• Lösungen
      • Praxis- & Laborplanung
        • Lookbook
        • existKONZEPT
        • Existenzgründungsberatung
        • designkonzept
      • Geräte
        • Behandlungseinheiten
        • Röntgen
        • CAD/CAM
        • Hygiene
        • Prophylaxe
        • Chirurgie
        • Intraoralscanner
        • Mikroskopie
      • Praxisbörse
      • Fundgrube
    • Shop
      • Praxis
        • Abformmaterialien
        • CAD / CAM
        • Implantologie
        • Desinfektion, Pflege und Sterilisation
        • Instrumente
        • EDV-Zubehör
        • Medikamente, Medizinprodukte und Sonstiges
        • Einwegartikel und Arbeitsschutz
        • Mundschutz und Gesichtsmasken
        • Endodontie
        • Praxisorganisation
        • Prophylaxe
        • Füllungen
        • Röntgen
        • Glas- und Kunststoffwaren
        • Rotierende Instrumente
        • Handschuhe
      • Labor
        • Ausarbeiten und Polieren
        • KFO
        • CAD / CAM
        • Modellherstellung
        • Desinfektion, Einwegartikel und Arbeitsschutz
        • Modellieren und Tiefziehen
        • Einbetten, Gießen und Löten
        • Verblendtechnik
        • Instrumente
        • Zähne und Prothetik
      • PLU°LINE
      • Aktionen
      • Praxisgeräte
        • Autoklaven und Sterilisatoren
        • CAD/CAM
        • Endodontie
        • Folienschweißgeräte
        • Hand- und Winkelstücke & Turbinen
        • Reinigungs- und Desinfektionsgeräte
        • HF Chirurgie
        • Lichtpolymerisation
        • Mischgeräte
        • Prophylaxe und ZEG
        • Diverse Praxisgeräte
        • Zubehör
      • Laborgeräte
        • Arbeitsvorbereitung
        • CAD / CAM
        • Gipsbereich
        • Gußbereich
        • Keramik
        • Kraftraum / Versorgung
        • Technik
      • Hersteller
    • Service
      • Recall und Prüfungen
      • Netzwerke, IT
      • Reparaturservice
      • Entsorgung in der Zahnarztpraxis
      • DS Win 11- Update
    • Training
    • Kontakt
    • Übersicht Lösungen
    • Praxis- & Laborplanung
      • Lookbook
      • existKONZEPT
      • Existenzgründungsberatung
      • designkonzept
    • Geräte
      • Behandlungseinheiten
      • Röntgen
      • CAD/CAM
      • Hygiene
      • Prophylaxe
      • Chirurgie
      • Intraoralscanner
      • Mikroskopie
    • Praxisbörse
    • Fundgrube
    • Übersicht Shop
    • Praxis
      • Abformmaterialien
      • CAD / CAM
      • Implantologie
      • Desinfektion, Pflege und Sterilisation
      • Instrumente
      • EDV-Zubehör
      • Medikamente, Medizinprodukte und Sonstiges
      • Einwegartikel und Arbeitsschutz
      • Mundschutz und Gesichtsmasken
      • Endodontie
      • Praxisorganisation
      • Prophylaxe
      • Füllungen
      • Röntgen
      • Glas- und Kunststoffwaren
      • Rotierende Instrumente
      • Handschuhe
    • Labor
      • Ausarbeiten und Polieren
      • KFO
      • CAD / CAM
      • Modellherstellung
      • Desinfektion, Einwegartikel und Arbeitsschutz
      • Modellieren und Tiefziehen
      • Einbetten, Gießen und Löten
      • Verblendtechnik
      • Instrumente
      • Zähne und Prothetik
    • PLU°LINE
    • Aktionen
    • Praxisgeräte
      • Autoklaven und Sterilisatoren
      • CAD/CAM
      • Endodontie
      • Folienschweißgeräte
      • Hand- und Winkelstücke & Turbinen
      • Reinigungs- und Desinfektionsgeräte
      • HF Chirurgie
      • Lichtpolymerisation
      • Mischgeräte
      • Prophylaxe und ZEG
      • Diverse Praxisgeräte
      • Zubehör
    • Laborgeräte
      • Arbeitsvorbereitung
      • CAD / CAM
      • Gipsbereich
      • Gußbereich
      • Keramik
      • Kraftraum / Versorgung
      • Technik
    • Hersteller
    • Übersicht Service
    • Recall und Prüfungen
    • Netzwerke, IT
    • Reparaturservice
    • Entsorgung in der Zahnarztpraxis
    • DS Win 11- Update
    Training
    Kontakt
    Scanner auslesen
    • Keine Suchergebnisse gefunden
  • Kontakt
    • Login

      Login

      Anmelden
      • Passwort vergessen?

