• Lösungen
      • Praxis- & Laborplanung
        • Lookbook
        • existKONZEPT
        • Existenzgründungsberatung
        • designkonzept
      • Geräte
        • Behandlungseinheiten
        • Röntgen
        • CAD/CAM
        • Hygiene
        • Prophylaxe
        • Chirurgie
        • Intraoralscanner
        • Mikroskopie
      • Praxisbörse
      • Fundgrube
    • Shop
      • Praxis
        • Abformmaterialien
        • CAD / CAM
        • Implantologie
        • Desinfektion, Pflege und Sterilisation
        • Instrumente
        • EDV-Zubehör
        • Medikamente, Medizinprodukte und Sonstiges
        • Einwegartikel und Arbeitsschutz
        • Mundschutz und Gesichtsmasken
        • Endodontie
        • Praxisorganisation
        • Prophylaxe
        • Füllungen
        • Röntgen
        • Glas- und Kunststoffwaren
        • Rotierende Instrumente
        • Handschuhe
      • Labor
        • Ausarbeiten und Polieren
        • KFO
        • CAD / CAM
        • Modellherstellung
        • Desinfektion, Einwegartikel und Arbeitsschutz
        • Modellieren und Tiefziehen
        • Einbetten, Gießen und Löten
        • Verblendtechnik
        • Instrumente
        • Zähne und Prothetik
      • PLU°LINE
      • Aktionen
      • Praxisgeräte
        • Autoklaven und Sterilisatoren
        • CAD/CAM
        • Endodontie
        • Folienschweißgeräte
        • Hand- und Winkelstücke & Turbinen
        • Reinigungs- und Desinfektionsgeräte
        • HF Chirurgie
        • Lichtpolymerisation
        • Mischgeräte
        • Prophylaxe und ZEG
        • Diverse Praxisgeräte
        • Zubehör
      • Laborgeräte
        • Arbeitsvorbereitung
        • CAD / CAM
        • Gipsbereich
        • Gußbereich
        • Keramik
        • Kraftraum / Versorgung
        • Technik
      • Hersteller
    • Service
      • Recall und Prüfungen
      • Netzwerke, IT
      • Reparaturservice
      • Entsorgung in der Zahnarztpraxis
      • DS Win 11- Update
    • Training
    • Kontakt
    • Übersicht Lösungen
    • Praxis- & Laborplanung
      • Lookbook
      • existKONZEPT
      • Existenzgründungsberatung
      • designkonzept
    • Geräte
      • Behandlungseinheiten
      • Röntgen
      • CAD/CAM
      • Hygiene
      • Prophylaxe
      • Chirurgie
      • Intraoralscanner
      • Mikroskopie
    • Praxisbörse
    • Fundgrube
    • Übersicht Shop
    • Praxis
      • Abformmaterialien
      • CAD / CAM
      • Implantologie
      • Desinfektion, Pflege und Sterilisation
      • Instrumente
      • EDV-Zubehör
      • Medikamente, Medizinprodukte und Sonstiges
      • Einwegartikel und Arbeitsschutz
      • Mundschutz und Gesichtsmasken
      • Endodontie
      • Praxisorganisation
      • Prophylaxe
      • Füllungen
      • Röntgen
      • Glas- und Kunststoffwaren
      • Rotierende Instrumente
      • Handschuhe
    • Labor
      • Ausarbeiten und Polieren
      • KFO
      • CAD / CAM
      • Modellherstellung
      • Desinfektion, Einwegartikel und Arbeitsschutz
      • Modellieren und Tiefziehen
      • Einbetten, Gießen und Löten
      • Verblendtechnik
      • Instrumente
      • Zähne und Prothetik
    • PLU°LINE
    • Aktionen
    • Praxisgeräte
      • Autoklaven und Sterilisatoren
      • CAD/CAM
      • Endodontie
      • Folienschweißgeräte
      • Hand- und Winkelstücke & Turbinen
      • Reinigungs- und Desinfektionsgeräte
      • HF Chirurgie
      • Lichtpolymerisation
      • Mischgeräte
      • Prophylaxe und ZEG
      • Diverse Praxisgeräte
      • Zubehör
    • Laborgeräte
      • Arbeitsvorbereitung
      • CAD / CAM
      • Gipsbereich
      • Gußbereich
      • Keramik
      • Kraftraum / Versorgung
      • Technik
    • Hersteller
    • Übersicht Service
    • Recall und Prüfungen
    • Netzwerke, IT
    • Reparaturservice
    • Entsorgung in der Zahnarztpraxis
    • DS Win 11- Update
    Training
    Kontakt
    Scanner auslesen
    • Keine Suchergebnisse gefunden
  • Kontakt
    • Login

