Zum Hauptinhalt springen Zur Suche springen Zur Hauptnavigation springen
Willkommen auf der neuen Website Ihres Partners für Praxen und Labore im Dentalbereich!
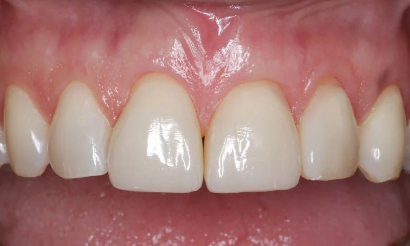
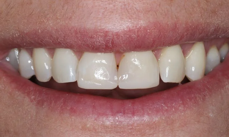
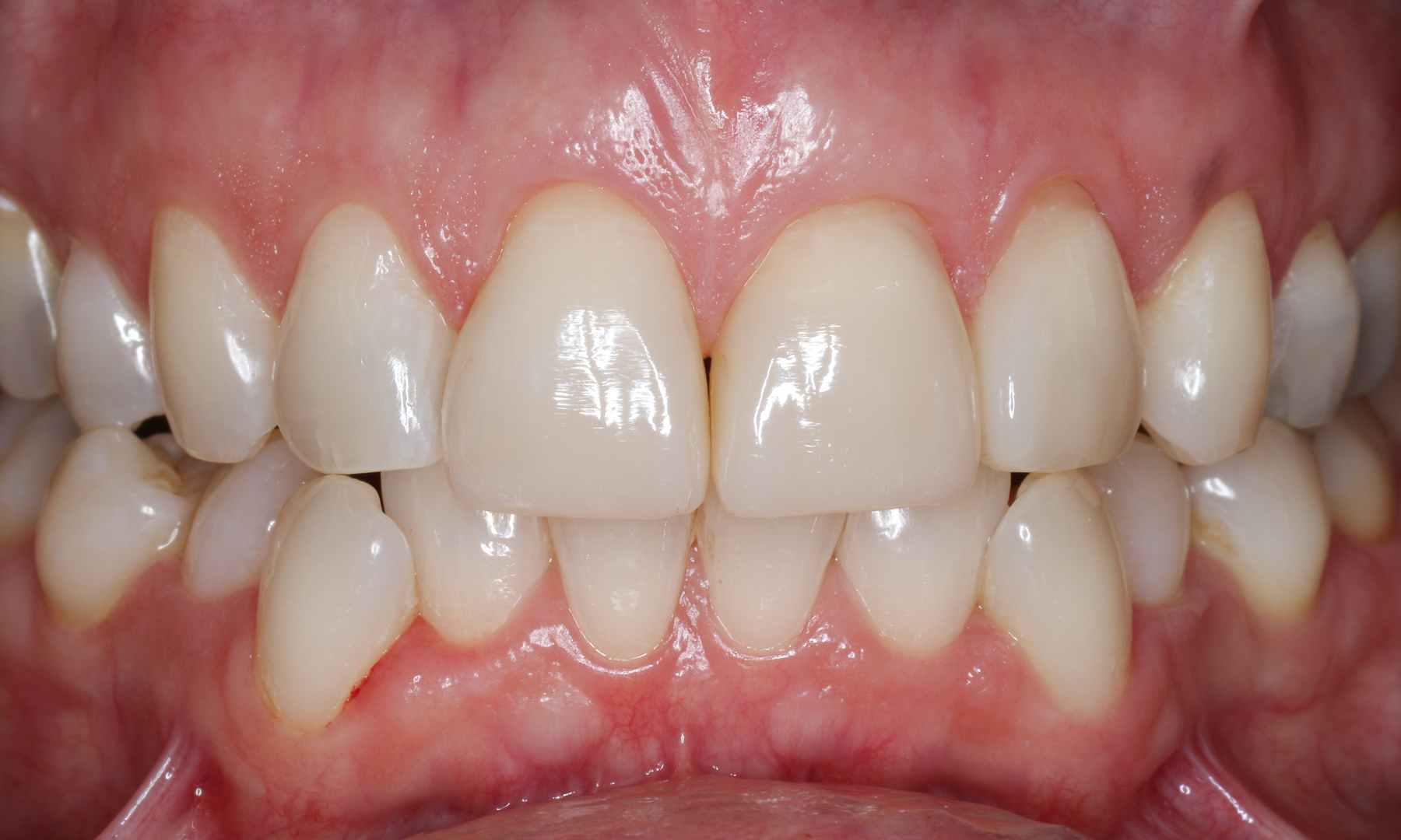
Ausgangssituation: Lächeln der Patientin.

