Zum Hauptinhalt springen Zur Suche springen Zur Hauptnavigation springen
Willkommen auf der neuen Website Ihres Partners für Praxen und Labore im Dentalbereich!
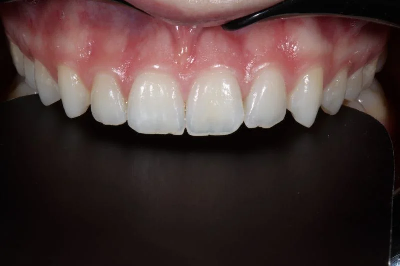
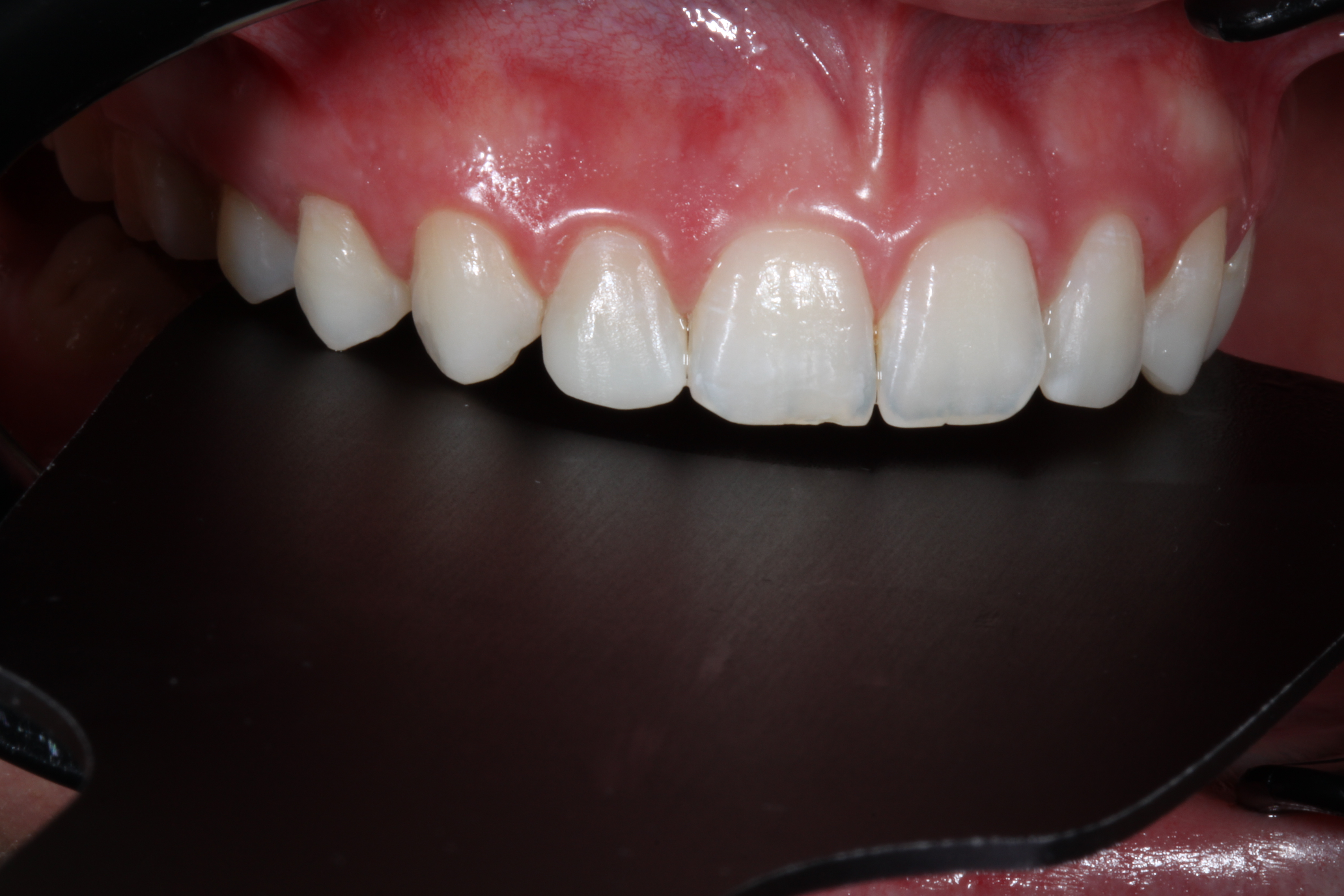
