Zum Hauptinhalt springen Zur Suche springen Zur Hauptnavigation springen
Willkommen auf der neuen Website Ihres Partners für Praxen und Labore im Dentalbereich!

3M™ Filtek™ Easy Match Clinical Cases

Dr. Silvana Thering ist Spezialistin für zahnärztliche Prothetik und promovierte in nicht-invasiver Diagnostik an der Universität Victor Babes in Timisoara (Rumänien). Nach einigen Jahren als Zahnärztin in ihrem Heimatland und sieben Jahren als Assistenzprofessorin zog sie nach Deutschland. Ihr Behandlungsschwerpunkt liegt im Bereich komplexer ästhetischer und funktioneller (implantatgetragener) Rehabilitationen, wobei sie sowohl traditionelle als auch moderne prothetische Techniken anwendet und sich hauptsächlich auf minimalinvasive Verfahren konzentriert. Sie hat mehrere Artikel und Buchkapitel auf dem Gebiet der restaurativen Zahnheilkunde und der minimal-/nichtinvasiven Diagnostik verfasst und ist Mitglied in verschiedenen Fachverbänden. Außerdem referiert sie zu diversen Themen im Zusammenhang mit ästhetischen direkten und indirekten Restaurationen, komplexen adhäsiven Rekonstruktionen und Implantatprothetik.

Restauration einer frakturierten Inzisalkante bei einer jungen Patientin

Fallbeschreibung: 

Ein sechsjähriges Mädchen, das sich guter Gesundheit erfreute, stellte sich mit ihrer Mutter in der Praxis vor. Ihr Hauptanliegen war die Versorgung der frakturierten Inzisalkante des Zahnes 11. Aufgetreten war die Fraktur im Rahmen eines Unfalls in der Schule. Bei der klinischen Untersuchung zeigte sich eine Schmelzfraktur an der Schneidekante sowie dem distalen Rand des Zahnes 11. Gemeinsam mit der Mutter wurde entschieden, die Form, Kontur und Ästhetik des Zahnes mit Komposit wiederherzustellen. Die Komposit-Versorgung wurde freihändig hergestellt – anstelle eines palatinalen Silikonschlüssels wurde zur Stabilisierung ein Finger verwendet (sog. Finger Index Technique). Zur Wiederherstellung der Form, Kontur und Ästhetik kam 3M Filtek Easy Match Universal Restorative im Farbton Bright zum Einsatz. Die Formgebung im Bereich der Inzisalkante erfolgte mit feinkörnigen rotierenden Instrumenten. Die Materialien der Wahl für die finale Oberflächenpolitur waren 3M Sof-Lex Ausarbeitungs- und Polierscheiben, Bimssteinpaste und Polierpaste.

