• Lösungen
      • Praxis- & Laborplanung
        • Lookbook
        • existKONZEPT
        • Existenzgründungsberatung
        • designkonzept
      • Geräte
        • Behandlungseinheiten
        • Röntgen
        • CAD/CAM
        • Hygiene
        • Prophylaxe
        • Chirurgie
        • Intraoralscanner
        • Mikroskopie
      • Praxisbörse
      • Fundgrube
    • Shop
      • Praxis
        • Abformmaterialien
        • CAD / CAM
        • Implantologie
        • Desinfektion, Pflege und Sterilisation
        • Instrumente
        • EDV-Zubehör
        • Medikamente, Medizinprodukte und Sonstiges
        • Einwegartikel und Arbeitsschutz
        • Mundschutz und Gesichtsmasken
        • Endodontie
        • Praxisorganisation
        • Prophylaxe
        • Füllungen
        • Röntgen
        • Glas- und Kunststoffwaren
        • Rotierende Instrumente
        • Handschuhe
      • Labor
        • Ausarbeiten und Polieren
        • KFO
        • CAD / CAM
        • Modellherstellung
        • Desinfektion, Einwegartikel und Arbeitsschutz
        • Modellieren und Tiefziehen
        • Einbetten, Gießen und Löten
        • Verblendtechnik
        • Instrumente
        • Zähne und Prothetik
      • PLU°LINE
      • Aktionen
      • Praxisgeräte
        • Autoklaven und Sterilisatoren
        • CAD/CAM
        • Endodontie
        • Folienschweißgeräte
        • Hand- und Winkelstücke & Turbinen
        • Reinigungs- und Desinfektionsgeräte
        • HF Chirurgie
        • Lichtpolymerisation
        • Mischgeräte
        • Prophylaxe und ZEG
        • Diverse Praxisgeräte
        • Zubehör
      • Laborgeräte
        • Arbeitsvorbereitung
        • CAD / CAM
        • Gipsbereich
        • Gußbereich
        • Keramik
        • Kraftraum / Versorgung
        • Technik
      • Hersteller
    • Service
      • Recall und Prüfungen
      • Netzwerke, IT
      • Reparaturservice
      • Entsorgung in der Zahnarztpraxis
      • DS Win 11- Update
    • Training
    • Kontakt
    • Übersicht Lösungen
    • Praxis- & Laborplanung
      • Lookbook
      • existKONZEPT
      • Existenzgründungsberatung
      • designkonzept
    • Geräte
      • Behandlungseinheiten
      • Röntgen
      • CAD/CAM
      • Hygiene
      • Prophylaxe
      • Chirurgie
      • Intraoralscanner
      • Mikroskopie
    • Praxisbörse
    • Fundgrube
    • Übersicht Shop
    • Praxis
      • Abformmaterialien
      • CAD / CAM
      • Implantologie
      • Desinfektion, Pflege und Sterilisation
      • Instrumente
      • EDV-Zubehör
      • Medikamente, Medizinprodukte und Sonstiges
      • Einwegartikel und Arbeitsschutz
      • Mundschutz und Gesichtsmasken
      • Endodontie
      • Praxisorganisation
      • Prophylaxe
      • Füllungen
      • Röntgen
      • Glas- und Kunststoffwaren
      • Rotierende Instrumente
      • Handschuhe
    • Labor
      • Ausarbeiten und Polieren
      • KFO
      • CAD / CAM
      • Modellherstellung
      • Desinfektion, Einwegartikel und Arbeitsschutz
      • Modellieren und Tiefziehen
      • Einbetten, Gießen und Löten
      • Verblendtechnik
      • Instrumente
      • Zähne und Prothetik
    • PLU°LINE
    • Aktionen
    • Praxisgeräte
      • Autoklaven und Sterilisatoren
      • CAD/CAM
      • Endodontie
      • Folienschweißgeräte
      • Hand- und Winkelstücke & Turbinen
      • Reinigungs- und Desinfektionsgeräte
      • HF Chirurgie
      • Lichtpolymerisation
      • Mischgeräte
      • Prophylaxe und ZEG
      • Diverse Praxisgeräte
      • Zubehör
    • Laborgeräte
      • Arbeitsvorbereitung
      • CAD / CAM
      • Gipsbereich
      • Gußbereich
      • Keramik
      • Kraftraum / Versorgung
      • Technik
    • Hersteller
    • Übersicht Service
    • Recall und Prüfungen
    • Netzwerke, IT
    • Reparaturservice
    • Entsorgung in der Zahnarztpraxis
    • DS Win 11- Update
    Training
    Kontakt
    Scanner auslesen
    • Keine Suchergebnisse gefunden
  • Kontakt
    • Login