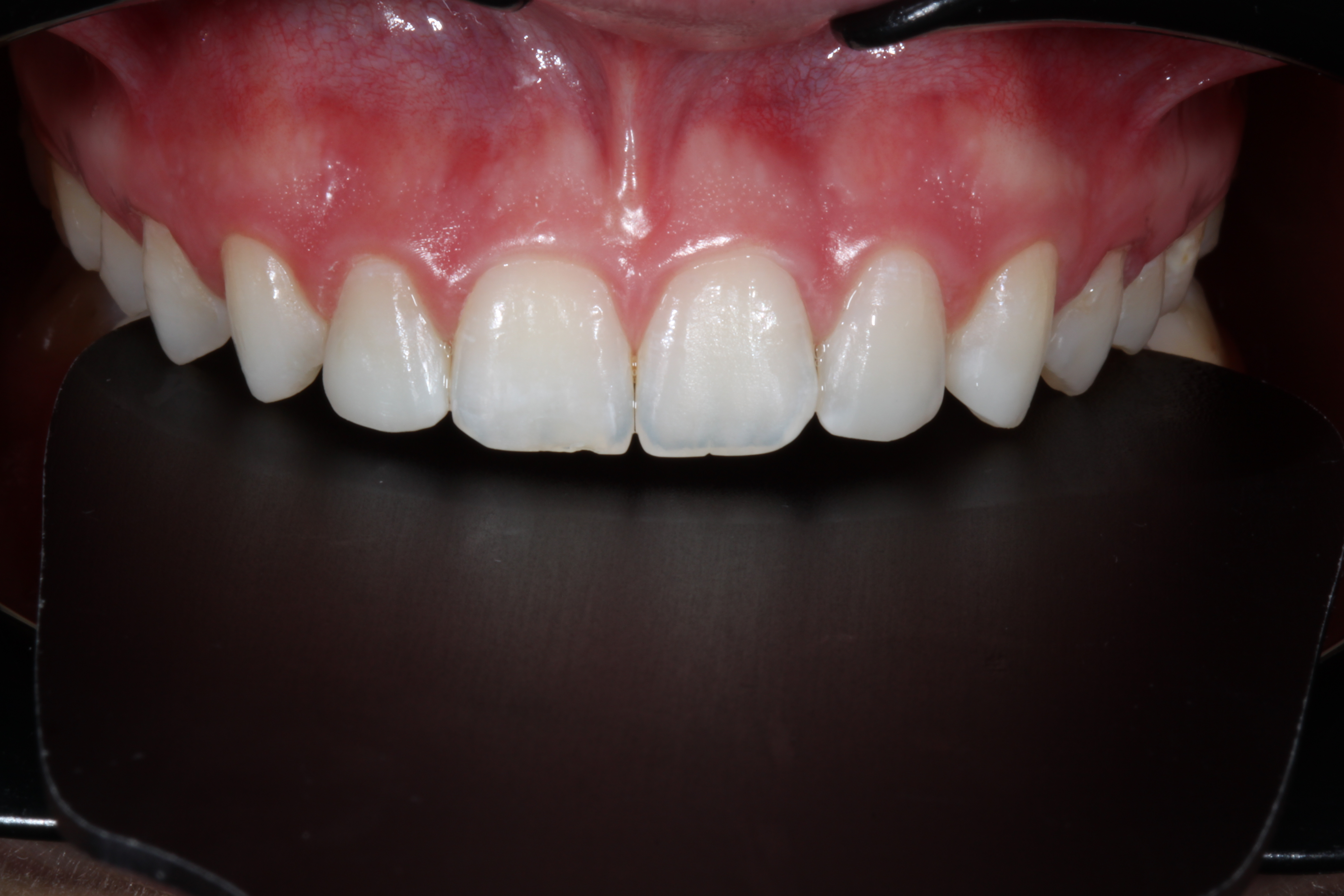
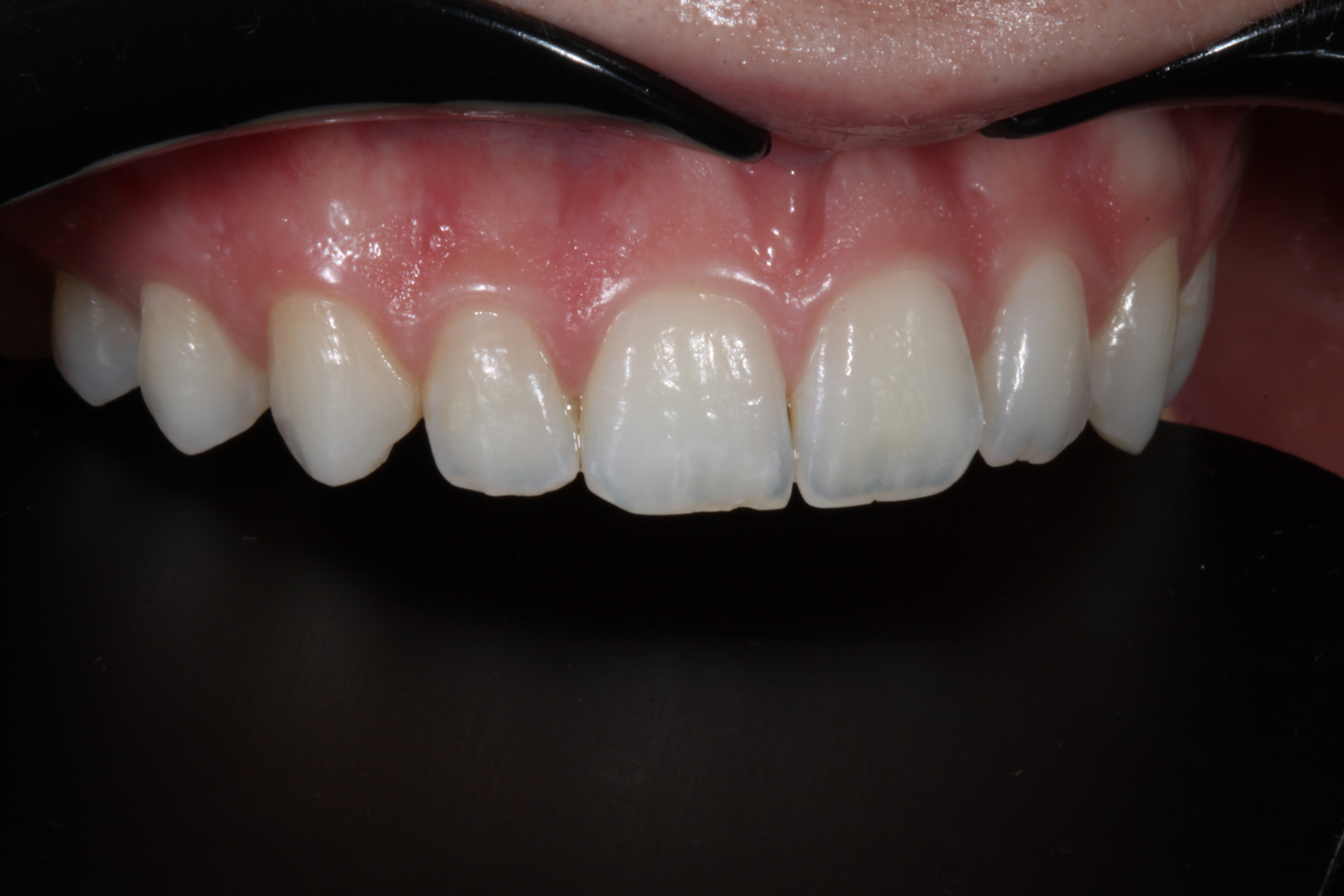
Ausgangssituation der Patientin.