      Login

      Anmelden
      • Passwort vergessen?

      Sie sind neu im Shop?

      Jetzt registrieren
    Warenkorb 0 Art. 0,00 €
Weiter einkaufen
Dein Warenkorb ist leer
Zum Warenkorb
  • Übersicht Lösungen
  • Praxis- & Laborplanung
    • Lookbook
    • existKONZEPT
    • Existenzgründungsberatung
    • designkonzept
  • Geräte
    • Behandlungseinheiten
    • Röntgen
    • CAD/CAM
    • Hygiene
    • Prophylaxe
    • Chirurgie
    • Intraoralscanner
    • Mikroskopie
  • Praxisbörse
  • Fundgrube
  • Übersicht Shop
  • Praxis
    • Abformmaterialien
    • CAD / CAM
    • Implantologie
    • Desinfektion, Pflege und Sterilisation
    • Instrumente
    • EDV-Zubehör
    • Medikamente, Medizinprodukte und Sonstiges
    • Einwegartikel und Arbeitsschutz
    • Mundschutz und Gesichtsmasken
    • Endodontie
    • Praxisorganisation
    • Prophylaxe
    • Füllungen
    • Röntgen
    • Glas- und Kunststoffwaren
    • Rotierende Instrumente
    • Handschuhe
  • Labor
    • Ausarbeiten und Polieren
    • KFO
    • CAD / CAM
    • Modellherstellung
    • Desinfektion, Einwegartikel und Arbeitsschutz
    • Modellieren und Tiefziehen
    • Einbetten, Gießen und Löten
    • Verblendtechnik
    • Instrumente
    • Zähne und Prothetik
  • PLU°LINE
  • Aktionen
  • Praxisgeräte
    • Autoklaven und Sterilisatoren
    • CAD/CAM
    • Endodontie
    • Folienschweißgeräte
    • Hand- und Winkelstücke & Turbinen
    • Reinigungs- und Desinfektionsgeräte
    • HF Chirurgie
    • Lichtpolymerisation
    • Mischgeräte
    • Prophylaxe und ZEG
    • Diverse Praxisgeräte
    • Zubehör
  • Laborgeräte
    • Arbeitsvorbereitung
    • CAD / CAM
    • Gipsbereich
    • Gußbereich
    • Keramik
    • Kraftraum / Versorgung
    • Technik
  • Hersteller
  • Übersicht Service
  • Recall und Prüfungen
  • Netzwerke, IT
  • Reparaturservice
  • Entsorgung in der Zahnarztpraxis
  • DS Win 11- Update
Training
Kontakt
Scanner auslesen

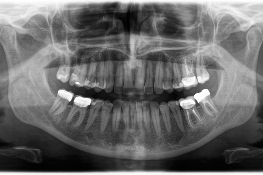
Orthophos S 2D / 3D Röntgengerät

Der Allrounder im 2D- und 3D-Röntgenbereich

Das hochwertige 2D-/3D-Röntgensystem Orthophos S von Dentsply Sirona bietet ein umfassendes Leistungsspektrum für jede Zahnarztpraxis. Ob als reines 2D-Gerät oder mit integriertem 3D-Modul – der Orthophos S ist Ihr zuverlässiger Partner und perfekt auf die täglichen Anforderungen in der Praxis abgestimmt.