      Login

      Anmelden
      • Passwort vergessen?

      Sie sind neu im Shop?

      Jetzt registrieren
    Warenkorb 0 Art. 0,00 €
Weiter einkaufen
Dein Warenkorb ist leer
Zum Warenkorb
  • Übersicht Lösungen
  • Praxis- & Laborplanung
    • Lookbook
    • existKONZEPT
    • Existenzgründungsberatung
    • designkonzept
  • Geräte
    • Behandlungseinheiten
    • Röntgen
    • CAD/CAM
    • Hygiene
    • Prophylaxe
    • Chirurgie
    • Intraoralscanner
    • Mikroskopie
  • Praxisbörse
  • Fundgrube
  • Übersicht Shop
  • Praxis
    • Abformmaterialien
    • CAD / CAM
    • Implantologie
    • Desinfektion, Pflege und Sterilisation
    • Instrumente
    • EDV-Zubehör
    • Medikamente, Medizinprodukte und Sonstiges
    • Einwegartikel und Arbeitsschutz
    • Mundschutz und Gesichtsmasken
    • Endodontie
    • Praxisorganisation
    • Prophylaxe
    • Füllungen
    • Röntgen
    • Glas- und Kunststoffwaren
    • Rotierende Instrumente
    • Handschuhe
  • Labor
    • Ausarbeiten und Polieren
    • KFO
    • CAD / CAM
    • Modellherstellung
    • Desinfektion, Einwegartikel und Arbeitsschutz
    • Modellieren und Tiefziehen
    • Einbetten, Gießen und Löten
    • Verblendtechnik
    • Instrumente
    • Zähne und Prothetik
  • PLU°LINE
  • Aktionen
  • Praxisgeräte
    • Autoklaven und Sterilisatoren
    • CAD/CAM
    • Endodontie
    • Folienschweißgeräte
    • Hand- und Winkelstücke & Turbinen
    • Reinigungs- und Desinfektionsgeräte
    • HF Chirurgie
    • Lichtpolymerisation
    • Mischgeräte
    • Prophylaxe und ZEG
    • Diverse Praxisgeräte
    • Zubehör
  • Laborgeräte
    • Arbeitsvorbereitung
    • CAD / CAM
    • Gipsbereich
    • Gußbereich
    • Keramik
    • Kraftraum / Versorgung
    • Technik
  • Hersteller
  • Übersicht Service
  • Recall und Prüfungen
  • Netzwerke, IT
  • Reparaturservice
  • Entsorgung in der Zahnarztpraxis
  • DS Win 11- Update
Training
Kontakt
Scanner auslesen

Orangedental Green X

Green X Röntgengerät ohne Ceph von orangedental

Alles, was Sie für Ihre Zahnarztpraxis brauchen -

Green X Endo & Speed Master

Das Green X ist ein 4-in-1 Röntgenbildgebungssystem der Superlative, welches sowohl 2D-Modalitäten wie Panorama- und kephalometrische Aufnahmen in ultrahochauflösender Bildqualität ermöglicht, als auch flexible 3D-DVT-Aufnahmen von Patienten, Modellen und Abformlöffeln. 