      Sie sind neu im Shop?

      Jetzt registrieren
    Warenkorb 0 Art. 0,00 €
Weiter einkaufen
Dein Warenkorb ist leer
Zum Warenkorb
  • Übersicht Lösungen
  • Praxis- & Laborplanung
    • Lookbook
    • existKONZEPT
    • Existenzgründungsberatung
    • designkonzept
  • Geräte
    • Behandlungseinheiten
    • Röntgen
    • CAD/CAM
    • Hygiene
    • Prophylaxe
    • Chirurgie
    • Intraoralscanner
    • Mikroskopie
  • Praxisbörse
  • Fundgrube
  • Übersicht Shop
  • Praxis
    • Abformmaterialien
    • CAD / CAM
    • Implantologie
    • Desinfektion, Pflege und Sterilisation
    • Instrumente
    • EDV-Zubehör
    • Medikamente, Medizinprodukte und Sonstiges
    • Einwegartikel und Arbeitsschutz
    • Mundschutz und Gesichtsmasken
    • Endodontie
    • Praxisorganisation
    • Prophylaxe
    • Füllungen
    • Röntgen
    • Glas- und Kunststoffwaren
    • Rotierende Instrumente
    • Handschuhe
  • Labor
    • Ausarbeiten und Polieren
    • KFO
    • CAD / CAM
    • Modellherstellung
    • Desinfektion, Einwegartikel und Arbeitsschutz
    • Modellieren und Tiefziehen
    • Einbetten, Gießen und Löten
    • Verblendtechnik
    • Instrumente
    • Zähne und Prothetik
  • PLU°LINE
  • Aktionen
  • Praxisgeräte
    • Autoklaven und Sterilisatoren
    • CAD/CAM
    • Endodontie
    • Folienschweißgeräte
    • Hand- und Winkelstücke & Turbinen
    • Reinigungs- und Desinfektionsgeräte
    • HF Chirurgie
    • Lichtpolymerisation
    • Mischgeräte
    • Prophylaxe und ZEG
    • Diverse Praxisgeräte
    • Zubehör
  • Laborgeräte
    • Arbeitsvorbereitung
    • CAD / CAM
    • Gipsbereich
    • Gußbereich
    • Keramik
    • Kraftraum / Versorgung
    • Technik
  • Hersteller
  • Übersicht Service
  • Recall und Prüfungen
  • Netzwerke, IT
  • Reparaturservice
  • Entsorgung in der Zahnarztpraxis
  • DS Win 11- Update
Training
Kontakt
Scanner auslesen

Befestigung leicht gemacht

#1 / AUGUST 2024
Verwirrt beim Thema Befestigungsmaterialien?
 
Sie sind nicht alleine!
Erfahren Sie, wie sich Befestigungsworkflows vereinfachen und Prozesse in der Praxis rationalisieren lassen – beginnend mit dem Materialbestand. Wenn es um die Auswahl moderner Materialien in der Zahnheilkunde geht, sind die Ziele klar: Leistungsfähig, genau, sicher und einfach anzuwenden sollten sie sein sowie zu vorhersagbaren Ergebnissen führen. Echte Vereinfachung ist jedoch oft leichter gesagt als getan. Dies gilt speziell für komplexe Prozesse. Und die Befestigung bleibt einer der komplexesten – und häufig unübersichtlichen – Prozesse innerhalb prothetischer Workflows.