3M™ Filtek™ Easy Match Clinical Cases

Über Prof. Dr. med. Dent. Gabriel Krastl 

Direktor der Poliklinik für Zahnerhaltung und Parodontologie am Universitätsklinikum Würzburg Mitglied der International Association of Dental Traumatology (IADT) sowie im Stipendienausschuss der IADT Mitglied der International Academy for Adhesive Dentistry Mitglied der Continental European Division (CED) der IADR Mitglied der Deutschen Gesellschaft für Zahnerhaltung (DGZ) Vorstandsmitglied der Deutschen Gesellschaft für Endodontologie und zahnärztliche Traumatologie (DGET) Swiss Association for Preventive and Restorative and Aesthetic Dentistry (SSPRE) Swiss Society of Endodontics (SSE) Autor mehrerer im Peer-Review-Verfahren begutachteter Publikationen über ästhetische Zahnmedizin, minimalinvasive Restaurationen, Traumatologie, Endodontologie und postendodontische Versorgung.

Restauration von Kavitäten der Klasse IV mit einem einzigen Farbton.

Fallbeschreibung: 

Es stellte sich eine 58-jährige Patientin mit erneuerungsbedürftigen Restaurationen an den Zähnen 11 und 21 vor. Durch den Verschleiß des Komposits erschienen die klinischen Kronen kürzer als ästhetisch angemessen. Zur Wiederherstellung der ursprünglichen, harmonischen Proportionen wurde entschieden, beide Zähne neu zu versorgen. 

Herausforderung: 

Die oberen Schneidezähne sind die Zähne, an die die höchsten ästhetischen Ansprüche gestellt werden. Nicht selten erfordern die anatomischen Details an diesen Zähnen die Kombination mehrerer Komposit-Massen unterschiedlicher Opazität. Im vorliegenden Fall gelang es jedoch, die ästhetischen Ansprüche der Patientin durch den Einsatz eines einzigen Komposit-Farbtons zu erfüllen. 

Ergebnis: 

Bei Zähnen mit einer geringen Transluzenz und homogenen Farbstruktur spart der Einsatz von Kompositen mit einem universellen Farbkonzept Zeit, während die Vorgehensweise stark vereinfacht wird. Das Farbergebnis stellte die Patientin zufrieden und die Proportionen der Zähne waren endlich wieder harmonisch.

Ausgangssituation: Lächeln der Patientin.

Ausgangssituation: Lächeln der Patientin. 

Die Patientin störte sich an der im Vergleich zum Idealzustand kürzeren Inzisalkante der Zähne 11 und 21.

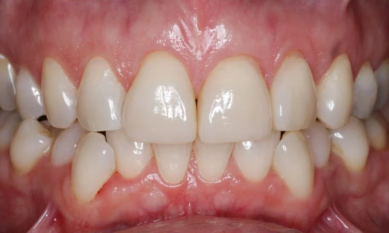
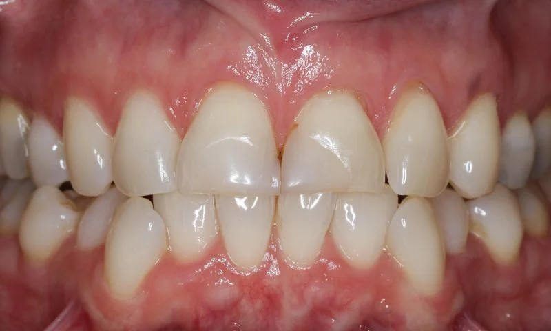
Ausgangssituation: Zähne in Okklusion.

