• Lösungen
      • Praxis- & Laborplanung
        • Lookbook
        • existKONZEPT
        • Existenzgründungsberatung
        • designkonzept
      • Geräte
        • Behandlungseinheiten
        • Röntgen
        • CAD/CAM
        • Hygiene
        • Prophylaxe
        • Chirurgie
        • Intraoralscanner
        • Mikroskopie
      • Praxisbörse
      • Fundgrube
    • Shop
      • Praxis
        • Abformmaterialien
        • CAD / CAM
        • Implantologie
        • Desinfektion, Pflege und Sterilisation
        • Instrumente
        • EDV-Zubehör
        • Medikamente, Medizinprodukte und Sonstiges
        • Einwegartikel und Arbeitsschutz
        • Mundschutz und Gesichtsmasken
        • Endodontie
        • Praxisorganisation
        • Prophylaxe
        • Füllungen
        • Röntgen
        • Glas- und Kunststoffwaren
        • Rotierende Instrumente
        • Handschuhe
      • Labor
        • Ausarbeiten und Polieren
        • KFO
        • CAD / CAM
        • Modellherstellung
        • Desinfektion, Einwegartikel und Arbeitsschutz
        • Modellieren und Tiefziehen
        • Einbetten, Gießen und Löten
        • Verblendtechnik
        • Instrumente
        • Zähne und Prothetik
      • PLU°LINE
      • Aktionen
      • Praxisgeräte
        • Autoklaven und Sterilisatoren
        • CAD/CAM
        • Endodontie
        • Folienschweißgeräte
        • Hand- und Winkelstücke & Turbinen
        • Reinigungs- und Desinfektionsgeräte
        • HF Chirurgie
        • Lichtpolymerisation
        • Mischgeräte
        • Prophylaxe und ZEG
        • Diverse Praxisgeräte
        • Zubehör
      • Laborgeräte
        • Arbeitsvorbereitung
        • CAD / CAM
        • Gipsbereich
        • Gußbereich
        • Keramik
        • Kraftraum / Versorgung
        • Technik
      • Hersteller
    • Service
      • Recall und Prüfungen
      • Netzwerke, IT
      • Reparaturservice
      • Entsorgung in der Zahnarztpraxis
      • DS Win 11- Update
    • Training
    • Kontakt
    • Übersicht Lösungen
    • Praxis- & Laborplanung
      • Lookbook
      • existKONZEPT
      • Existenzgründungsberatung
      • designkonzept
    • Geräte
      • Behandlungseinheiten
      • Röntgen
      • CAD/CAM
      • Hygiene
      • Prophylaxe
      • Chirurgie
      • Intraoralscanner
      • Mikroskopie
    • Praxisbörse
    • Fundgrube
    • Übersicht Shop
    • Praxis
      • Abformmaterialien
      • CAD / CAM
      • Implantologie
      • Desinfektion, Pflege und Sterilisation
      • Instrumente
      • EDV-Zubehör
      • Medikamente, Medizinprodukte und Sonstiges
      • Einwegartikel und Arbeitsschutz
      • Mundschutz und Gesichtsmasken
      • Endodontie
      • Praxisorganisation
      • Prophylaxe
      • Füllungen
      • Röntgen
      • Glas- und Kunststoffwaren
      • Rotierende Instrumente
      • Handschuhe
    • Labor
      • Ausarbeiten und Polieren
      • KFO
      • CAD / CAM
      • Modellherstellung
      • Desinfektion, Einwegartikel und Arbeitsschutz
      • Modellieren und Tiefziehen
      • Einbetten, Gießen und Löten
      • Verblendtechnik
      • Instrumente
      • Zähne und Prothetik
    • PLU°LINE
    • Aktionen
    • Praxisgeräte
      • Autoklaven und Sterilisatoren
      • CAD/CAM
      • Endodontie
      • Folienschweißgeräte
      • Hand- und Winkelstücke & Turbinen
      • Reinigungs- und Desinfektionsgeräte
      • HF Chirurgie
      • Lichtpolymerisation
      • Mischgeräte
      • Prophylaxe und ZEG
      • Diverse Praxisgeräte
      • Zubehör
    • Laborgeräte
      • Arbeitsvorbereitung
      • CAD / CAM
      • Gipsbereich
      • Gußbereich
      • Keramik
      • Kraftraum / Versorgung
      • Technik
    • Hersteller
    • Übersicht Service
    • Recall und Prüfungen
    • Netzwerke, IT
    • Reparaturservice
    • Entsorgung in der Zahnarztpraxis
    • DS Win 11- Update
    Training
    Kontakt
    Scanner auslesen
    • Keine Suchergebnisse gefunden
  • Kontakt
    • Login

      Login

      Anmelden
      • Passwort vergessen?

      Sie sind neu im Shop?

