Zum Hauptinhalt springen
Zur Suche springen
Zur Hauptnavigation springen
Um unseren Shop in vollem Umfang nutzen zu können, empfehlen wir Ihnen Javascript in Ihrem Browser zu aktivieren.
Willkommen auf der neuen Website Ihres Partners für Praxen und Labore im Dentalbereich!
Scanner auslesen
Zur alten Website
Registrieren
Kontakt
Suchen
Anmelden
Ihr dental bauer Konto
Ihre E-Mail-Adresse
Ihr Passwort
Passwort anzeigen
Anmelden
Ich habe mein Passwort vergessen
Sie sind neu im Shop?
→ Jetzt registrieren
0
Warenkorb
Verbrauchsmaterial
Praxis
Abformung & Bissnahme
Chirurgie
Einwegartikel, Arbeitsschutz
Endodontie
Füllung & Restauration
Glaswaren & Kunststoffartikel
Hygiene & Desinfektion
Implantologie
Instrumente
Pharmazeutika
Praxisorganisation
Prophylaxe & Pflege
Rotierende Instrumente
Röntgen
Alles anzeigen
Labor
Ausarbeiten, Polieren
CAD/CAM
Dublieren
Einbetten, Gießen & Löten
Isolierung
Keramik
KFO
Kunststoffverblendung
Laborinstrumente
Modellherstellung
Modellieren, Tiefziehen
Prothesenkunststoff
Rotierende Laborinstrumente
Alles anzeigen
Einrichtung & Geräte
Geräte
Behandlungseinheit
Röntgen
CAD/CAM und 3D-Druck
Intraoralscanner
Hygiene
Prophylaxe
Chirurgie
Alles anzeigen
Weitere Geräte
Kleingeräte
Fundgrube
Alles anzeigen
Dienstleistungen
Übersicht
Praxisplanung
Existenzgründung
Lookbook
IT Service
Entsorgung
Alles anzeigen
Praxisbörse
Alles anzeigen
Technischer Service
Übersicht
Recall
Validierung
Gerätewartung
Reparaturservice
Alles anzeigen
Dental Campus
Praxiswissen
Praxis- & Laboralltag
Anwendungstipps
Trends
Wissen
Fallbeispiele
Alles anzeigen
Weiterbildung
Seminare
Webinare
Alles anzeigen
Angebote %
Übersicht
Preisnachlässe
Vorteilspakete
Digitale Kataloge
Fundgrube
Alles anzeigen
Menü schließen
...
Dental Campus
Praxiswissen
Fallbeispiele
Fallbeispiele
In dieser Kategorie zeigen wir praxisnahe Lösungen aus dem dentalen Alltag. Erfahren Sie, wie innovative Produkte und individuelle Konzepte in unterschiedlichen Praxissituationen erfolgreich umgesetzt werden.
Restauration einer frakturierten Inzisalkante bei einer jungen Patientin
Ein sechsjähriges Mädchen, das sich guter Gesundheit erfreute, stellte sich mit ihrer Mutter in der Praxis vor. Ihr Hauptanliegen war die Versorgung der frakturierten Inzisalkante des Zahnes 11. Aufgetreten war die Fraktur im Rahmen eines Unfalls in der Schule. Bei der klinischen Untersuchung zeigte sich eine Schmelzfraktur an der Schneidekante sowie dem distalen Rand des Zahnes 11.
Jetzt lesen
Restauration von Kavitäten der Klasse IV mit einem einzigen Farbton
Es stellte sich eine 58-jährige Patientin mit erneuerungsbedürftigen Restaurationen an den Zähnen 11 und 21 vor. Durch den Verschleiß des Komposits erschienen die klinischen Kronen kürzer als ästhetisch angemessen. Zur Wiederherstellung der ursprünglichen, harmonischen Proportionen wurde entschieden, beide Zähne neu zu versorgen.
Jetzt lesen
Mit Komposit zu einem schöneren Lächeln!
Eine 21-jährige Patientin bei guter Gesundheit stellte sich vor, weil sie mit ihrem Lächeln unzufrieden war: „Ich hätte gern ein schöneres Lächeln. Meine seitlichen Schneidezähne sehen ausgefranst aus, der Eckzahn ist zu schnabelförmig.“
Jetzt lesen
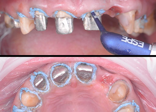
Retraktion in Aktion: Den Weg zum Erfolg ebnen
Abformung, Befestigung, Eingliederung der Restauration; für viele Schritte im prothetischen Workflow ist ein uneingeschränkter Zugang zum Randbereich mit korrekter Retraktion des Weichgewebes entscheidend. Retraktion beinhaltet jedoch weit mehr als das Schaffen von Platz und die Freilegung der Präparationsgrenze.
Jetzt lesen
Zurück
Zur Material-Liste hinzufügen
Wählen Sie eine bestehende Liste oder erstellen Sie eine neue.
Liste erstellen
Name*
Der Name darf nicht leer sein.