Ausgangssituation: Zähne in Okklusion.

Farbauswahl mit 3M™ Filtek™ Easy Match Universal Komposit

Farbauswahl. 

Mit 3M™ Filtek™ Easy Match Universal Komposit ist es nicht notwendig, eine Farbskala zu verwenden. Da ich jedoch dieses Komposit zum ersten Mal einsetzte, entschied ich mich für die Herstellung eines Farbschlüssels aus dem Material selbst mit seinen drei verfügbaren Farboptionen (Warm, Natural und Bright). Dies erlaubt die Bestimmung des am besten geeigneten Farbtons.

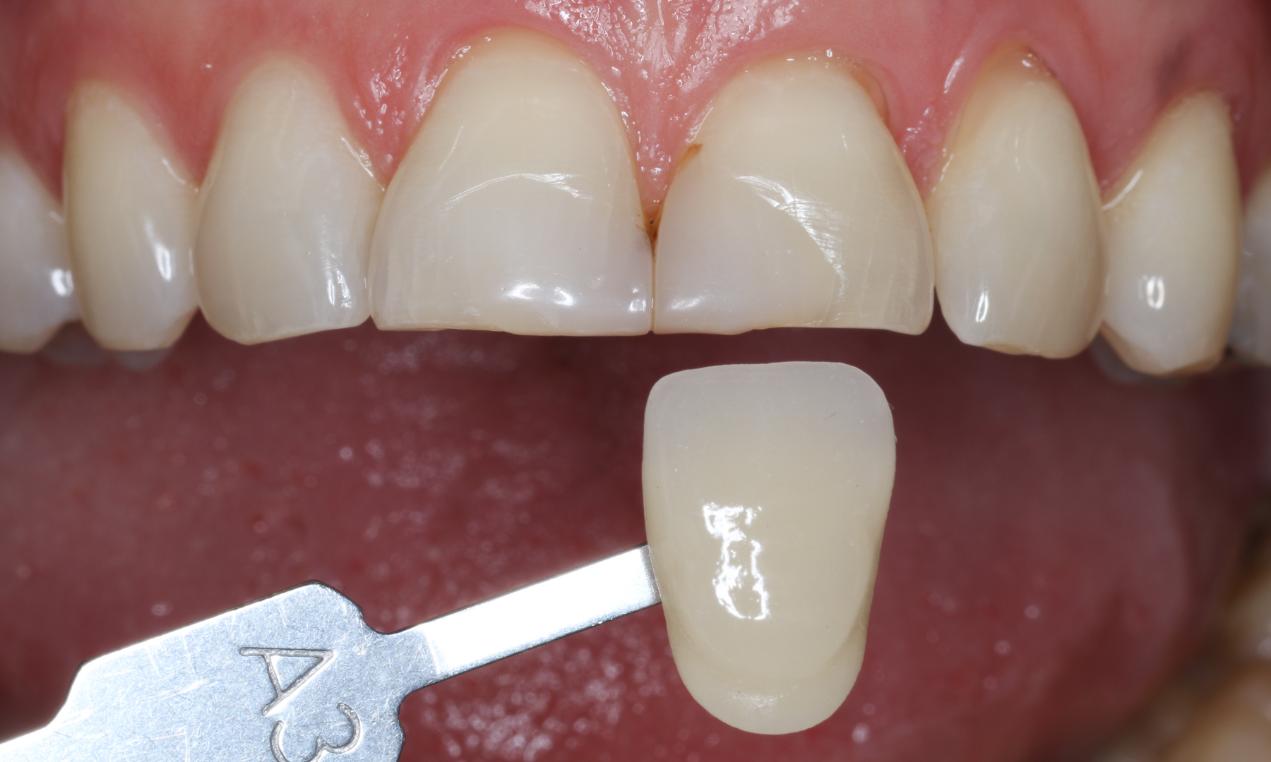
Die Farbe der natürlichen Zähne entspricht dem Farbton A3 der VITA classical A1-D4® Farbskala.