      Jetzt registrieren
    Warenkorb 0 Art. 0,00 €
Weiter einkaufen
Dein Warenkorb ist leer
Zum Warenkorb
  • Übersicht Lösungen
  • Praxis- & Laborplanung
    • Lookbook
    • existKONZEPT
    • Existenzgründungsberatung
    • designkonzept
  • Geräte
    • Behandlungseinheiten
    • Röntgen
    • CAD/CAM
    • Hygiene
    • Prophylaxe
    • Chirurgie
    • Intraoralscanner
    • Mikroskopie
  • Praxisbörse
  • Fundgrube
  • Übersicht Shop
  • Praxis
    • Abformmaterialien
    • CAD / CAM
    • Implantologie
    • Desinfektion, Pflege und Sterilisation
    • Instrumente
    • EDV-Zubehör
    • Medikamente, Medizinprodukte und Sonstiges
    • Einwegartikel und Arbeitsschutz
    • Mundschutz und Gesichtsmasken
    • Endodontie
    • Praxisorganisation
    • Prophylaxe
    • Füllungen
    • Röntgen
    • Glas- und Kunststoffwaren
    • Rotierende Instrumente
    • Handschuhe
  • Labor
    • Ausarbeiten und Polieren
    • KFO
    • CAD / CAM
    • Modellherstellung
    • Desinfektion, Einwegartikel und Arbeitsschutz
    • Modellieren und Tiefziehen
    • Einbetten, Gießen und Löten
    • Verblendtechnik
    • Instrumente
    • Zähne und Prothetik
  • PLU°LINE
  • Aktionen
  • Praxisgeräte
    • Autoklaven und Sterilisatoren
    • CAD/CAM
    • Endodontie
    • Folienschweißgeräte
    • Hand- und Winkelstücke & Turbinen
    • Reinigungs- und Desinfektionsgeräte
    • HF Chirurgie
    • Lichtpolymerisation
    • Mischgeräte
    • Prophylaxe und ZEG
    • Diverse Praxisgeräte
    • Zubehör
  • Laborgeräte
    • Arbeitsvorbereitung
    • CAD / CAM
    • Gipsbereich
    • Gußbereich
    • Keramik
    • Kraftraum / Versorgung
    • Technik
  • Hersteller
  • Übersicht Service
  • Recall und Prüfungen
  • Netzwerke, IT
  • Reparaturservice
  • Entsorgung in der Zahnarztpraxis
  • DS Win 11- Update
Training
Kontakt
Scanner auslesen

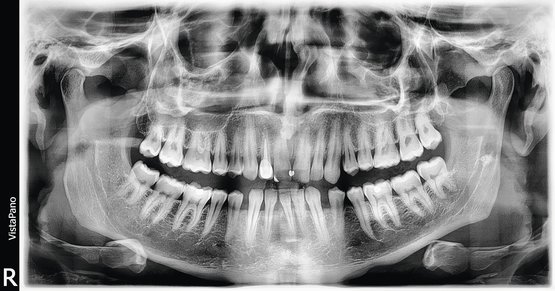
VistaPano S 2.0 von Dürr Dental

DAS DIGITALE PANORAMARÖNTGENGERÄT MIT S-PAN-TECHNOLOGIE

Die wichtigsten Funktionen auf einen Blick
  • S-Pan Technologie für einfachere Diagnostik
  • Herausragende Bildqualität dank hochauflösendem Csl Sensor der neuesten Generation
  • Schlankes Design, kleine Stellfläche
  • Sehr schnell: Panoramaaufnahmen innerhalb von 7 Sekunden
  • 8" Glas-Touch-Display für intuitive Bedienung
  • Einfache und effiziente Patientenpositionierung
  • Ambient Light in unzähligen Farbstimmungen
  • Umfangreiches Paket an intelligenten Automatisierungsfunktionen mit Vista Soft AI

das dental bauer Röntgen Angebot beinhaltet: 
  • VistaPano S 2.0
  • Prüfkörper Set 2D
  • VistaScan Mini View 2.0

Profitieren Sie von unserem sensationellen Röntgen Kombipaketpreis!

Angebot gültig solange Vorrat reicht!

 

 Leasingrate ab

 

 db Sonderpreis*

 EUR 600,00  EUR 29.990,00

  netto, monatlich bei einer Laufzeit von
60 Monaten / Vollamortisation

  zzgl. MwSt.

 

Abbildungen beispielhaft, unverbindliche Preisempfehlungen unter Berücksichtigung der Aktionsmodalitäten. Preis Erhöhungen, Irrtum und Satzfehler vorbehalten. Preise verstehen sich rein netto ohne Abzug, zzgl. der gesetzlichen MwSt. Es gelten die aktuellen allgemeinen Verkaufs- und produktbezogenen Leistungsbedingungen der dental bauer GmbH.

S-Pan-Technologie: Sichere Diagnosen durch extrem scharfe Bilder

Bei der S-Pan-Technologie werden aus einer großen Vielzahl paralleler Schichten automatisch diejenigen Bildbereiche selektiert, die der tatsächlichen Anatomie am besten entsprechen. Zusammengefügt ergeben sie ein Panoramabild, das sich an der tatsächlichen Anatomie des Patienten ausrichtet. Abweichungen vom „Durchschnittsgebiss“ werden ebenso berücksichtigt wie individuelle Neigungen der Zähne. Das Ergebnis ist ein Bild von bestechender Klarheit, in dem Sie die anatomisch interessanten Strukturen sofort mühelos finden. Da sich die Rekonstruktion an der tatsächlichen Lage des Gebisses ausrichtet, werden Fehlpositionierungen in gewissen Grenzen „ausgeglichen“. Das erspart der Praxis Zeit und dem Patiente Wiederholungsaufnahmen.

