• Lösungen
      • Praxis- & Laborplanung
        • Lookbook
        • existKONZEPT
        • Existenzgründungsberatung
        • designkonzept
      • Geräte
        • Behandlungseinheiten
        • Röntgen
        • CAD/CAM
        • Hygiene
        • Prophylaxe
        • Chirurgie
        • Intraoralscanner
        • Mikroskopie
      • Praxisbörse
      • Fundgrube
    • Shop
      • Praxis
        • Abformmaterialien
        • CAD / CAM
        • Implantologie
        • Desinfektion, Pflege und Sterilisation
        • Instrumente
        • EDV-Zubehör
        • Medikamente, Medizinprodukte und Sonstiges
        • Einwegartikel und Arbeitsschutz
        • Mundschutz und Gesichtsmasken
        • Endodontie
        • Praxisorganisation
        • Prophylaxe
        • Füllungen
        • Röntgen
        • Glas- und Kunststoffwaren
        • Rotierende Instrumente
        • Handschuhe
      • Labor
        • Ausarbeiten und Polieren
        • KFO
        • CAD / CAM
        • Modellherstellung
        • Desinfektion, Einwegartikel und Arbeitsschutz
        • Modellieren und Tiefziehen
        • Einbetten, Gießen und Löten
        • Verblendtechnik
        • Instrumente
        • Zähne und Prothetik
      • PLU°LINE
      • Aktionen
      • Praxisgeräte
        • Autoklaven und Sterilisatoren
        • CAD/CAM
        • Endodontie
        • Folienschweißgeräte
        • Hand- und Winkelstücke & Turbinen
        • Reinigungs- und Desinfektionsgeräte
        • HF Chirurgie
        • Lichtpolymerisation
        • Mischgeräte
        • Prophylaxe und ZEG
        • Diverse Praxisgeräte
        • Zubehör
      • Laborgeräte
        • Arbeitsvorbereitung
        • CAD / CAM
        • Gipsbereich
        • Gußbereich
        • Keramik
        • Kraftraum / Versorgung
        • Technik
      • Hersteller
    • Service
      • Recall und Prüfungen
      • Netzwerke, IT
      • Reparaturservice
      • Entsorgung in der Zahnarztpraxis
      • DS Win 11- Update
    • Training
    • Kontakt
    • Übersicht Lösungen
    • Praxis- & Laborplanung
      • Lookbook
      • existKONZEPT
      • Existenzgründungsberatung
      • designkonzept
    • Geräte
      • Behandlungseinheiten
      • Röntgen
      • CAD/CAM
      • Hygiene
      • Prophylaxe
      • Chirurgie
      • Intraoralscanner
      • Mikroskopie
    • Praxisbörse
    • Fundgrube
    • Übersicht Shop
    • Praxis
      • Abformmaterialien
      • CAD / CAM
      • Implantologie
      • Desinfektion, Pflege und Sterilisation
      • Instrumente
      • EDV-Zubehör
      • Medikamente, Medizinprodukte und Sonstiges
      • Einwegartikel und Arbeitsschutz
      • Mundschutz und Gesichtsmasken
      • Endodontie
      • Praxisorganisation
      • Prophylaxe
      • Füllungen
      • Röntgen
      • Glas- und Kunststoffwaren
      • Rotierende Instrumente
      • Handschuhe
    • Labor
      • Ausarbeiten und Polieren
      • KFO
      • CAD / CAM
      • Modellherstellung
      • Desinfektion, Einwegartikel und Arbeitsschutz
      • Modellieren und Tiefziehen
      • Einbetten, Gießen und Löten
      • Verblendtechnik
      • Instrumente
      • Zähne und Prothetik
    • PLU°LINE
    • Aktionen
    • Praxisgeräte
      • Autoklaven und Sterilisatoren
      • CAD/CAM
      • Endodontie
      • Folienschweißgeräte
      • Hand- und Winkelstücke & Turbinen
      • Reinigungs- und Desinfektionsgeräte
      • HF Chirurgie
      • Lichtpolymerisation
      • Mischgeräte
      • Prophylaxe und ZEG
      • Diverse Praxisgeräte
      • Zubehör
    • Laborgeräte
      • Arbeitsvorbereitung
      • CAD / CAM
      • Gipsbereich
      • Gußbereich
      • Keramik
      • Kraftraum / Versorgung
      • Technik
    • Hersteller
    • Übersicht Service
    • Recall und Prüfungen
    • Netzwerke, IT
    • Reparaturservice
    • Entsorgung in der Zahnarztpraxis
    • DS Win 11- Update
    Training
    Kontakt
    Scanner auslesen
    • Keine Suchergebnisse gefunden
  • Kontakt
    • Login

      Login

      Anmelden
      • Passwort vergessen?

      Sie sind neu im Shop?