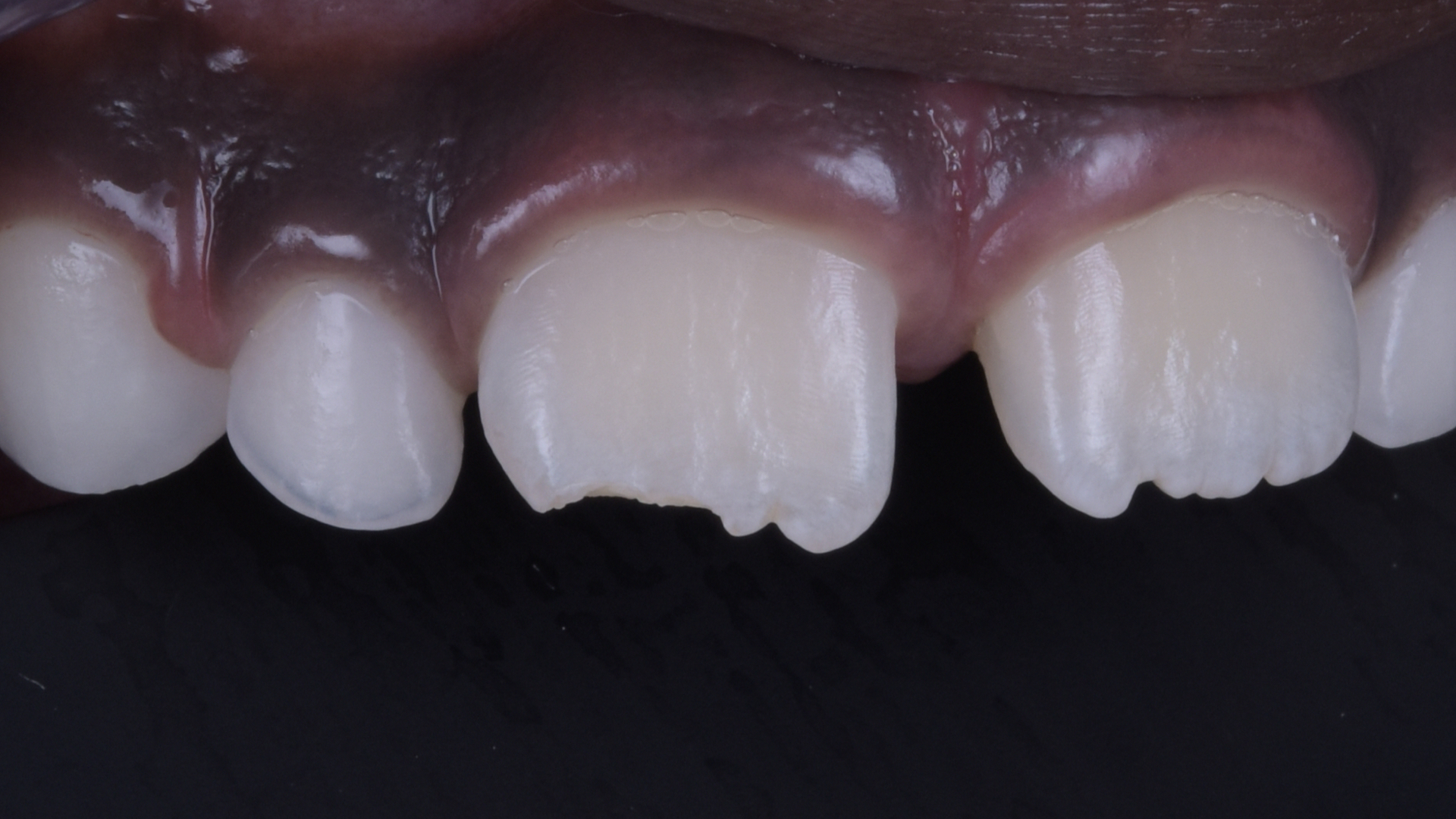
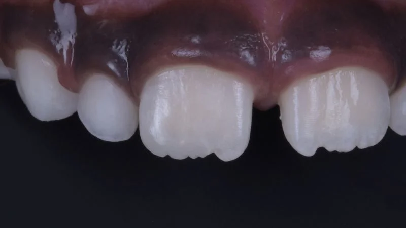
Ausgangssituation

Detailansicht der Oberkiefer-Frontzähne. Horizontale Kronenfraktur unter Einbeziehung der Inzisalkante sowie des distalen Anteils von Zahn 11.

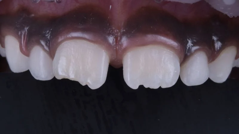
Detailansicht des frakturierten Zahnes.