Verwirrung bei der Befestigung

Verfahren zur Herstellung indirekter Restaurationen sind in der Regel zeitaufwendig, kompliziert und erfordern viele Schritte. Und obwohl die definitive Eingliederung einer Krone nur einen kleinen Teil der insgesamt benötigten Zeit ausmacht, ist sie einer der kritischsten Schritte im Arbeitsablauf. Fehler bei der Befestigung können zu einer Reihe von Problemen führen. Unter anderem sind sie eine mögliche Ursache für ein frühzeitiges Versagen der Restauration, das sowohl für den Zahnarzt als auch für den Patienten sehr kostspielig wäre.

erfolgreiche Eingliederung

Die erfolgreiche Befestigung hängt von zwei entscheidenden Faktoren ab: Der Trockenlegung und der Auswahl des Befestigungsmaterials. Während die korrekte Trockenlegung von den Fähigkeiten des Zahnarztes abhängt, der nur wenige Konzepte zur Auswahl hat, hängt die Wahl des geeigneten Befestigungsmaterials von einer Reihe von Faktoren ab. Einen wichtigen Einfluss haben beispielsweise das Restaurationsmaterial, das Substrat, die Indikationen und mehr. Diese Variablen allein können schon die Entscheidung erschweren, aber die schiere Anzahl an erhältlichen Befestigungssystemen kann die Aufgabe als unlösbar erscheinen lassen.

Entwicklung von Befestigungsmaterialien

Befestigungszemente und Adhäsive wurden so weiterentwickelt, dass sie die Anforderungen moderner Restaurationsmaterialien erfüllen. Inzwischen sind viele verschiedene Arten von Befestigungsmaterialien verfügbar, die sich teils nur geringfügig unterscheiden – sogar von ein und demselben Hersteller. Einige erfordern den Einsatz zusätzlicher Konditionierer und Haftvermittler, während andere nur für eine bestimmte Indikation oder Situation in Frage kommen. Infolgedessen entsteht in vielen Praxen eine riesige Sammlung von Befestigungsmaterialien mit sich überschneidenden Indikationen und drohenden Verfallsdaten.

Vereinfachen und standardisieren der Befestigung

Wenn Sie schon einmal Ihren Lagerbestand überprüft und festgestellt haben, dass Sie mehrere Befestigungsmaterialien für die gleichen Indikationen besitzen oder gar eine Menge an kaum benutzten Materialien wegwerfen mussten, weil ihr Verfallsdatum überschritten war, dann sind Sie nicht allein. Leider ist dieses Phänomen vielen Zahnärzten nur allzu vertraut – und es erschwert den Weg zur Vereinfachung erheblich. Während die Vereinfachung von Praxisabläufen weit mehr betrifft als nur den Lagerbestand, kann eine Überprüfung der Produkte, die Sie verwenden – und die Sie nicht verwenden – Ihnen dabei helfen, einem rationalisierten Arbeitsablauf näher zu kommen.

Optimierung des LagerbestandES

Indem Sie Ihren Bestand auf eine überschaubare Anzahl vielseitiger Befestigungsmaterialien beschränken, vermeiden Sie Portfolio-Überschneidungen und reduzieren das Risiko, dass Produkte unbenutzt verfallen. Außerdem können Sie durch die Verwendung einer geringeren Anzahl ausgewählter Produkte Ihre Fachkenntnisse über diese Materialien vertiefen. Durch die Verschlankung Ihres Lagerbestandslässt sich nicht nur die uralte Debatte darüber lösen, welches Befestigungsmaterial in einem bestimmten Fall einzusetzen ist, sondern es können auch Unterschiede hinsichtlich des Kenntnisstands zwischen Ihnen und Ihrem Team abgebaut werden. Wenn jeder weiß, was vorrätig ist und wie es zu verwenden ist, können Sie gemeinsam die Gefahr reduzieren, dass Missverständnisse oder Fehler entstehen.

Eingrenzung der Materialauswahl

Wer ständig die Produkte wechselt, dem fällt es häufig schwer, sich mit den Materialien so gut vertraut zu machen, dass sich ihr Potenzial voll ausschöpfen lässt. Verwenden Sie jedoch immer wieder dieselben Materialien, so lernen Sie ihre einzigartige Zusammensetzung ebenso gut kennen wie ihre Vor- und Nachteile sowie die Besonderheiten bei der Anwendung. Dadurch reduzieren Sie das Fehlerrisiko und verbessern die Ergebnisse.

WELCHEN POSITIVEN EINFLUSS KANN EIN UNIVERSELLES BEFESTIGUNGSKOMPOSIT AUF IHRE PRAXIS HABEN?