3M™ Filtek™ Easy Match Clinical Cases

Über Dr. Maria Cura 

Maria Cura studierte Zahnmedizin an der Universidad Rey Juan Carlos (URJC) in Madrid, Spanien, wo sie die Abschlüsse DDS und PhD mit internationaler Anerkennung erhielt. Sie ist Spezialistin für ästhetische restaurative Zahnheilkunde an derselben Universität und hat zudem ein postgraduales Studium in Prothetik abgeschlossen (SCOE). Aktuell ist sie als Hochschullehrerin in Teilzeit an der Universidad Rey Juan Carlos tätig. Dr. Cura ist Autorin mehrerer Forschungsartikel in internationalen Fachzeitschriften mit Impact-Index. Sie leitet regelmäßig Weiterbildungen im Bereich ästhetische Zahnheilkunde und hat mehrere Auszeichnungen für ihre Forschung und klinische Tätigkeit erhalten. Sie betreibt zudem eine Praxis für ästhetische restaurative Zahnheilkunde in Madrid (Spanien).

Mit Komposit zu einem schöneren Lächeln!

Fallbeschreibung: 

Kleine Restaurationen im Bereich der Inzisalkante sind extrem herausfordernd. Da der verfügbare Platz sehr begrenzt ist, gestaltet sich der Einsatz verschiedener Opazitäten schwierig. Im Sinne der Vereinfachung erscheint die Verwendung einer Einfarb-Technik ideal. Jedoch sind zwingend gute ästhetische Ergebnisse zu erzielen. Eine 21-jährige Patientin bei guter Gesundheit stellte sich vor, weil sie mit ihrem Lächeln unzufrieden war: „Ich hätte gern ein schöneres Lächeln. Meine seitlichen Schneidezähne sehen ausgefranst aus, der Eckzahn ist zu schnabelförmig.“ Die Opazität von 3M™ Filtek™ Easy Match passt sich der natürlichen Umgebung an und ist genau dort, wo ich es benötige, so transluzent wie Schmelz und so opak wie Dentin.

Ausgangssituation der Patientin.

Ausgangssituation

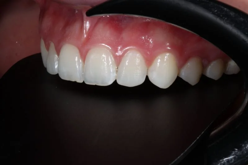
Ansicht von bukkal.

Ansicht von bukkal. 

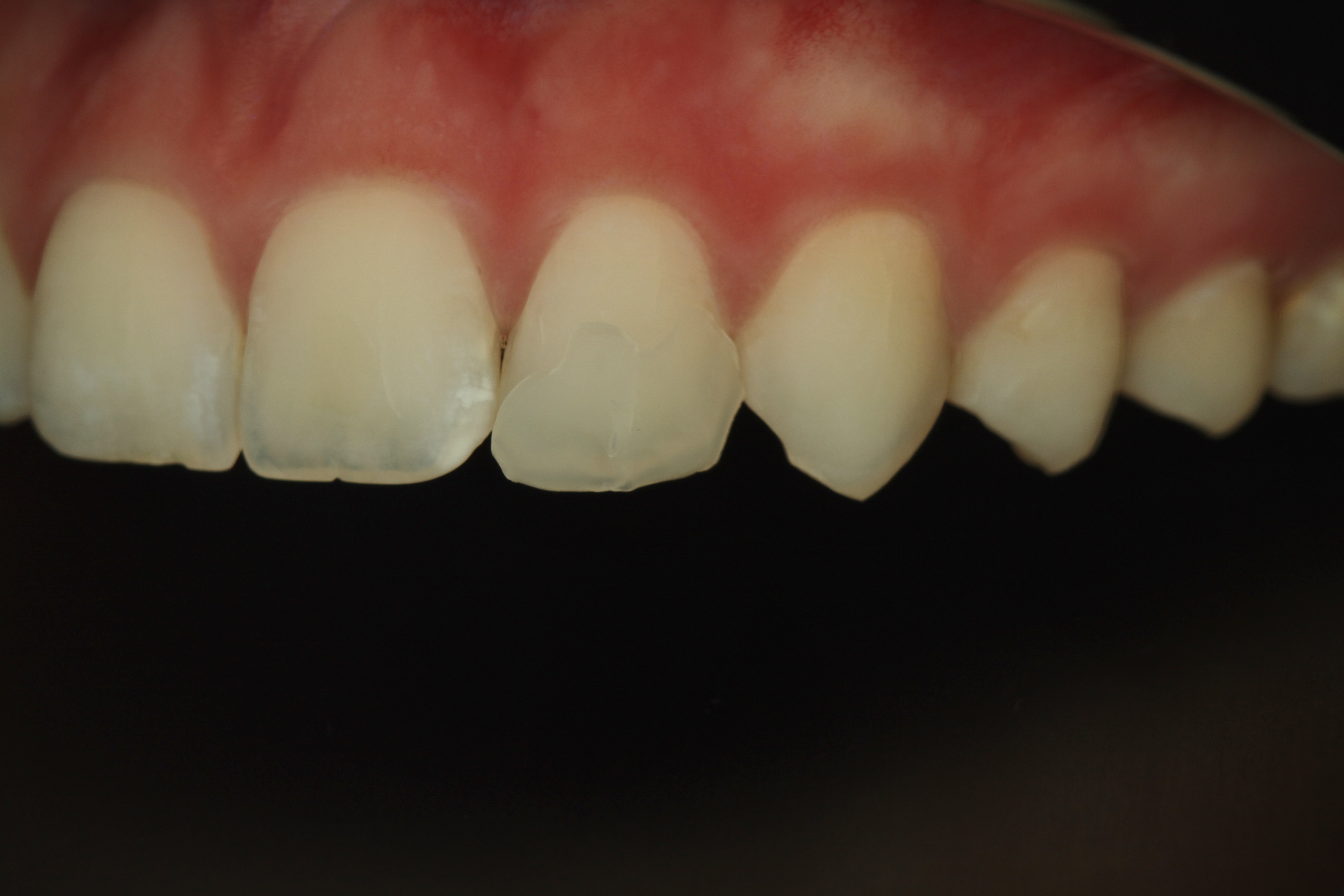
Anatomie der Frontzähne.