Dank des CsI-Plus-Sensors mit Autofokus-Funktion gelingen auch in anatomisch anspruchsvollen Fällen gestochen scharfe Aufnahmen. Der patentierte Okklusalaufbiss unterstützt eine reproduzierbare Patientenpositionierung, was die Behandlung effizienter macht. Für den Einsatz in der Kieferorthopädie ist der Orthophos S optional mit einem Fernröntgen-Ausleger erhältlich.

Als wahrer Allrounder seiner Klasse vereint das Gerät hohe Bildqualität, einfache Handhabung und Flexibilität. Die automatische Patientenpositionierung sorgt für eine schnelle und komfortable Abläufe, während die modulare Bauweise eine zukunftssichere Nachrüstung, beispielsweise mit einem Fernröntgen-Ausleger, ermöglicht.

Der Orthophos S – Ihr zuverlässiger Partner für präzise Diagnostik in 2D und 3D.

Leistungen und Funktionen:

Scharfe und autofokussierte Bilder
Auch in anatomisch anspruchsvollen Fällen liefert der 2D-CsI-Plus-Sensor mit Autofokus-Funktion gestochen scharfe Aufnahmen.

Auswählbare Volumengrößen
Volumengrößen von Ø 5 cm x 5,5 cm bis Ø 8 cm x 8 cm – optional auch bis Ø 11 cm x 10 cm, passend für Ihre Praxisbedürfnisse.

Maximale Konsistenz und einfache Reproduzierbarkeit
Dank der automatischen Patientenpositionierung mit dem patentierten Okklusalaufbiss gelingen reproduzierbare und präzise Aufnahmen.

Optionaler Fernröntgenausleger
Der Ceph-Arm kann flexibel auf der rechten oder linken Seite des Geräts angebracht werden. 

3D nach Ihren Bedürfnissen
Mit dem Intelligent Low Dose-Modus erhalten Sie 3D-Bilder im Dosisbereich einer 2D-Aufnahme. Im HD-Modus werden bis zu 1.400 Einzelbilder während eines Umlaufs aufgenommen und zu einem hochauflösenden Volumen mit bis zu 80 μm zusammengeführt – für rauschärmere Bilder in hoher Qualität.

Sichere und bewährte Patientenpositionierung
Die motorische Schläfen- und Stirnstütze, automatische Schläfenweitenmessung, Lichtvisiere und integrierte Handgriffe sorgen für eine stabile und sichere Patientenpositionierung. 
Einfache und durchdachte Bedienbarkeit dank MultiPad-Bedienpanel.

Hier geht´s zum Angebot
Technische DAten
Leistungsmerkmale Orthophos S 3D Orthophos S 2D
Röntgenstrahler 60–90 kV, 3–16 mA 60–90 kV, 3–16 mA
Aufnahmezeit Panorama P1: max. 14.2 s
P1Quikshot max: 4,7 s
P1: max. 14.2 s
P1Quikshot max: 4,7 s
Aufnahmezeit Ceph Standard 9.4 s 
Quickshot 4.7 s

 
Standard 9.4 s 
Quickshot 4.7 s

 
Bedienoberfläche   EasyPad  EasyPad 
Patientenpositionierung  
 
Automatisch (Okklusalaufbiss) Automatisch (Okklusalaufbiss)
Panoramatechnologie  CsI Plus CsI Plus
Autofokus Ja Ja
Ceph-Ausleger (optional) Links oder rechts Links oder rechts
Ceph-Geräte mit 2 Sensoren Ja Ja 
Quickshot Ja Ja
Aufnahmevolumen (D x H) 5 x 5,5 bis 8 x 8
5 x 5,5 bis 11 x 10
Erweiterbar 
3D Low Dose Ja Erweiterbar 
HD-Modus     Ja Erweiterbar
Standfuß   Optional Optional
Rollstuhlgerecht Ja Ja 
Fernauslösung Optional Optional 

 

Smarte Konnektivität

Sidexis 4 
Intuitive Bildgebungssoftware 
für eine einfache Befundung und 
erweiterbar um integrierte Workflows für die Behandlungsplanung.
Plug & Ray Set*
Optional einfach, kabellos
und sicher digitalisieren
*Nicht im Lieferumfang enthalten.