Gewählte Farbe. 

Die Farbe der natürlichen Zähne entsprach dem Farbton A3 der VITA classical A1-D4® Farbskala. Dieser stimmt mit dem Farbton Natural von 3M™ Filtek™ Easy Match überein.

Überprüfung der gewählten Farbe.

Überprüfung der gewählten Farbe. 

Nach der Entfernung der bestehenden Versorgungen wurde eine geringe Menge 3M™ Filtek™ Easy Match im Farbton Natural ohne vorheriges Ätzen und Bonden im Frontzahnbereich appliziert. Dies diente ausschließlich der Überprüfung des zu erwartenden Farbergebnisses.

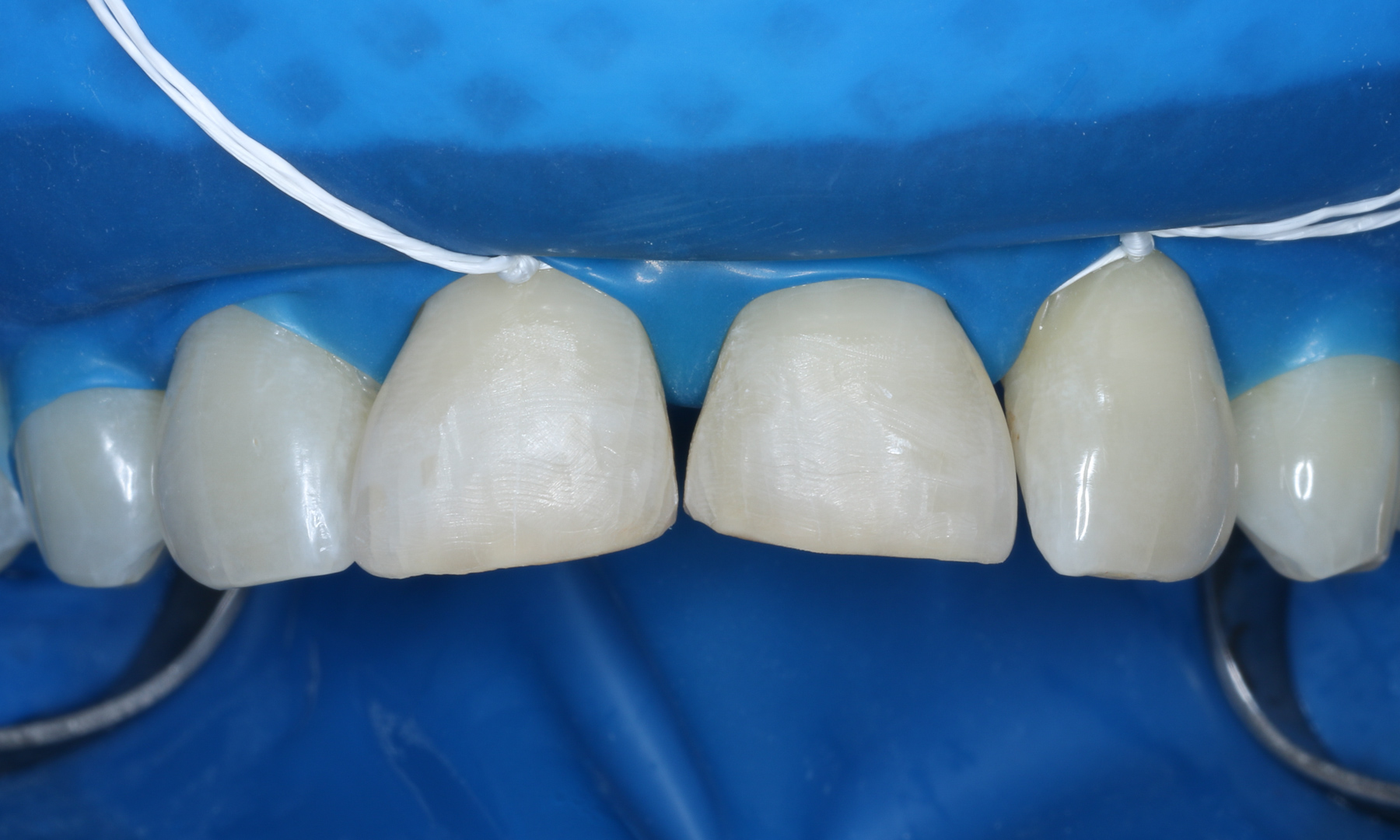
Absolute Trockenlegung mit Kofferdam.

