• Lösungen
      • Praxis- & Laborplanung
        • Lookbook
        • existKONZEPT
        • Existenzgründungsberatung
        • designkonzept
      • Geräte
        • Behandlungseinheiten
        • Röntgen
        • CAD/CAM
        • Hygiene
        • Prophylaxe
        • Chirurgie
        • Intraoralscanner
        • Mikroskopie
      • Praxisbörse
      • Fundgrube
    • Shop
      • Praxis
        • Abformmaterialien
        • CAD / CAM
        • Implantologie
        • Desinfektion, Pflege und Sterilisation
        • Instrumente
        • EDV-Zubehör
        • Medikamente, Medizinprodukte und Sonstiges
        • Einwegartikel und Arbeitsschutz
        • Mundschutz und Gesichtsmasken
        • Endodontie
        • Praxisorganisation
        • Prophylaxe
        • Füllungen
        • Röntgen
        • Glas- und Kunststoffwaren
        • Rotierende Instrumente
        • Handschuhe
      • Labor
        • Ausarbeiten und Polieren
        • KFO
        • CAD / CAM
        • Modellherstellung
        • Desinfektion, Einwegartikel und Arbeitsschutz
        • Modellieren und Tiefziehen
        • Einbetten, Gießen und Löten
        • Verblendtechnik
        • Instrumente
        • Zähne und Prothetik
      • PLU°LINE
      • Aktionen
      • Praxisgeräte
        • Autoklaven und Sterilisatoren
        • CAD/CAM
        • Endodontie
        • Folienschweißgeräte
        • Hand- und Winkelstücke & Turbinen
        • Reinigungs- und Desinfektionsgeräte
        • HF Chirurgie
        • Lichtpolymerisation
        • Mischgeräte
        • Prophylaxe und ZEG
        • Diverse Praxisgeräte
        • Zubehör
      • Laborgeräte
        • Arbeitsvorbereitung
        • CAD / CAM
        • Gipsbereich
        • Gußbereich
        • Keramik
        • Kraftraum / Versorgung
        • Technik
      • Hersteller
    • Service
      • Recall und Prüfungen
      • Netzwerke, IT
      • Reparaturservice
      • Entsorgung in der Zahnarztpraxis
      • DS Win 11- Update
    • Training
    • Kontakt
    • Übersicht Lösungen
    • Praxis- & Laborplanung
      • Lookbook
      • existKONZEPT
      • Existenzgründungsberatung
      • designkonzept
    • Geräte
      • Behandlungseinheiten
      • Röntgen
      • CAD/CAM
      • Hygiene
      • Prophylaxe
      • Chirurgie
      • Intraoralscanner
      • Mikroskopie
    • Praxisbörse
    • Fundgrube
    • Übersicht Shop
    • Praxis
      • Abformmaterialien
      • CAD / CAM
      • Implantologie
      • Desinfektion, Pflege und Sterilisation
      • Instrumente
      • EDV-Zubehör
      • Medikamente, Medizinprodukte und Sonstiges
      • Einwegartikel und Arbeitsschutz
      • Mundschutz und Gesichtsmasken
      • Endodontie
      • Praxisorganisation
      • Prophylaxe
      • Füllungen
      • Röntgen
      • Glas- und Kunststoffwaren
      • Rotierende Instrumente
      • Handschuhe
    • Labor
      • Ausarbeiten und Polieren
      • KFO
      • CAD / CAM
      • Modellherstellung
      • Desinfektion, Einwegartikel und Arbeitsschutz
      • Modellieren und Tiefziehen
      • Einbetten, Gießen und Löten
      • Verblendtechnik
      • Instrumente
      • Zähne und Prothetik
    • PLU°LINE
    • Aktionen
    • Praxisgeräte
      • Autoklaven und Sterilisatoren
      • CAD/CAM
      • Endodontie
      • Folienschweißgeräte
      • Hand- und Winkelstücke & Turbinen
      • Reinigungs- und Desinfektionsgeräte
      • HF Chirurgie
      • Lichtpolymerisation
      • Mischgeräte
      • Prophylaxe und ZEG
      • Diverse Praxisgeräte
      • Zubehör
    • Laborgeräte
      • Arbeitsvorbereitung
      • CAD / CAM
      • Gipsbereich
      • Gußbereich
      • Keramik
      • Kraftraum / Versorgung
      • Technik
    • Hersteller
    • Übersicht Service
    • Recall und Prüfungen
    • Netzwerke, IT
    • Reparaturservice
    • Entsorgung in der Zahnarztpraxis
    • DS Win 11- Update
    Training
    Kontakt
    Scanner auslesen
    • Keine Suchergebnisse gefunden
  • Kontakt
    • Login

      Login

      Anmelden
      • Passwort vergessen?

      Sie sind neu im Shop?