VistaScan Mini View 2.0 - der Speicherfolienscanner mit modernsten VistaScan Speicherfolien IQ

ScanManager – für effizientes Arbeiten

Von verschiedenen Arbeitsstationen aus können gleichzeitig Scanaufträge an den VistaScan Mini View 2.0 gesendet werden. Gewünschten Auftrag am Display auswählen, scannen und gleich am PC befunden.

Scannen ohne PC möglich

Dank des Standalone Modus ist ein vom Netzwerk unabhängiges Arbeiten möglich. Die Bilder werden temporär auf dem Gerät gespeichert und später in die Datenbank übertragen.

Alle intraoralen Formate

Mit dem VistaScan Mini View 2.0 lassen sich alle intraoralen Speicherfolienformate digitalisieren – von Größe 0 bis 4.

Ambient Light

Die LED-Beleuchtung des VistaScan Mini View 2.0 setzt neue Farbakzente in Ihrer Praxis. Sie können die zu Ihnen passende Farbe frei wählen.

Großes Glas-Touch-Display

Das farbige 5“-Touch-Display bietet eine sehr komfortable Benutzeroberfläche.

Herausragende Bildqualität dank PCS

Der VistaScan Mini View 2.0 kann bereits beginnende Kariesläsionen sowie feinste knöcherne Strukturen sicher darstellen.

WLAN-Funktionalität

Die integrierte WLAN-Funktionalität und die LAN-Schnittstelle erlauben es, den Scanner mühelos in ein Netzwerk einzubinden.

VistaScan Mini View 2.0 - Vorstellungsvideo

Bitte akzeptieren Sie Cookies, um diesen Inhalt zu sehen.

✓ Kompromisslos
Höchste Bildqualität und hochauflösendes Glas-5"-Touch-Display

✓ Flexibel
Für alle intraoralen Formate

✓ Effizient
SmartScan Workflow und Easy Feed Konzept

✓ Intelligent
Mehr Effizienz dank künstlicher Intelligenz

VistaSoft AI

Mit dem VistaSoft Paket erhalten Sie Zugriff auf AI Funktionen, die Ihre Arbeit im Praxisalltag deutlich effizienter gestalten werden.

 
Ein auf künstlicher Intelligenz basierender Algorithmus der Imaging Software prüft die Orientierung intraoraler Röntgenbilder anhand der dargestellten Anatomie und korrigiert bei Bedarf automatisch die Bildrotation.

Interesse geweckt?

Sie sind an unserem Gerätepaket "VistaPanoS 2.0 + VistScan Mini View" interessiert und möchten ein Angebot erhalten? Oder benötigen Sie weitere Informationen beziehungsweise einen individuellen Beratungstermin? Gerne steht Ihnen ein Spezialist für Röntgen und bildgebende Systeme zur Verfügung. Schreiben Sie uns einfach - wir melden uns schnellstmöglich bei Ihnen zurück!

Weitere Röntgengeräte im Angebot

Jubiläumsangebot

Orangedental GREEN NXT

mehr erfahren
Der Allrounder

Dentsply Sirona Orthophos S  2D/3D

mehr erfahren

orangedental PAX-I HD +

mehr erfahren

Das könnte Sie auch interessieren

PRIMESCAN AC, PRIMEMILL und SPEEDFIRE von dentsply sirona
Behandlungseinheiten & Zahnarztstühle

Newsletter Anmeldung

Melden Sie sich jetzt für unseren Newsletter an und genießen Sie alle Vorteile.

  • Informationen zu deNTAL BAUER Aktionen
  • Rabatte und exklusive Angebote
  • Aktuelle News der Dentalbranche
Anmelden
Unternehmen
  • Karriere
  • Wer wir sind
  • Standorte
  • Zertifizierung
Unser Angebot
  • Lösungen
  • Shop
  • Service
  • Training
  • Praxisbörse
  • Fundgrube
  • Dental Deals
  • PLU°LINE
  • Mundoline
  • Magazin
Hilfe & Information
  • FAQs (Häufige Fragen)
  • Registrierung
  • Bestellungen
  • Zähne
  • Versand
  • Retouren
  • Tutorials
  • Downloads
  • SEPA
  • Barcodes erstellen
Kontaktinformationen
Bestellungen per WhatsApp: 07071/977768
08:00 - 17:15 Uhr
08:00 - 16:00 Uhr
00800/77655440
eshop@dentalbauer.de
  • Datenschutz
  • Impressum
  • Disclaimer
  • AGB
  • Cookie-Einstellungen
  • Deutsch
© 2025 dental bauer
Deutsch