Anatomie des Zahnes 12.

Ansicht von bukkal. 

Anatomie des Zahnes 12.

Anatomie der Zähne 22 und 23.

Ansicht von bukkal. 

Anatomie der Zähne 22 und 23.

Farbbestimmung des Komposits.

Farbbestimmung. 

Mithilfe einer gewöhnlichen Aufnahme und einer Aufnahme mit Polfilter zeigt sich: Bright fügt sich dank des höheren Farbwertes besser in die Umgebung ein.

Isolierung mit Kofferdam.

Isolierung mit Kofferdam.

Entfernung des Biofilms mit Bimssteinpaste und einer Prophylaxebürste.

Biofilmentfernung. 

Entfernung des Biofilms mit Bimssteinpaste und einer Prophylaxebürste.

Ätzen mit Phosphorsäure-Gel.

Ätzen mit Phosphorsäure-Gel. 

Auf Schmelzoberfläche 15 Sekunden einwirken lassen.

Anwendung von 3M™ Scotchbond™ Universal Plus Adhäsiv.

Anwendung von 3M™ Scotchbond™ Universal Plus Adhäsiv. Auf der Oberfläche 20 Sekunden einreiben, mit Luft verblasen bis zur vollständigen Evaporation des Lösungsmittels und final 10 Sekunden lichthärten.

Applikation von 3M™ Filtek™ Easy Match, Farbton Bright.

Applikation von 3M™ Filtek™ Easy Match, Farbton Bright.

Anatomische Modellation des Zahns 12 mit einem Spatel.

Anatomische Modellation des Zahns 12 mit einem Spatel.

Optimierung der Form mit einem Pinsel.

Mit einem Pinsel lässt sich die Form gut optimieren und das Komposit am Übergang zum Zahn dünn ausstreichen.

Ausgearbeitete Restaurationen vor der Politur.

Ausgearbeitete Restaurationen vor der Politur.

Applikation von Glyceringel vor Lichthärtung

Applikation von Glyceringel vor Lichthärtung; so wird die Bildung einer Sauerstoffinhibitionsschicht verhindert.

Behandlungsergebnis nach Ausarbeitung und Politur mit 3M™ Sof-Lex™ Scheiben und Rädern.

Behandlungsergebnis nach Ausarbeitung und Politur mit 3M™ Sof-Lex™ Scheiben und Rädern.