      Jetzt registrieren
    Warenkorb 0 Art. 0,00 €
Weiter einkaufen
Dein Warenkorb ist leer
Zum Warenkorb
  • Übersicht Lösungen
  • Praxis- & Laborplanung
    • Lookbook
    • existKONZEPT
    • Existenzgründungsberatung
    • designkonzept
  • Geräte
    • Behandlungseinheiten
    • Röntgen
    • CAD/CAM
    • Hygiene
    • Prophylaxe
    • Chirurgie
    • Intraoralscanner
    • Mikroskopie
  • Praxisbörse
  • Fundgrube
  • Übersicht Shop
  • Praxis
    • Abformmaterialien
    • CAD / CAM
    • Implantologie
    • Desinfektion, Pflege und Sterilisation
    • Instrumente
    • EDV-Zubehör
    • Medikamente, Medizinprodukte und Sonstiges
    • Einwegartikel und Arbeitsschutz
    • Mundschutz und Gesichtsmasken
    • Endodontie
    • Praxisorganisation
    • Prophylaxe
    • Füllungen
    • Röntgen
    • Glas- und Kunststoffwaren
    • Rotierende Instrumente
    • Handschuhe
  • Labor
    • Ausarbeiten und Polieren
    • KFO
    • CAD / CAM
    • Modellherstellung
    • Desinfektion, Einwegartikel und Arbeitsschutz
    • Modellieren und Tiefziehen
    • Einbetten, Gießen und Löten
    • Verblendtechnik
    • Instrumente
    • Zähne und Prothetik
  • PLU°LINE
  • Aktionen
  • Praxisgeräte
    • Autoklaven und Sterilisatoren
    • CAD/CAM
    • Endodontie
    • Folienschweißgeräte
    • Hand- und Winkelstücke & Turbinen
    • Reinigungs- und Desinfektionsgeräte
    • HF Chirurgie
    • Lichtpolymerisation
    • Mischgeräte
    • Prophylaxe und ZEG
    • Diverse Praxisgeräte
    • Zubehör
  • Laborgeräte
    • Arbeitsvorbereitung
    • CAD / CAM
    • Gipsbereich
    • Gußbereich
    • Keramik
    • Kraftraum / Versorgung
    • Technik
  • Hersteller
  • Übersicht Service
  • Recall und Prüfungen
  • Netzwerke, IT
  • Reparaturservice
  • Entsorgung in der Zahnarztpraxis
  • DS Win 11- Update
Training
Kontakt
Scanner auslesen

3M™ Filtek™ Easy Match Clinical Cases

Über Prof. Dr. med. Dent. Gabriel Krastl

Direktor der Poliklinik für Zahnerhaltung und Parodontologie am Universitätsklinikum Würzburg Mitglied der International Association of Dental Traumatology (IADT) sowie im Stipendienausschuss der IADT Mitglied der International Academy for Adhesive Dentistry Mitglied der Continental European Division (CED) der IADR Mitglied der Deutschen Gesellschaft für Zahnerhaltung (DGZ) Vorstandsmitglied der Deutschen Gesellschaft für Endodontologie und zahnärztliche Traumatologie (DGET) Swiss Association for Preventive and Restorative and Aesthetic Dentistry (SSPRE) Swiss Society of Endodontics (SSE) Autor mehrerer im Peer-Review-Verfahren begutachteter Publikationen über ästhetische Zahnmedizin, minimalinvasive Restaurationen, Traumatologie, Endodontologie und postendodontische Versorgung.

Restauration von Kavitäten der Klasse IV mit einem einzigen Farbton.

Fallbeschreibung:

Es stellte sich eine 58-jährige Patientin mit erneuerungsbedürftigen Restaurationen an den Zähnen 11 und 21 vor. Durch den Verschleiß des Komposits erschienen die klinischen Kronen kürzer als ästhetisch angemessen. Zur Wiederherstellung der ursprünglichen, harmonischen Proportionen wurde entschieden, beide Zähne neu zu versorgen.

Herausforderung: 

Die oberen Schneidezähne sind die Zähne, an die die höchsten ästhetischen Ansprüche gestellt werden. Nicht selten erfordern die anatomischen Details an diesen Zähnen die Kombination mehrerer Komposit-Massen unterschiedlicher Opazität. Im vorliegenden Fall gelang es jedoch, die ästhetischen Ansprüche der Patientin durch den Einsatz eines einzigen Komposit-Farbtons zu erfüllen.

Ergebnis:

Bei Zähnen mit einer geringen Transluzenz und homogenen Farbstruktur spart der Einsatz von Kompositen mit einem universellen Farbkonzept Zeit, während die Vorgehensweise stark vereinfacht wird. Das Farbergebnis stellte die Patientin zufrieden und die Proportionen der Zähne waren endlich wieder harmonisch.

 

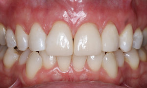
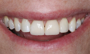
Ausgangssituation: Lächeln der Patientin.

Die Patientin störte sich an der im Vergleich zum Idealzustand kürzeren Inzisalkante der Zähne 11 und 21.