      Jetzt registrieren
    Warenkorb 0 Art. 0,00 €
Weiter einkaufen
Dein Warenkorb ist leer
Zum Warenkorb
  • Übersicht Lösungen
  • Praxis- & Laborplanung
    • Lookbook
    • existKONZEPT
    • Existenzgründungsberatung
    • designkonzept
  • Geräte
    • Behandlungseinheiten
    • Röntgen
    • CAD/CAM
    • Hygiene
    • Prophylaxe
    • Chirurgie
    • Intraoralscanner
    • Mikroskopie
  • Praxisbörse
  • Fundgrube
  • Übersicht Shop
  • Praxis
    • Abformmaterialien
    • CAD / CAM
    • Implantologie
    • Desinfektion, Pflege und Sterilisation
    • Instrumente
    • EDV-Zubehör
    • Medikamente, Medizinprodukte und Sonstiges
    • Einwegartikel und Arbeitsschutz
    • Mundschutz und Gesichtsmasken
    • Endodontie
    • Praxisorganisation
    • Prophylaxe
    • Füllungen
    • Röntgen
    • Glas- und Kunststoffwaren
    • Rotierende Instrumente
    • Handschuhe
  • Labor
    • Ausarbeiten und Polieren
    • KFO
    • CAD / CAM
    • Modellherstellung
    • Desinfektion, Einwegartikel und Arbeitsschutz
    • Modellieren und Tiefziehen
    • Einbetten, Gießen und Löten
    • Verblendtechnik
    • Instrumente
    • Zähne und Prothetik
  • PLU°LINE
  • Aktionen
  • Praxisgeräte
    • Autoklaven und Sterilisatoren
    • CAD/CAM
    • Endodontie
    • Folienschweißgeräte
    • Hand- und Winkelstücke & Turbinen
    • Reinigungs- und Desinfektionsgeräte
    • HF Chirurgie
    • Lichtpolymerisation
    • Mischgeräte
    • Prophylaxe und ZEG
    • Diverse Praxisgeräte
    • Zubehör
  • Laborgeräte
    • Arbeitsvorbereitung
    • CAD / CAM
    • Gipsbereich
    • Gußbereich
    • Keramik
    • Kraftraum / Versorgung
    • Technik
  • Hersteller
  • Übersicht Service
  • Recall und Prüfungen
  • Netzwerke, IT
  • Reparaturservice
  • Entsorgung in der Zahnarztpraxis
  • DS Win 11- Update
Training
Kontakt
Scanner auslesen

Orthophos SL 2D/3D

Der neue Power Performer von Dentsply Sirona ist optional mit Fernröntgenausleger erhältlich. 

Die Gerätehighlights:

  • DCS-Sensor mit intelligenter Autofokus-Funktion: Für HD-Aufnahmen in hoher Zeichenschärfe im Panoramaröntgenbereich.
  • Automatische Patientenpositionierung: Für hochwertige und reproduzierbare Aufnahmen mit spürbarem Patientenkomfort und minimiertem Risiko von Mehrfachaufnahmen.
  • Abgestimmte Volumengrößen mit Low Dose- und HD-Funktion: Von ø 5 cm x 5,5 cm bis ø 11 cm x 10 cm, mit 3D-Aufnahmen im Dosisbereich von 2D-Röntgen, HD-Aufnahmen mit bis zu 80 μm Auflösung.
  • Ambient Light: Über 30 Farben erzeugen eine angenehme Atmosphäre.
  • Sidexis 4 mit DS Core Integration: Intuitive Bildgebungssoftware für eine einfache Befundung erweiterbar um integrierte Workflows für die Behandlungsplanung und automatischer DS Core Upload.
Sie möchten ein aktuelles Angebot? Fragen Sie uns.

Erleben Sie das Geräte Update vom Orthophos SL

ORTHOPHOS SL 3D mit Ceph

In Kombination mit der wegweisenden Sidexis 4-Software bietet der
Orthophos SL eine Vielzahl an innovativen Lösungen für den modernen
Praxisworkflow. Der Orthophos SL 2D lässt sich jederzeit mit einem
3D Sensor bis hin zu einem 11 cm x 10 cm Volumen oder auch einem
Fernröntgenarm nachrüsten.

  • DCS-Sensor mit Autofokus-Funktion:Für HD-Aufnahmen in hoher  Zeichenschärfe im Panoramaröntgenbereich.
  • Automatische Patientenpositionierung: Für hochwertige und reproduzierbare Aufnahmen mit spürbarem Patientenkomfort und minimiertem Risiko von Mehrfachaufnahmen.
  • Abgestimmte Volumengrößen mit Low Dose- und HD-Funktion: Von ø 5 cm x 5,5 cm bis ø 11 cm x 10 cm, mit 3D-Aufnahmen im Dosisbereich von 2D-Röntgen, HD-Aufnahmen mit bis zu 80 μm Auflösung.
  • Ambient Light: Über 30 Farben erzeugen eine angenehme Atmosphäre.
  • inkl. Prüfkörper / Sidexis 4 Röntgensoftware
  • Mit 11 x 10 cm Volumen bei 3D

optional:
SICAT Software bei 3D

Orthophos SL 3D 

Angebot gültig bis 31.12.2025


Leasingrate ab

EUR 1.268,00

netto, monatlich bei einer Laufzeit von 60 Monaten / Vollamortisation

db Sonderpreis

EUR 64.650,00

 zzgl. MwSt.