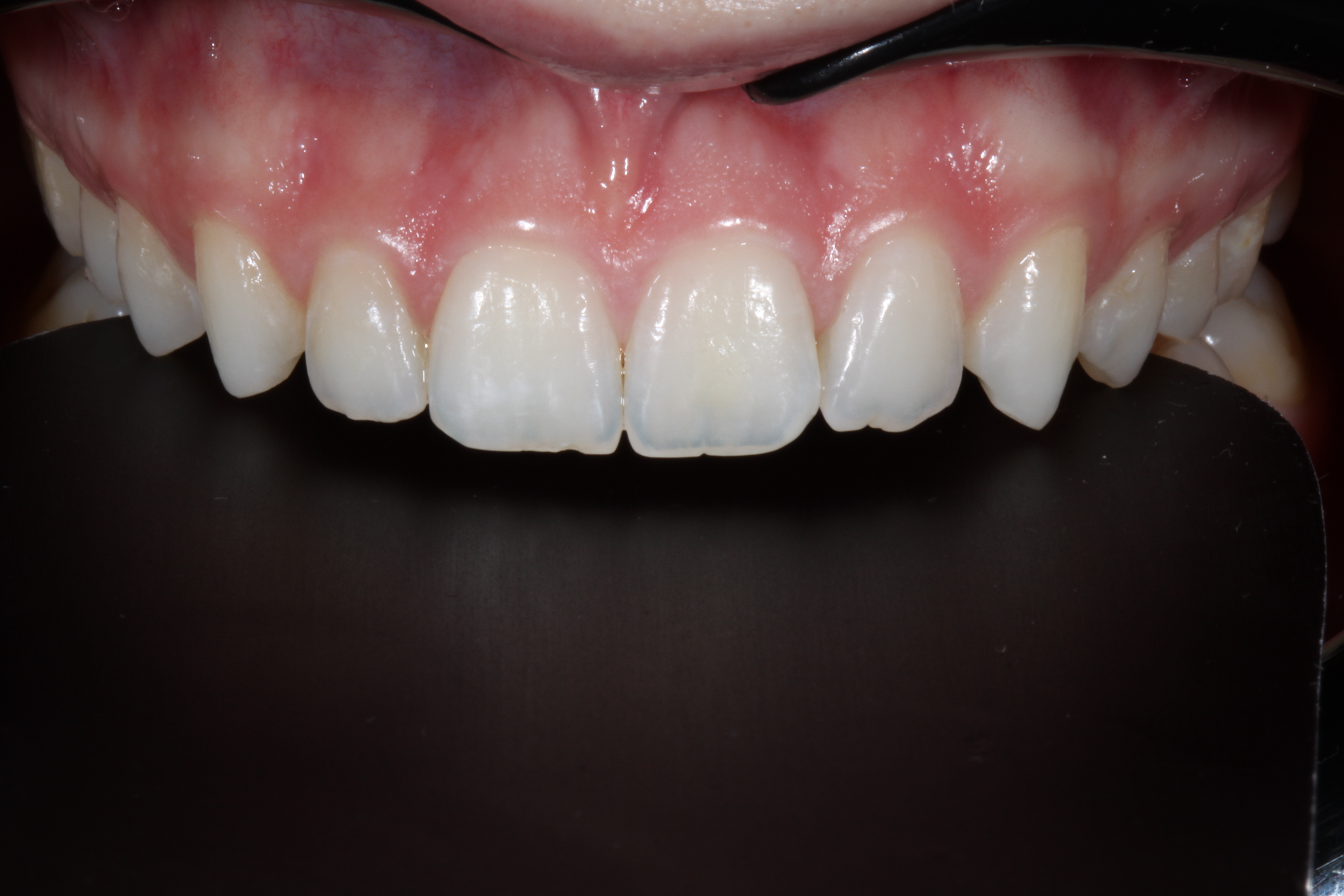
Definitive Restaurationen: Ansicht von lateral.

Definitive Restaurationen: Ansicht von lateral.

Definitive Restaurationen: Ansicht von lateral.

Definitive Restaurationen: Ansicht von lateral.

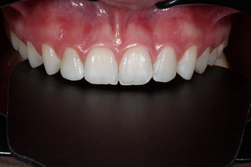
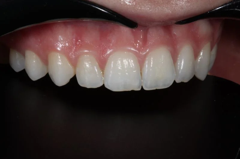
Neues Lächeln der Patientin.

Überprüfung der Zufriedenheit der Patientin mit ihrem neuen Lächeln.

Eine komplette Produktbeschreibung entnehmen Sie bitte der Gebrauchsanweisung (IFU). Ergebnisse können abweichen.

Verwandte Produkte von Solventum:

3M™ Filtek™ Easy Match Universal Komposit 

  • Mit nur drei Farben lassen sich die Zahnfarben der meisten Patienten abdecken 
  • Vereinfachte Farbauswahl ohne Kompromisse bei der Opazität 
  • Dank optimiertem Lagerbestand sind weniger selten verwendete Farben zu entsorgen 
  • Feste Konsistenz 
  • Exzellente Verschleißfestigkeit und Glanzbeständigkeit

3M™ Scotchbond™ Universal Plus Adhäsiv 

  • Zusätzliche Röntgenopazität 
  • Haftet an und versiegelt kariös verändertes, remineralisierbares Dentin* Verbesserte Haftung an Zahnhartsubstanz und Restaurationsmaterialien inklusive Glaskeramik 
  • Vollständige Kompatibilität mit dual- und selbsthärtenden Kompositen ohne separaten Aktivator
  • Frei von BPA-Derviaten wie BisGMA * Interne Daten von Solventum