
      • Füllungen
      • Röntgen
      • Glas- und Kunststoffwaren
      • Rotierende Instrumente
      • Handschuhe
    • Labor
      • Ausarbeiten und Polieren
      • KFO
      • CAD / CAM
      • Modellherstellung
      • Desinfektion, Einwegartikel und Arbeitsschutz
      • Modellieren und Tiefziehen
      • Einbetten, Gießen und Löten
      • Verblendtechnik
      • Instrumente
      • Zähne und Prothetik
    • PLU°LINE
    • Aktionen
    • Praxisgeräte
      • Autoklaven und Sterilisatoren
      • CAD/CAM
      • Endodontie
      • Folienschweißgeräte
      • Hand- und Winkelstücke & Turbinen
      • Reinigungs- und Desinfektionsgeräte
      • HF Chirurgie
      • Lichtpolymerisation
      • Mischgeräte
      • Prophylaxe und ZEG
      • Diverse Praxisgeräte
      • Zubehör
    • Laborgeräte
      • Arbeitsvorbereitung
      • CAD / CAM
      • Gipsbereich
      • Gußbereich
      • Keramik
      • Kraftraum / Versorgung
      • Technik
    • Hersteller
    • Übersicht Service
    • Recall und Prüfungen
    • Netzwerke, IT
    • Reparaturservice
    • Entsorgung in der Zahnarztpraxis
    • DS Win 11- Update
    Training
    Kontakt
    Scanner auslesen
    • Keine Suchergebnisse gefunden
  • Kontakt
    • Login

      Login

      Anmelden
      • Passwort vergessen?

      Sie sind neu im Shop?

      Jetzt registrieren
    Warenkorb 0 Art. 0,00 €
Weiter einkaufen
Dein Warenkorb ist leer
Zum Warenkorb
  • Übersicht Lösungen
  • Praxis- & Laborplanung
    • Lookbook
    • existKONZEPT
    • Existenzgründungsberatung
    • designkonzept
  • Geräte
    • Behandlungseinheiten
    • Röntgen
    • CAD/CAM
    • Hygiene
    • Prophylaxe
    • Chirurgie
    • Intraoralscanner
    • Mikroskopie
  • Praxisbörse
  • Fundgrube
  • Übersicht Shop
  • Praxis
    • Abformmaterialien
    • CAD / CAM
    • Implantologie
    • Desinfektion, Pflege und Sterilisation
    • Instrumente
    • EDV-Zubehör
    • Medikamente, Medizinprodukte und Sonstiges
    • Einwegartikel und Arbeitsschutz
    • Mundschutz und Gesichtsmasken
    • Endodontie
    • Praxisorganisation
    • Prophylaxe
    • Füllungen
    • Röntgen
    • Glas- und Kunststoffwaren
    • Rotierende Instrumente
    • Handschuhe
  • Labor
    • Ausarbeiten und Polieren
    • KFO
    • CAD / CAM
    • Modellherstellung
    • Desinfektion, Einwegartikel und Arbeitsschutz
    • Modellieren und Tiefziehen
    • Einbetten, Gießen und Löten
    • Verblendtechnik
    • Instrumente
    • Zähne und Prothetik
  • PLU°LINE
  • Aktionen
  • Praxisgeräte
    • Autoklaven und Sterilisatoren
    • CAD/CAM
    • Endodontie
    • Folienschweißgeräte
    • Hand- und Winkelstücke & Turbinen
    • Reinigungs- und Desinfektionsgeräte
    • HF Chirurgie
    • Lichtpolymerisation
    • Mischgeräte
    • Prophylaxe und ZEG
    • Diverse Praxisgeräte
    • Zubehör
  • Laborgeräte
    • Arbeitsvorbereitung
    • CAD / CAM
    • Gipsbereich
    • Gußbereich
    • Keramik
    • Kraftraum / Versorgung
    • Technik
  • Hersteller
  • Übersicht Service
  • Recall und Prüfungen
  • Netzwerke, IT
  • Reparaturservice
  • Entsorgung in der Zahnarztpraxis
  • DS Win 11- Update
Training
Kontakt
Scanner auslesen

3M™ Filtek™ Easy Match Clinical Cases

Dr. Silvana Thering ist Spezialistin für zahnärztliche Prothetik und promovierte in nicht-invasiver Diagnostik an der Universität Victor Babes in Timisoara (Rumänien). Nach einigen Jahren als Zahnärztin in ihrem Heimatland und sieben Jahren als Assistenzprofessorin zog sie nach Deutschland. Ihr Behandlungsschwerpunkt liegt im Bereich komplexer ästhetischer und funktioneller (implantatgetragener) Rehabilitationen, wobei sie sowohl traditionelle als auch moderne prothetische Techniken anwendet und sich hauptsächlich auf minimalinvasive Verfahren konzentriert. Sie hat mehrere Artikel und Buchkapitel auf dem Gebiet der restaurativen Zahnheilkunde und der minimal-/nichtinvasiven Diagnostik verfasst und ist Mitglied in verschiedenen Fachverbänden. Außerdem referiert sie zu diversen Themen im Zusammenhang mit ästhetischen direkten und indirekten Restaurationen, komplexen adhäsiven Rekonstruktionen und Implantatprothetik.