 

 

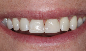
Ausgangssituation: Zähne in Okklusion.

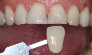
Farbauswahl.

Mit 3M™ Filtek™ Easy Match Universal Komposit ist es nicht notwendig, eine Farbskala zu verwenden. Da ich jedoch dieses Komposit zum ersten Mal einsetzte, entschied ich mich für die Herstellung eines Farbschlüssels aus dem Material selbst mit seinen drei verfügbaren Farboptionen (Warm, Natural und Bright). Dies erlaubt die Bestimmung des am besten geeigneten Farbtons.

 

Gewählte Farbe.

Die Farbe der natürlichen Zähne entsprach dem Farbton A3 der VITA classical A1-D4® Farbskala. Dieser stimmt mit dem Farbton Natural von 3M™ Filtek™ Easy Match überein.

Überprüfung der gewählten Farbe.

Nach der Entfernung der bestehenden Versorgungen wurde eine geringe Menge 3M™ Filtek™ Easy Match im Farbton Natural ohne vorheriges Ätzen und Bonden im Frontzahnbereich appliziert. Dies diente ausschließlich der Überprüfung des zu erwartenden Farbergebnisses.

 

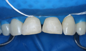
Absolute Trockenlegung mit Kofferdam.

Ligaturen aus Zahnseide helfen bei der Fixierung des Kofferdams. Die Zahnhartsubstanz ist im Zustand nach Entfernung der bestehenden Versorgungen dargestellt.

Einprobe des Silikonschlüssels zur Passungskontrolle.

Um die Anatomie des Wax-ups vom Modell zu kopieren, wurde ein Schlüssel aus A-Silikon-Abformmaterial hergestellt. Es wird sichtbar, wie viel Zahnhartsubstanz mit Komposit aufzubauen ist, um die Proportionen wiederherzustellen.

 

Ansicht von lateral.

Restaurationen an den Zähnen 11 und 21 nach Ätzen der Präparation mit Phosphorsäure-Ätzgel und Applikation von 3M™ Scotchbond™ Universal Plus Adhäsiv sowie Aufbau mit Komposit.

 

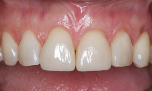
Frontalansicht.

Restaurationen an den Zähnen 11 und 21 vor der Ausarbeitung und Politur.

 

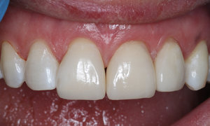
Ergebnis unmittelbar nach Behandlungsabschluss.

Situation nach Ausarbeitung, Politur und Entfernung des Kofferdams. Der Einsatz eines Blockers war nicht erforderlich, die Opazität wirkt natürlich.

 

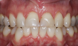
Postoperative Aufnahme der Zähne in Okklusion.

Eine Überprüfung des Farbergebnisses ist aufgrund der dehydrierten natürlichen Zahnhartsubstanz nicht möglich, das Erscheinungsbild aber vielversprechend.

 

 

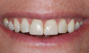
Lächeln der Patientin unmittelbar nach der Behandlung.

 

In diesem Fall verwendetes 3M™ Filtek™ Easy Match Universal Komposit im Farbton Natural.

 

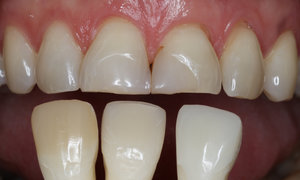
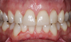
Ergebnis nach vier Wochen.

Die Zähne sind vollständig rehydriert und das Komposit stimmt farblich mit der Zahnhartsubstanz überein.

 

 

Zähne in Okklusion nach vier Wochen.

 

Lächeln der Patientin nach vier Wochen.

Die Patientin ist mit der Farbe und Form ihrer neuen Restaurationen sehr zufrieden.

Newsletter Anmeldung

Melden Sie sich jetzt für unseren Newsletter an und genießen Sie alle Vorteile.

  • Informationen zu deNTAL BAUER Aktionen
  • Rabatte und exklusive Angebote
  • Aktuelle News der Dentalbranche
Anmelden
Unternehmen
  • Karriere
  • Wer wir sind
  • Standorte
  • Zertifizierung
Unser Angebot
  • Lösungen
  • Shop
  • Service
  • Training
  • Praxisbörse
  • Fundgrube
  • Dental Deals
  • PLU°LINE
  • Mundoline
  • Magazin
Hilfe & Information
  • FAQs (Häufige Fragen)
  • Registrierung
  • Bestellungen
  • Zähne
  • Versand
  • Retouren
  • Tutorials
  • Downloads
  • SEPA
  • Barcodes erstellen
Kontaktinformationen
Bestellungen per WhatsApp: 07071/977768
08:00 - 17:15 Uhr
08:00 - 16:00 Uhr
00800/77655440
eshop@dentalbauer.de
  • Datenschutz
  • Impressum
  • Disclaimer
  • AGB
  • Cookie-Einstellungen
  • Deutsch
© 2025 dental bauer
Deutsch