Absolute Trockenlegung mit Kofferdam. 

Ligaturen aus Zahnseide helfen bei der Fixierung des Kofferdams. Die Zahnhartsubstanz ist im Zustand nach Entfernung der bestehenden Versorgungen dargestellt.

Einprobe des Silikonschlüssels zur Passungskontrolle.

Einprobe des Silikonschlüssels zur Passungskontrolle. 

Um die Anatomie des Wax-ups vom Modell zu kopieren, wurde ein Schlüssel aus A-Silikon-Abformmaterial hergestellt. Es wird sichtbar, wie viel Zahnhartsubstanz mit Komposit aufzubauen ist, um die Proportionen wiederherzustellen.

Restaurationen an den Zähnen 11 und 21 nach Ätzen der Präparation mit Phosphorsäure-Ätzgel und Applikation von 3M™ Scotchbond™ Universal Plus Adhäsiv sowie Aufbau mit Komposit.

Ansicht von lateral. 

Restaurationen an den Zähnen 11 und 21 nach Ätzen der Präparation mit Phosphorsäure-Ätzgel und Applikation von 3M™ Scotchbond™ Universal Plus Adhäsiv sowie Aufbau mit Komposit.

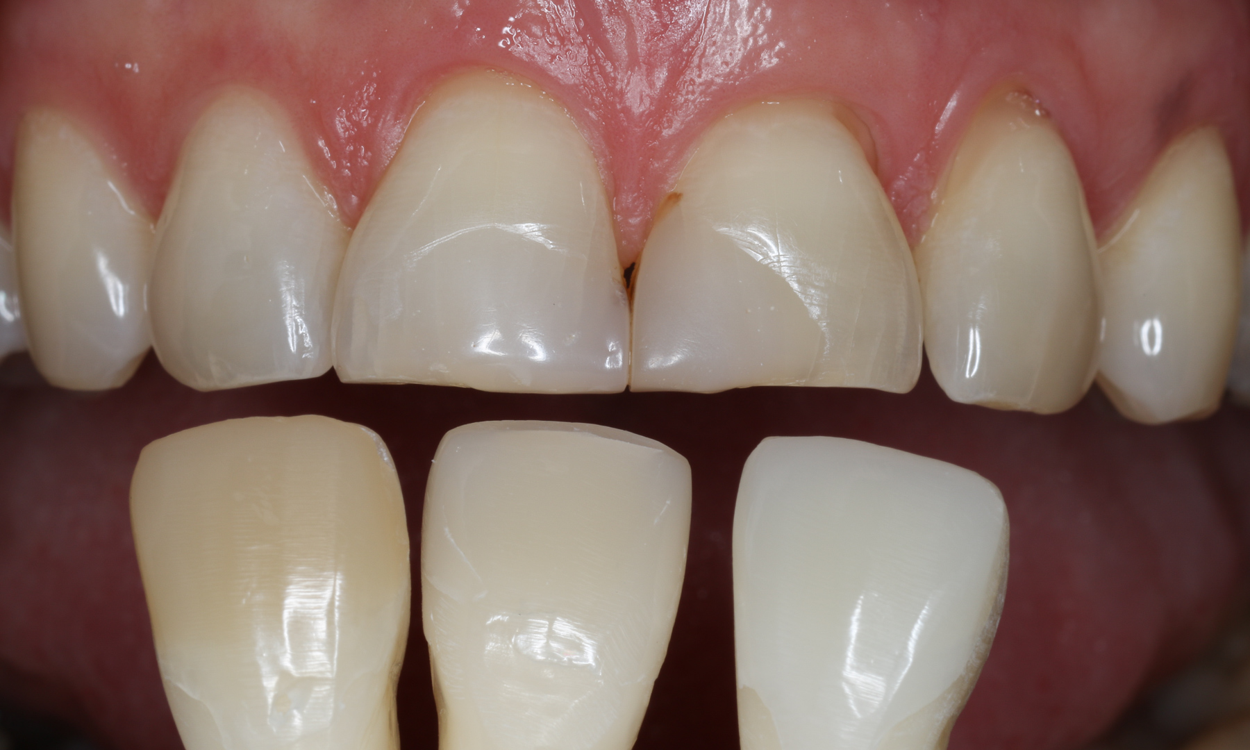
Restaurationen an den Zähnen 11 und 21 vor der Ausarbeitung und Politur.

