orangedental PaX-i Plus AI – Röntgen
PaX-i Plus AI - Präzision trifft Benutzerfreundlichkeit
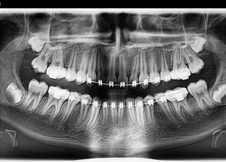
Das PaX-i Plus AI ist ein modernes digitales Panorama-Röntgensystem (OPG), das innovative Bildgebung mit künstlicher Intelligenz verbindet. Es wurde entwickelt, um Diagnosen zu präzisieren, Arbeitsabläufe zu optimieren und die Patientenversorgung nachhaltig zu verbessern.
Dank leistungsstarkem CMOS-Sensor, intelligenter Bildoptimierung und automatisierten Funktionen liefert das System zuverlässig hochwertige Aufnahmen – auch unter anspruchsvollen Bedingungen. Die modulare Bauweise sowie die einfache Integration in bestehende Praxissoftware machen das PaX-i Plus AI zu einer zukunftssicheren Lösung für Zahnarztpraxen und Kieferorthopäden.
Ihre Vorteile auf einen Blick
Die integrierte künstliche Intelligenz unterstützt aktiv bei der Bildauswertung und erkennt Auffälligkeiten schneller.
Das verbessert die diagnostische Sicherheit und erleichtert die Behandlungsplanung.
Technische Aspekte
CMOS CSI Sensor (5 lp/mm)
ALSA-Technologie
Autofokus-System
KI-Integration
Fast Scan CEPH (optional, 1,9 Sek.)
TMJ- & Sinus-Programme
Offene Schnittstellen
Kompaktes Design
Funktionen
Hochauflösende Panoramaaufnahmen
Automatische Schichtbildoptimierung
Präzise Patientenpositionierung
Unterstützung bei Diagnose und Planung
Schnelle kephalometrische Aufnahmen
Erweiterte diagnostische Anwendungen
Integration in Praxissoftware
Platzsparende Installation
Angebot PaX-i Plus AI
* Automatische Verlängerung oder Kündigung 3 Monate vor Ablauf.
Angebot gültig bis 31.03.2026.
- Bildoptimierung durch intelligenten ALSA (Automatic Layer Selection Algorithm)
- Hochauflösender CMOS CSI Sensor (Auflösung 5 lp /mm)
- Autofocus-Funktion mit speziellen Aufnahmeprogrammen (TMJ, Sinus)
- Kompaktes, modernes Design mit glatten Flächen in weiß
- optional als Fast Scan Ceph mit 1,9 Sek. Umlauf
- Standfuß, Röntgen-PC/Monitor gegen Aufpreis
FAQ`S
Das PaX-i Plus AI eignet sich für Zahnarztpraxen, Kieferorthopäden und radiologische Einrichtungen, die auf moderne digitale Diagnostik setzen.
ALSA kombiniert automatisch mehrere Schichtaufnahmen zu einem optimalen Bild und reduziert so Fehler durch falsche Positionierung.
Ja, durch die modulare Bauweise kann das Gerät jederzeit um zusätzliche Funktionen wie CEPH erweitert werden.
Die KI hilft bei der Analyse der Aufnahmen, erkennt Auffälligkeiten schneller und unterstützt bei der Behandlungsplanung.
Kontakt
Fragen?
So erreichen Sie uns:
Kundenservice
Haben Sie noch Fragen oder wünschen Sie weitere Informationen?
Dann schreiben Sie uns eine E-Mail oder rufen Sie uns einfach an. Wir sind gerne für Sie da!
Servicezeiten:
Mo–Do: 08:00–17:00 Uhr | Fr: 08:00–16:00 Uhr

So erreichen Sie uns:

Kundenservice
Haben Sie noch Fragen oder wünschen Sie weitere Informationen? Dann schreiben Sie uns eine E-Mail oder rufen Sie uns einfach an. Wir sind gerne für Sie da!
Servicezeiten: Mo–Do: 08:00–17:00 Uhr | Fr: 08:00–16:00 Uhr