Download

Produktbroschüre

Unser Angebot

Orthophos S 2D
  • umfassende 2D-Programme bspw. für Bissflügel-, Sinus- oder 
  • Kiefergelenksaufnahmen
  • patentierter Okklusalaufbiss für automatische Patientenpositionierung – 
  • dadurch maximale Konstanz und Reproduzierbarkeit
  • Sidexis 4 Röntgensoftware
  • inkl. Prüfkörper
  • Remote Control optional

optional: 

  • Fernröntgenausleger links oder rechts, jederzeit nachrüstbar
  • 3D-Modul mit FoVs von ø 5 x 5,5 bis ø 11 x 10 cm, 
  • Low-Dose- und HD-Funktion jederzeit nachrüstbar

 

Angebot gültig bis 17.11.2025


Leasingrate ab

EUR 491.00

netto, monatlich bei einer Laufzeit von 60 Monaten /Vollamortisation 

db Sonderpreis

EUR 24.150,00

 zzgl. MwSt.

Abbildungen beispielhaft, unverbindliche Preisempfehlungen unter Berücksichtigung der Aktionsmodalitäten. Preis Erhöhungen, Irrtum und Satzfehler vorbehalten. Preise verstehen sich rein netto ohne Abzug, zzgl. der gesetzlichen MwSt. Es gelten die aktuellen allgemeinen Verkaufs- und produktbezogenen Leistungsbedingungen der dental bauer GmbH.

Interesse geweckt?

Sie sind an einem Angebot über einen Orthophos S interessiert und möchten weitere Informationen erhalten? Oder Sie möchten einen individuellen Beratungstermin? Gerne steht Ihnen ein Spezialist für Röntgen und bildgebende Systeme zur Verfügung. Schreiben Sie uns einfach - wir melden uns schnellstmöglich bei Ihnen zurück!

Weitere Röntgengeräte im Angebot

Premium Deal

Dentsply Sirona Axeos

mehr erfahren
Premium Deal

Dentsply Sirona Orthophos SL 2D/3D

mehr erfahren
Neuheit

W&H seethrough Flex

mehr erfahren
Aktion

Orangedental Green X Endo & Speed Master

Zum Produkt

Dürr Dental VistaPano S 2.0

Zum Produkt

Weitere interessante Themen

Behandlungseinheiten & Zahnarztstühle
Premium Deal
PRIMESCAN AC, PRIMEMILL und SPEEDFIRE von dentsply sirona
Geräte zur Aufbereitung - Hygiene

Newsletter Anmeldung

Melden Sie sich jetzt für unseren Newsletter an und genießen Sie alle Vorteile.

  • Informationen zu deNTAL BAUER Aktionen
  • Rabatte und exklusive Angebote
  • Aktuelle News der Dentalbranche
Anmelden
Unternehmen
  • Karriere
  • Wer wir sind
  • Standorte
  • Zertifizierung
Unser Angebot
  • Lösungen
  • Shop
  • Service
  • Training
  • Praxisbörse
  • Fundgrube
  • Dental Deals
  • PLU°LINE
  • Mundoline
  • Magazin
Hilfe & Information
  • FAQs (Häufige Fragen)
  • Registrierung
  • Bestellungen
  • Zähne
  • Versand
  • Retouren
  • Tutorials
  • Downloads
  • SEPA
  • Barcodes erstellen
Kontaktinformationen
Bestellungen per WhatsApp: 07071/977768
08:00 - 17:15 Uhr
08:00 - 16:00 Uhr
00800/77655440
eshop@dentalbauer.de
  • Datenschutz
  • Impressum
  • Disclaimer
  • AGB
  • Cookie-Einstellungen
  • Deutsch
© 2025 dental bauer
Deutsch