  • 4-in-1 Digital X-Ray Imaging System Pano / Ceph / DVT / Modellscan
  • Multi-FOV-Auswahl für alle dentalen Indikationen 4x4 / 5x5 / 8x5 / 8x8 / 12x9 / 16x9
  • Green DVT Low-Dose- und High-Resolution-Modus
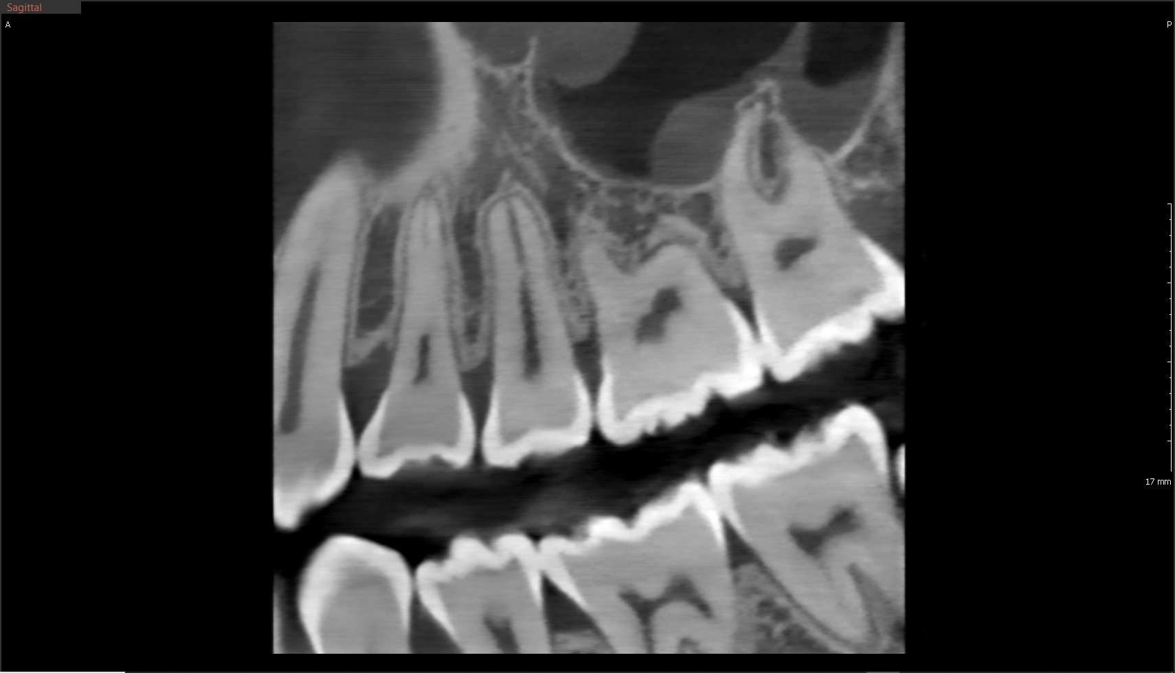
  • Endo Modus mit höchster Auflösung FOV 4x4; Ultra-High-Resolution 49µm; 3,5 Lp/mm
  • Free FOV Insight PAN 2.0 Multilayer mit 41 Schichten
  • 3D - Diagnose- und Planungssoftware byzzEz3D - i

 

 

 

 

Angebot anfordern!
Green X von orangedental Endo Aufnahme

Höchste Detailschärfe

Das Green X ist mit 49μm bei einem FOV von 4x4 cm das Gerät mit einem der weltweit höchsten Auflösungen und der daraus resultierenden Detailschärfe. Dank der byzzEz3D-i Software mit dem Endo-Modul rekonstruiert diese aus ultrahochauflösenden Schichtaufnahmen perfekte 3D Aufnahmen. Diese können dann als Hologramm in allen drei Dimensionen vermessen werden.

Ein ideales Instrument zur Vorbereitung für jede Wurzelkanalaufbereitung und WSR und auch ein hervorragendes Hilfsmittel zur 3D-Visualisierung, Behandlungsplanung und Patientenberatung.

Eine von vielen Besonderheiten des Green X ist die erweiterte Insight PAN 2.0 Funktion.

Das Insight PAN 2.0 Scan Protokoll (mit 41 Schichten im Multilayer) erlaubt Ihnen Panorama-Aufnahmen für mehr Tiefenschärfe. Diese Funktion begrenzt die Mehrschichtaufnahmen auf die Region, welche durch das Free FOV festgelegt wird. Somit wird die Dosis für den Patienten maximal reduziert und ermöglicht erstmalig Multilayer-Zahnfilm- und Multilayer-Bissflügel-Aufnahmen.