Abbildungen beispielhaft, unverbindliche Preisempfehlungen unter Berücksichtigung der Aktionsmodalitäten. Preis Erhöhungen, Irrtum und Satzfehler vorbehalten. Preise verstehen sich rein netto ohne Abzug, zzgl. der gesetzlichen MwSt. Es gelten die aktuellen allgemeinen Verkaufs- und produktbezogenen Leistungsbedingungen der dental bauer GmbH.

ORTHOPHOS SL 2D

 

Orthopos SL 2D

Angebot gültig bis 31.12.2025


Leasingrate ab

EUR 592,00

netto, monatlich bei einer Laufzeit von 60 Monaten 

db Sonderpreis

EUR 29.590,00

 zzgl. MwSt.

Abbildungen beispielhaft, unverbindliche Preisempfehlungen unter Berücksichtigung der Aktionsmodalitäten. Preis Erhöhungen, Irrtum und Satzfehler vorbehalten. Preise verstehen sich rein netto ohne Abzug, zzgl. der gesetzlichen MwSt. Es gelten die aktuellen allgemeinen Verkaufs- und produktbezogenen Leistungsbedingungen der dental bauer GmbH.

Anfragen

auch in der Ceph-Variante verfügbar

Die Röntgen-Lösungen von Dentsply Sirona im Überblick

Produktvideo

Bitte akzeptieren Sie Cookies, um diesen Inhalt zu sehen.

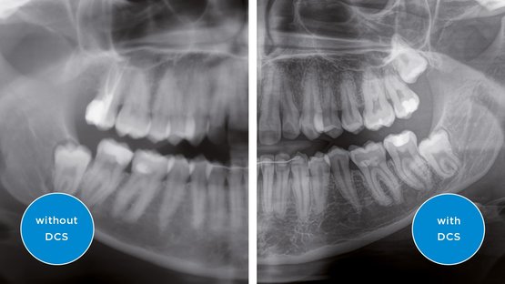
DCS – Zeichenschärfe bis ins Detail

Die DCS-Technologie von Dentsply Sirona ist eine echte Revolution im Panoramaröntgen. Der Direct Conversion Sensor (DCS) wandelt Röntgenstrahlen direkt in elektrische Signale um. Dadurch entstehen keine Signalverluste durch Lichtkonversion. Das bedeutet eine verbesserte Ausbeute an Bildinformationen. Aufnahmen mit einer einzigartig hohen Zeichenschärfe sind das Ergebnis – selbst bei einer extrem niedrigen Dosis. Für mehr Gewissheit bei der Erstellung Ihrer Diagnosen und für Behandlungsergebnisse, die noch präziser und sicherer sind.

Interesse geweckt?

Sie sind an einem Angebot über einen Orthophos SL interessiert und möchten weitere Informationen erhalten? Oder Sie möchten einen individuellen Beratungstermin? Gerne steht Ihnen ein Spezialist für Röntgen und bildgebende Systeme zur Verfügung. Schreiben Sie uns einfach - wir melden uns schnellstmöglich bei Ihnen zurück!

Weitere Röntgengeräte im Angebot

Dürr Dental VistaPano S 2.0

Zum Produkt
Jubiläumsangebot

Orangedental GREEN NXT

mehr erfahren

orangedental PAX-I HD +

mehr erfahren

Weitere interessante Themen

Behandlungseinheiten & Zahnarztstühle
PRIMESCAN AC, PRIMEMILL und SPEEDFIRE von dentsply sirona
Geräte zur Aufbereitung - Hygiene

Newsletter Anmeldung

Melden Sie sich jetzt für unseren Newsletter an und genießen Sie alle Vorteile.

  • Informationen zu deNTAL BAUER Aktionen
  • Rabatte und exklusive Angebote
  • Aktuelle News der Dentalbranche
Anmelden
Unternehmen
  • Karriere
  • Wer wir sind
  • Standorte
  • Zertifizierung
Unser Angebot
  • Lösungen
  • Shop
  • Service
  • Training
  • Praxisbörse
  • Fundgrube
  • Dental Deals
  • PLU°LINE
  • Mundoline
  • Magazin
Hilfe & Information
  • FAQs (Häufige Fragen)
  • Registrierung
  • Bestellungen
  • Zähne
  • Versand
  • Retouren
  • Tutorials
  • Downloads
  • SEPA
  • Barcodes erstellen
Kontaktinformationen
Bestellungen per WhatsApp: 07071/977768
08:00 - 17:15 Uhr
08:00 - 16:00 Uhr
00800/77655440
eshop@dentalbauer.de
  • Datenschutz
  • Impressum
  • Disclaimer
  • AGB
  • Cookie-Einstellungen
  • Deutsch
© 2025 dental bauer
Deutsch