Restauration einer frakturierten Inzisalkante bei einer jungen Patientin

Fallbeschreibung:

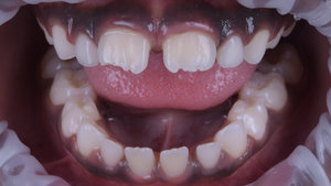
Ein sechsjähriges Mädchen, das sich guter Gesundheit erfreute, stellte sich mit ihrer Mutter in der Praxis vor. Ihr Hauptanliegen war die Versorgung der frakturierten Inzisalkante des Zahnes 11. Aufgetreten war die Fraktur im Rahmen eines Unfalls in der Schule. Bei der klinischen Untersuchung zeigte sich eine Schmelzfraktur an der Schneidekante sowie dem distalen Rand des Zahnes 11. Gemeinsam mit der Mutter wurde entschieden, die Form, Kontur und Ästhetik des Zahnes mit Komposit wiederherzustellen. Die Komposit-Versorgung wurde freihändig hergestellt – anstelle eines palatinalen Silikonschlüssels wurde zur Stabilisierung ein Finger verwendet (sog. Finger Index Technique). Zur Wiederherstellung der Form, Kontur und Ästhetik kam 3M Filtek Easy Match Universal Restorative im Farbton Bright zum Einsatz. Die Formgebung im Bereich der Inzisalkante erfolgte mit feinkörnigen rotierenden Instrumenten. Die Materialien der Wahl für die finale Oberflächenpolitur waren 3M Sof-Lex Ausarbeitungs- und Polierscheiben, Bimssteinpaste und Polierpaste.

 

 

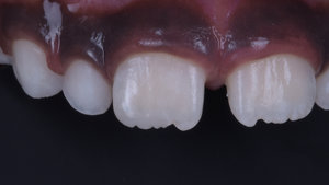
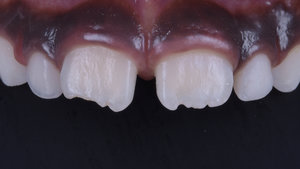
Ausgangssituation

 

Detailansicht der Oberkiefer-Frontzähne.

Horizontale Kronenfraktur unter Einbeziehung der Inzisalkante sowie des distalen Anteils von Zahn 11.

 

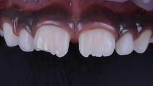
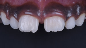
Detailansicht des frakturierten Zahnes.

Ansicht von lateral.

 

Anschrägen des Zahnschmelzes.

Zur Verbesserung der Form und Kontur kam eine 3M Sof-Lex Ausarbeitungs- und Polierscheibe grober Körnung zum Einsatz.

 

Schmelzätzung.

Konditionierung des Schmelzes an Zahn 11 mit 3M Scotchbond Universal Ätzgel. Die Einwirkzeit sollte 15 Sekunden betragen.

 

Gründliches Spülen mit Wasser und Trocknen mit wasser- und ölfreier Luft.

Schmelzklebefläche an Zahn 11 nach dem Ätzen.

Adhäsiv-Applikation.

Klebefläche an Zahn 11 nach der Applikation von 3M Scotchbond Universal Plus Adhäsiv. Das Adhäsiv wurde zuvor mit einem LED-Polymerisationsgerät für zehn Sekunden lichtgehärtet.

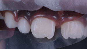
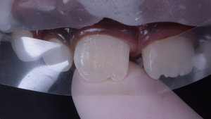
Finger Index Technique.

Ein Finger dient als Grundlage für die Applikation von 3M Filtek Easy Match Universal Komposit im Farbton Bright zur Wiederherstellung der Form, Kontur und Ästhetik.

 

Restauration mit Komposit.

Freihand-Modellation der Komposit-Restauration.

Ausarbeitung und Politur.

Polierte Oberfläche der Restauration an Zahn 11. 3M Sof-Lex Ausarbeitungs- und Polierscheiben Medium, Fein, Superfein, Bimssteinpaste und Polierpaste kamen zum Einsatz. Die Ausformung der Inzisalkante erfolgte mit feinkörnigen rotierenden Instrumenten.

 

Behandlungsergebnis. 

Ansicht des Zahnes 11 von lateral.

 

 

Restauration nach Fertigstellung. 

Eine komplette Produktbeschreibung entnehmen Sie bitte der Gebrauchsanweisung (IFU). Ergebnisse können abweichen.

Newsletter Anmeldung

Melden Sie sich jetzt für unseren Newsletter an und genießen Sie alle Vorteile.

  • Informationen zu deNTAL BAUER Aktionen
  • Rabatte und exklusive Angebote
  • Aktuelle News der Dentalbranche
Anmelden
Unternehmen
  • Karriere
  • Wer wir sind
  • Standorte
  • Zertifizierung
Unser Angebot
  • Lösungen
  • Shop
  • Service
  • Training
  • Praxisbörse
  • Fundgrube
  • Dental Deals
  • PLU°LINE
  • Mundoline
  • Magazin
Hilfe & Information
  • FAQs (Häufige Fragen)
  • Registrierung
  • Bestellungen
  • Zähne
  • Versand
  • Retouren
  • Tutorials
  • Downloads
  • SEPA
  • Barcodes erstellen
Kontaktinformationen
Bestellungen per WhatsApp: 07071/977768
08:00 - 17:15 Uhr
08:00 - 16:00 Uhr
00800/77655440
eshop@dentalbauer.de
  • Datenschutz
  • Impressum
  • Disclaimer
  • AGB
  • Cookie-Einstellungen
  • Deutsch
© 2025 dental bauer
Deutsch