Die Überlagerung der Oberflächenmodelle (STL-Daten) aus externen Scan-Systemen ist durch die exzellente Oberflächendarstellung der 3D-Röntgenaufnahmen problemlos und komfortabel. Somit bietet das Green X alle Möglichkeiten, den digitalen Workflow im Praxisalltag umzusetzen. Eines für alles und alles für Sie!
 

                                            

Endo gut - alles gut

Green X von orangedental 2D Aufnahme

Zahnerhaltung ist eine der Hauptdisziplinen in der Zahnheilkunde

Hierzu stehen heute der modernen Zahnheilkunde vielfältige Technologien zur Verfügung, um die Zähne endodontisch zu diagnostizieren. Neben der 2D-Radiologie und Mikroskopie ist die DVT-Technologie das wichtigste Diagnosewerkzeug. 

Die byzzEz3D-i Software mit dem erweiterbaren Endo-Modul rekonstruiert aus den ultra-hochauflösenden Schichtaufnahmen perfekte 3D-Aufnahmen. Die 3D-Endo-Aufnahmen können als Hologramm in allen drei Dimensionen vermessen werden. Sowohl die Bi- und Trifurkation, Kanalanzahl, Kanalverlauf, Kanallänge und -durchmesser sowie die Krümmungsradien können einfach farblich gekennzeichnet werden. Damit ist das 3D-Endo-Modul nicht nur ein ideales Instrument zur Vorbereitung für die Wurzelkanalaufbereitung und WSR, sondern auch ein hervorragendes Hilfsmittel zur 3D-Visualisierung, Behandlungsplanung und Patientenberatung. 
 

Green X von orangedental Endo Aufnahme

3D-Modell-Scan: Ready for CAD/CAM

Integrierter Laborscanner mit automatischer Datenspeicherung im byzznxt Langzeitarchiv 

Die integrierte Modell-, Abdruck- und Prothesenscan-Funktion des Green X bietet die Möglichkeit, die zur Fertigung von Bohrschablohnen und Interims-Prothesen, notwendigen Daten zu erfassen. Mit der STL-Konvertierungsfunktion der byzzEz3D-i Software können jederzeit die gewünschten Daten im Standard STL-Format exportiert werden. Zusätzlich werden alle Scandaten im Langzeitarchiv von byzznxt abgespeichert und die Daten stehen somit jederzeit für 3D-Druck oder CAD/ CAM-Verfahren zur Verfügung. 
 

Green X von orangedental Modell Box

Speed Master - mit Speed gegen Bewegungsartefakte

Schärfere Aufnahmen, weniger Verwacklungen, weniger Doppelaufnahmen, weniger Dosis  

Aufgrund der geringen Scanzeiten minimiert das Green X Bewegungsartefakte und die Strahlenbelastung für den Patienten. Es liefert hervorragende, ultrahochauflösende Aufnahmen bei maximalem Komfort. Durch die Minimierung der Bewegungsartefakte erhält der Behandler zu jedem Zeitpunkt hochwertigste Aufnahmen. Mehrfachaufnahmen werden verhindert – stressfrei für Behandler und Patient. 
 

Green X von orangedental Stopuhr

Kurze Umlaufzeit - geringe Strahlendosis - scharfe Bilder

Kind auf Blumenwiese

Durch die kurze Umlaufzeit und die integrierten Ultra-Low-Dose-Protokolle ist die Sicherheit des Patienten jederzeit gewährleistet - gemäß ALARA „mit der für die Fragestellung geringstmöglichen Strahlendosis bei gleichzeitig suffizienter Abbildungsqualität“. 

Wichtig für Sie als Behandler ist, dass auch bei Low-Dose-Protokollen die Bilder hochwertig und auswertbar sind. 
Ohne Dosis – kein Bild, das ist ein physikalisches Gesetz. Das Green X genügt diesem Anspruch und liefert Ihnen für jede Indikation auswertbare Bilder in optimaler Qualität. 

Damit ist das Green X führend im Verhältnis von Bildqualität zu Strahlenbelastung für den Patienten. 

