Dürr Dental VistaPano S 2.0 + VistaScan Mini View 2.0 – Röntgen
VistaPano S 2.0 – Präzision neu definiert
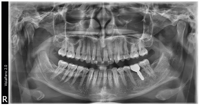
Das VistaPano S 2.0 von Dürr Dental ist ein hochmodernes digitales 2D-Panoramaröntgensystem, das durch innovative Technologien, intuitive Bedienung und höchste Bildqualität überzeugt. Die Kombination aus S-Pan-Technologie, modernem CsI-Sensor und VistaSoft AI sorgt für präzise Diagnosen, optimierte Arbeitsabläufe und eine deutliche Zeitersparnis im Praxisalltag. Dank kompakter Bauweise, schneller Aufnahmezeiten und intelligenter Automatisierung ist das System ideal für zukunftsorientierte Zahnarztpraxen.
Highlights
VistaScan Mini View 2.0 – Effizienter Speicherfolienscanner
Der VistaScan Mini View 2.0 ergänzt das System perfekt und bietet maximale Flexibilität bei intraoralen Aufnahmen.
Ihre Vorteile
- ScanManager: Paralleles Arbeiten von mehreren Arbeitsplätzen
- Standalone-Modus: Scannen ohne PC möglich
- Alle Formate: Größe 0 bis 4 abdeckbar
- WLAN & LAN: Einfache Integration ins Praxisnetzwerk
- SmartScan Workflow: Schnelles, effizientes Arbeiten AI-Unterstützung für optimierte Bildverarbeitung
Weitere Highlights
- 5"-Glas-Touch-Display
- Ambient Light für modernes Praxisdesign
- Hervorragende Detaildarstellung (z. B. Kariesfrühstadien)
Technische Aspekte
VistaPanoS 2.0
Bilddetektortyp CsI:TI Sensor
Pixelgröße (µm) 100
Scanzeiten (sek) 2,4 - 13,5
Aktive Sensorfläche (mm) 6 x 151,2
Spannung (kV) 60 - 99
Brennfleck (mm) 0,5 mm (IEC60336)
Gesamtfilterung min. (mm) 2,5
Framerate (fps) 287
Vergrößerungsfaktor 1,3
Maximalhöhe (mm) 2287
Gewicht (ohne/mit Standfuß kg) 112,5/158
Höhenverstellbereich (mm) 700
Maße (B x T x H mm) 990 x 1160 x 2287
Netzspannung (VAC) 200 - 240
Frequenz (Hz) 50/60
Nennleistung (kVA) 2,2
Installation (Wandmontage oder Standfuß)
VistaPano S Ceph 2.0
Bilddetektortyp CsI:TI Sensor
Pixelgröße (µm) 100
Scanzeiten (sek) 2,4 - 13,5 (Kopf-Lateralaufnahme im Schnellscan-Modus: 1,9)
Aktive Sensorfläche (mm) 6 x 151,2 mm / Ceph: 15,6 x 259,2 mm
Spannung (kV) 60 - 99
Brennfleck (mm) 0,5 mm (IEC60336)
Gesamtfilterung min. (mm) 2,5
Framerate (fps) 287 / Ceph: 109
Vergrößerungsfaktor 1,3 / Ceph: 1,14
Maximalhöhe (mm) 2287
Gewicht (ohne/mit Standfuß kg) 134,8/180,3
Höhenverstellbereich (mm) 700
Maße (B x T x H mm) 1900 x 1160 x 2287
Netzspannung (VAC) 200 - 240
Frequenz (Hz) 50/60
Nennleistung (kVA) 2,2
Installation (Wandmontage oder Standfuß) ✓
Angebot VistaPanos S 2.0 + VistaScan Mini View 2.0
- VistaPanoS 2.0
- Speicherfolienscanner VistaScan Mini View 2.0
- inklusive Prüfkörperset
FAQ´S
Die S-Pan-Technologie analysiert automatisch mehrere Bildebenen und wählt die anatomisch relevantesten Bereiche aus. Dadurch entsteht ein besonders scharfes und individuell angepasstes Panoramabild. Selbst bei leichten Fehlpositionierungen werden verwertbare Ergebnisse erzielt – das reduziert Wiederholungsaufnahmen und erhöht die Diagnosesicherheit.
Ja, das System wurde speziell für effiziente Workflows entwickelt. Das intuitive 8"-Touch-Display, automatisierte Abläufe durch VistaSoft AI und die einfache Patientenpositionierung ermöglichen eine schnelle Einarbeitung und einen reibungslosen Betrieb – auch für das gesamte Praxisteam.
Die Kombination ermöglicht sowohl extraorale als auch intraorale Diagnostik auf höchstem Niveau. Während das VistaPano S 2.0 Panoramaaufnahmen liefert, sorgt der VistaScan Mini View 2.0 für flexible intraorale Bildgebung. Durch Funktionen wie WLAN-Anbindung, Standalone-Modus und parallele Scanprozesse wird der gesamte Workflow deutlich effizienter.
Kontakt
Fragen?
So erreichen Sie uns:
Kundenservice
Haben Sie noch Fragen oder wünschen Sie weitere Informationen?
Dann schreiben Sie uns eine E-Mail oder rufen Sie uns einfach an. Wir sind gerne für Sie da!
Servicezeiten:
Mo–Do: 08:00–17:00 Uhr | Fr: 08:00–16:00 Uhr

So erreichen Sie uns:

Kundenservice
Haben Sie noch Fragen oder wünschen Sie weitere Informationen? Dann schreiben Sie uns eine E-Mail oder rufen Sie uns einfach an. Wir sind gerne für Sie da!
Servicezeiten: Mo–Do: 08:00–17:00 Uhr | Fr: 08:00–16:00 Uhr