Frontalansicht.

Restaurationen an den Zähnen 11 und 21 vor der Ausarbeitung und Politur.

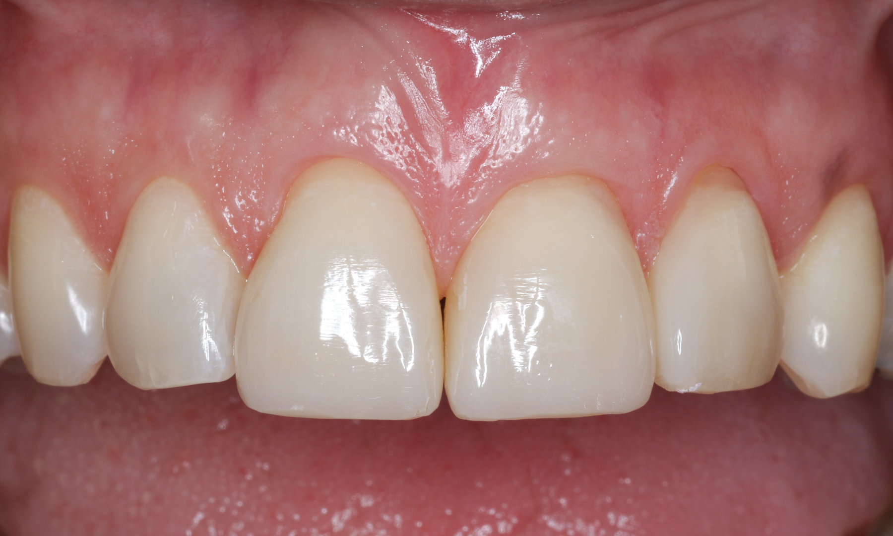
Ergebnis unmittelbar nach Behandlungsabschluss.

Ergebnis unmittelbar nach Behandlungsabschluss. 

Situation nach Ausarbeitung, Politur und Entfernung des Kofferdams. Der Einsatz eines Blockers war nicht erforderlich, die Opazität wirkt natürlich.