Weitere Informationen finden Sie in der GREEN X Broschüre

Produktvideo

Bitte akzeptieren Sie Cookies, um diesen Inhalt zu sehen.

Unsere Angebote

 

 
 

Angebot bestehend aus:

  • Green X 8

Endo & Speed Master, All in one Sensor DVT/OPG, Multi FOV 4x4, 5x5, 8x5, 8x8, LowDose/High Re. 2D/3D

Lieferumfang:

  • Inkl. Aufnahme- u. byzz® Ez3D-i Rekonstruktions- u. Planungssoftware [5 User] 
  • Inkl. Zusatzmodul byzz® Ez3D-i Endo/Ortho/Segmentierung [5 User] 
  • Inkl. Praxis-Set: Software byzz® Nxt ray [10 User] + 2D/3D Konstanzprüfkörper-Set 
  • wahlweise mit oder ohne Standfüße, bei Ceph-Geräten inklusive

10 Jahre OD Protect & Care (2 Jahre Standardgarantie und 8 weitere Jahre auf alle Teile, ohne Dienstleistungen) inklusive einem 1 Jahres-Wartungsvertrag byzz® Nxt* mit Hotline-Service sowie Software-Update.
* Automatische Verlängerung oder Kündigung 3 Monate vor Ablauf

 

Angebot gültig bis 31.12.2025

Leasingrate ab

EUR 1.372,00

netto, monatlich bei einer Laufzeit von
60 Monaten / Vollamortisation 

db Sonderpreis

EUR 69.950,00

 zzgl. MwSt., 

Abbildungen beispielhaft, unverbindliche Preisempfehlungen unter Berücksichtigung der Aktionsmodalitäten. Preis Erhöhungen, Irrtum und Satzfehler vorbehalten. Preise verstehen sich rein netto ohne Abzug, zzgl. der gesetzlichen MwSt. Es gelten die aktuellen allgemeinen Verkaufs- und produktbezogenen Leistungsbedingungen der dental bauer GmbH.

Upgrade auf FOV 12x9 jetzt zum
Sonderpreis von Euro 8.850,00
(statt Euro 14.500,00)

Upgrade-Angebot gültig bis 31.12.2025

Interesse geweckt?

Sie sind an einem unserer GREEN X 8 Angebote interessiert? Oder wünschen Sie einen individuellen Beratungstermin? Gerne steht Ihnen ein Spezialist für Röntgen und bildgebende Systeme zur Verfügung. Schreiben Sie uns einfach - wir melden uns schnellstmöglich bei Ihnen zurück!

Weitere Röntgengeräte im Angebot

Jubiläumsangebot

Orangedental GREEN NXT

mehr erfahren

orangedental PAX-I HD +

mehr erfahren

Dentsply Sirona Orthophos SL 2D/3D

mehr erfahren

KaVo ProXam 2D

mehr erfahren

Newsletter Anmeldung

Melden Sie sich jetzt für unseren Newsletter an und genießen Sie alle Vorteile.

  • Informationen zu deNTAL BAUER Aktionen
  • Rabatte und exklusive Angebote
  • Aktuelle News der Dentalbranche
Anmelden
Unternehmen
  • Karriere
  • Wer wir sind
  • Standorte
  • Zertifizierung
Unser Angebot
  • Lösungen
  • Shop
  • Service
  • Training
  • Praxisbörse
  • Fundgrube
  • Dental Deals
  • PLU°LINE
  • Mundoline
  • Magazin
Hilfe & Information
  • FAQs (Häufige Fragen)
  • Registrierung
  • Bestellungen
  • Zähne
  • Versand
  • Retouren
  • Tutorials
  • Downloads
  • SEPA
  • Barcodes erstellen
Kontaktinformationen
Bestellungen per WhatsApp: 07071/977768
08:00 - 17:15 Uhr
08:00 - 16:00 Uhr
00800/77655440
eshop@dentalbauer.de
  • Datenschutz
  • Impressum
  • Disclaimer
  • AGB
  • Cookie-Einstellungen
  • Deutsch
© 2025 dental bauer
Deutsch