Der nächste logische Schritt auf dem Weg zur Vereinfachung der Befestigung ist eine universelle Lösung, beispielsweise 3M™ RelyX™ Universal Befestigungskomposit, das sowohl im selbstadhäsiven als auch im adhäsiven Modus an der Seite von 3M™ Scotchbond™ Universal Plus Adhäsiv funktioniert. Durch die Kombination dieser Produkte entfällt nicht nur die Notwendigkeit, zwischen mehreren Befestigungskompositen zu wählen, sondern es wird auch die Komplexität in Sachen Prozess- und Lagermanagement weiter reduziert. Eine einfache Überschussentfernung wurde durch die Optimierung der Rheologie und der Initiator Komponenten erreicht. Das Material eignet sich für praktisch alle adhäsiven und selbstadhäsiven Befestigungsindikationen. Dies macht die Anwendung wesentlich einfacher und unkomplizierter, während unabhängig von der Art der Aushärtung ein starker Verbund zum Dentin sichergestellt wird.

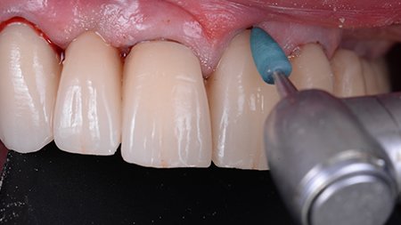
Einfache Entfernung von überschüssigem 3M™ RelyX™ Universal Befestigungskomposit nach Tack Curing.

So entstehen nach der Politur saubere Restaurationsränder.

Die innovative, selbstverschließende Automix-Spritze ermöglicht eine hygienische Aufbewahrung. Das Befestigungskomposit kann mit oder ohne das zugehörige 3M™ Scotchbond™ Universal Plus Adhäsiv verwendet werden.

Die  3M™ RelyX™ Universal Mikro-Mischkanüle reduziert den Materialverwurf signifikant.

DER WECHSEL ZU EINER UNIVERSELLEN LÖSUNG ERÖFFNET NEUE MÖGLICHKEITEN

Die Befestigung kann Fachleute vor Herausforderungen stellen und Verwirrung stiften, aber es gibt Wege zur Vereinfachung des Verfahrens. Alles beginnt schon bei der Lagerung: Durch die sorgfältige Überprüfung der vorhandenen und die Auswahl neuer Materialien lassen sich der Lagerbestand, die Vorgehensweise und die eigenen Fähigkeiten optimieren. Und der Trend zum Einsatz wirklich universeller Produkte eröffnet neue Möglichkeiten, die Komplexität des gesamten Arbeitsablaufs zu verringern.

RelyX Universal Resin Cement

Das Universal Befestigungskomposit wird in einer einzigartigen selbstverschließenden Automix-Spritze mit Mikro-Mischkanülen geliefert, die den Materialverwurf minimieren. Es deckt praktisch alle selbst-adhäsiven und zusam...
ab 26,49
mehr lesen

Scotchbond Universal Adhäsiv

Selbstätzendes 1-Komponenten- Adhäsiv, das in drei Techniken verwendet werden kann: Selbstätzend; Selbstätzend mit selektiver Schmelzätzung; Etch & Rinse. Es bietet sehr gute Haftwerte an Schmelz und Dentin in jeder Te...
ab 121,90
mehr lesen


Autor: Professor Stefan Vandeweghe, DMD, PhD. 
Quelle: https://dentalblog.3m.com/dental/simplifying-cementation/
© 3M 2024. All Rights Reserved

Unternehmen
  • Karriere
  • Wer wir sind
  • Standorte
  • Zertifizierung
Unser Angebot
  • Lösungen
  • Shop
  • Service
  • Training
  • Praxisbörse
  • Fundgrube
  • Dental Deals
  • PLU°LINE
  • Mundoline
  • Magazin
Hilfe & Information
  • FAQs (Häufige Fragen)
  • Registrierung
  • Bestellungen
  • Zähne
  • Versand
  • Retouren
  • Tutorials
  • Downloads
  • SEPA
  • Barcodes erstellen
Kontaktinformationen
Bestellungen per WhatsApp: 07071/977768
08:00 - 17:15 Uhr
08:00 - 16:00 Uhr
00800/77655440
eshop@dentalbauer.de
  • Datenschutz
  • Impressum
  • Disclaimer
  • AGB
  • Cookie-Einstellungen
  • Deutsch
© 2025 dental bauer
Deutsch