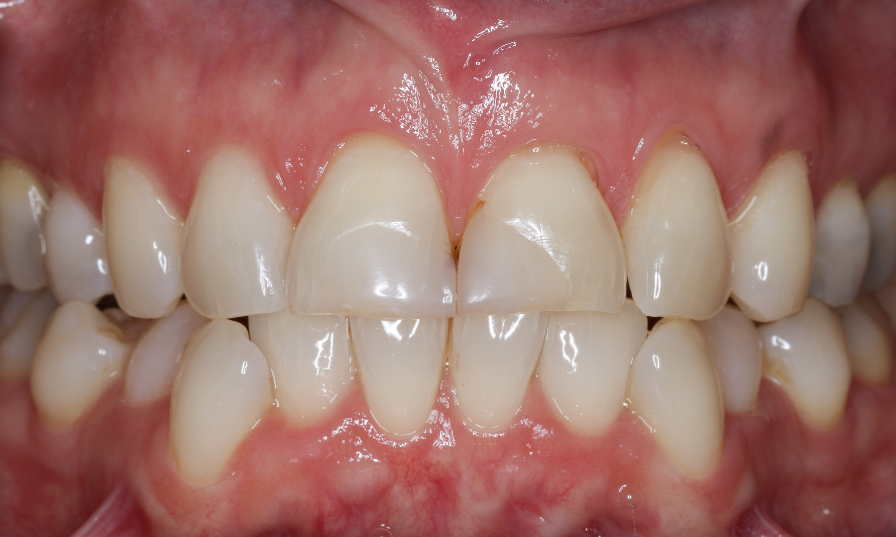
Postoperative Aufnahme der Zähne in Okklusion.

Postoperative Aufnahme der Zähne in Okklusion. 

Eine Überprüfung des Farbergebnisses ist aufgrund der dehydrierten natürlichen Zahnhartsubstanz nicht möglich, das Erscheinungsbild aber vielversprechend.

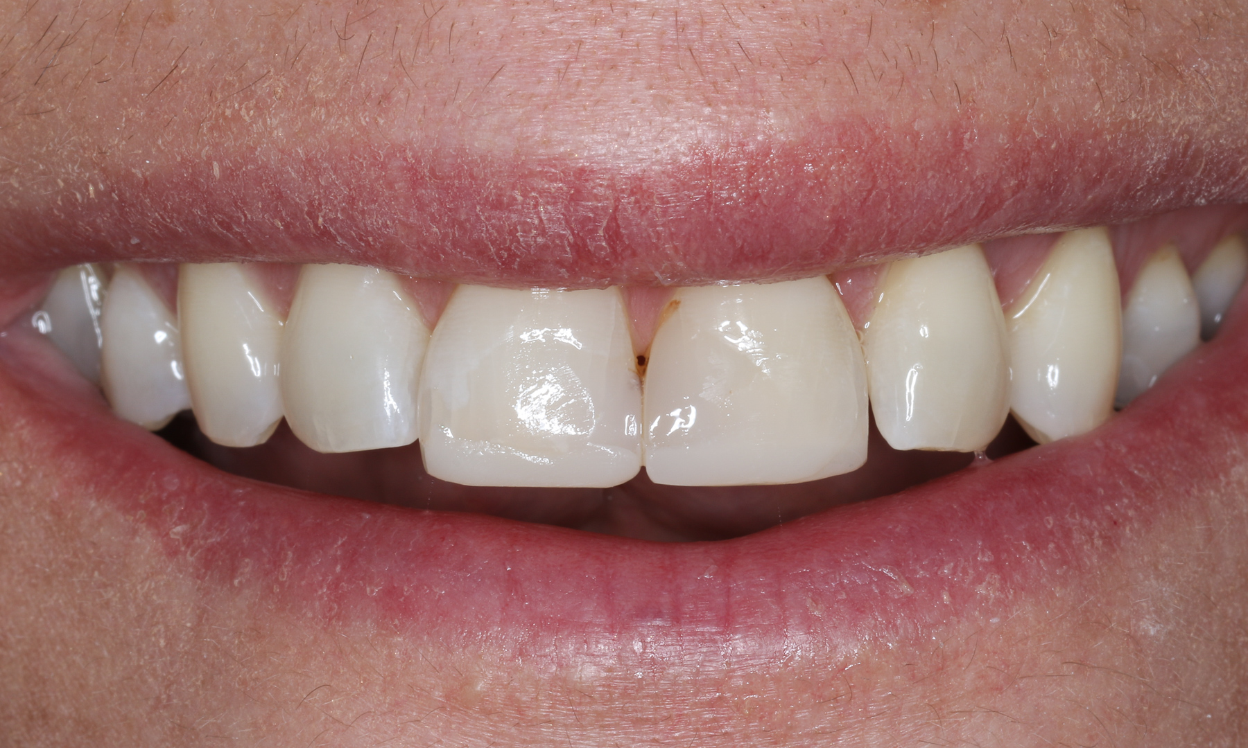
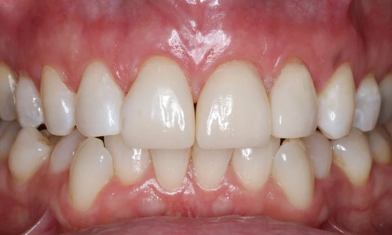
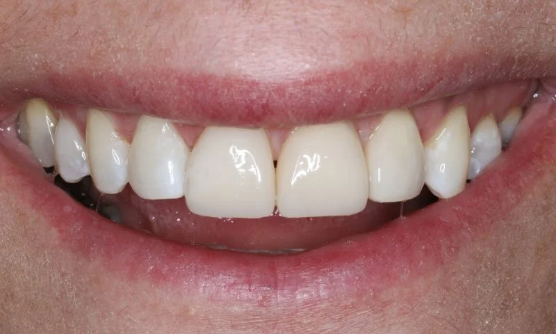
Lächeln der Patientin unmittelbar nach der Behandlung.

Lächeln der Patientin unmittelbar nach der Behandlung.

3M™ Filtek™ Easy Match Universal Komposit im Farbton Natural

In diesem Fall verwendetes 3M™ Filtek™ Easy Match Universal Komposit im Farbton Natural.

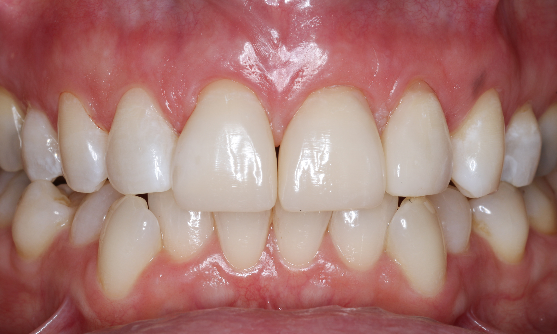
Ergebnis nach vier Wochen.

Ergebnis nach vier Wochen. 

Die Zähne sind vollständig rehydriert und das Komposit stimmt farblich mit der Zahnhartsubstanz überein.

Zähne in Okklusion nach vier Wochen.

Zähne in Okklusion nach vier Wochen.

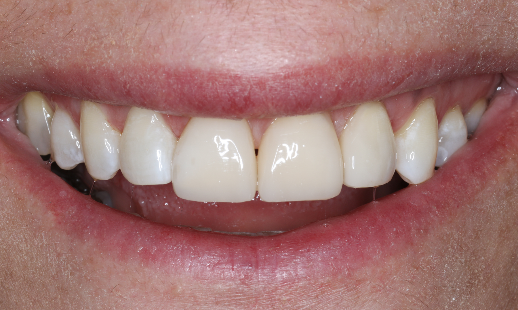
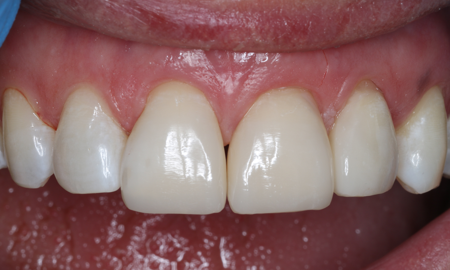
Lächeln der Patientin nach vier Wochen.

Lächeln der Patientin nach vier Wochen. 

Die Patientin ist mit der Farbe und Form ihrer neuen Restaurationen sehr zufrieden.