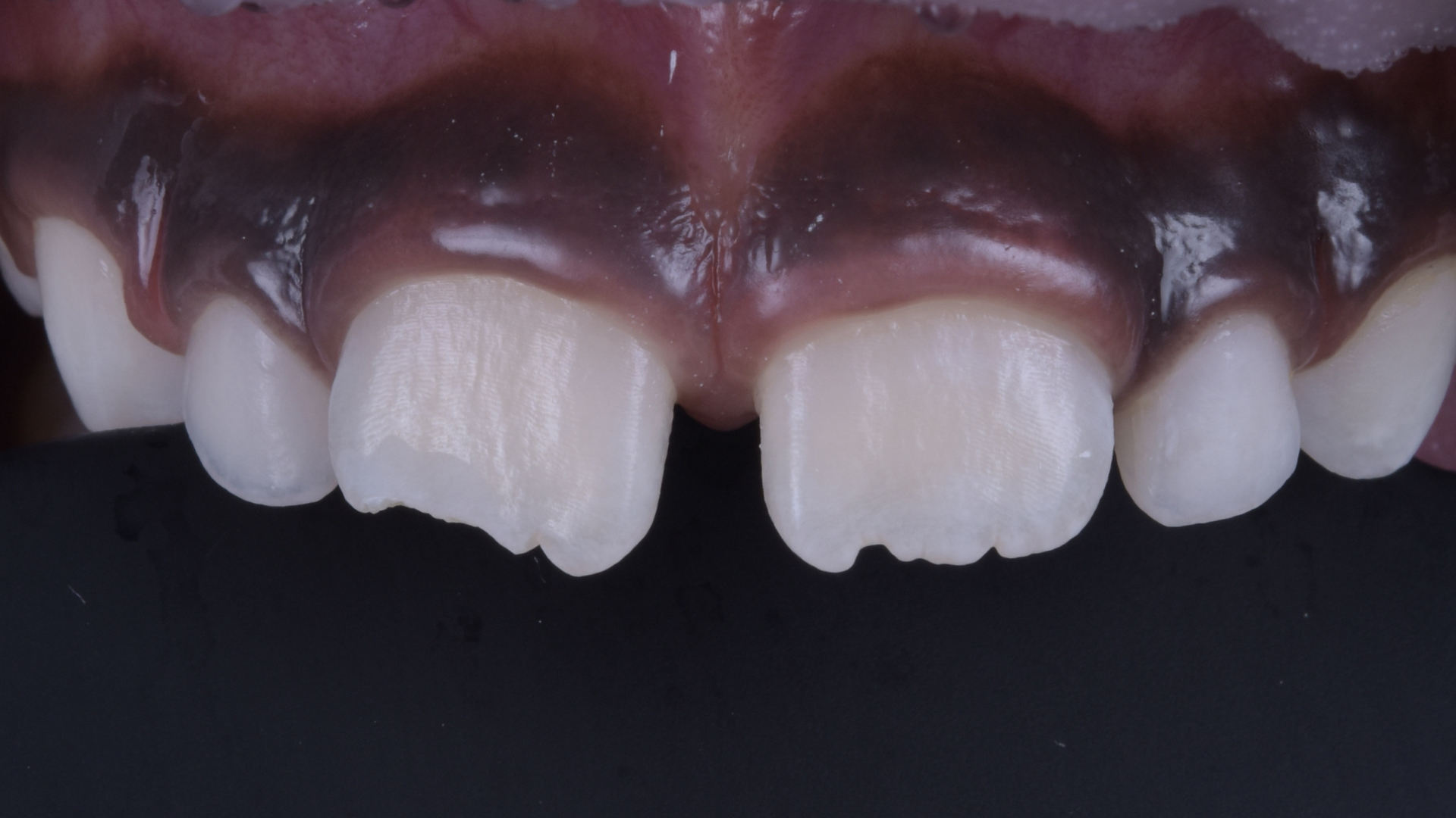
Ansicht von lateral.

Anschrägen des Zahnschmelzes.

Zur Verbesserung der Form und Kontur kam eine 3M Sof-Lex Ausarbeitungs- und Polierscheibe grober Körnung zum Einsatz.

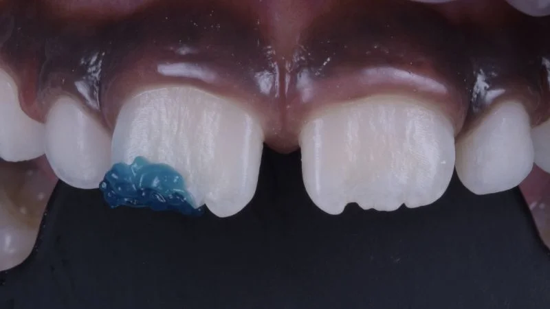
Schmelzätzung.

Konditionierung des Schmelzes an Zahn 11 mit 3M Scotchbond Universal Ätzgel. Die Einwirkzeit sollte 15 Sekunden betragen.

Gründliches Spülen mit Wasser und Trocknen mit wasser- und ölfreier Luft. 

Schmelzklebefläche an Zahn 11 nach dem Ätzen.

Adhäsiv-Applikation. 

Klebefläche an Zahn 11 nach der Applikation von 3M Scotchbond Universal Plus Adhäsiv. Das Adhäsiv wurde zuvor mit einem LED-Polymerisationsgerät für zehn Sekunden lichtgehärtet.

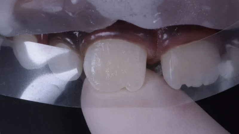
Finger Index Technique. 

Ein Finger dient als Grundlage für die Applikation von 3M Filtek Easy Match Universal Komposit im Farbton Bright zur Wiederherstellung der Form, Kontur und Ästhetik.

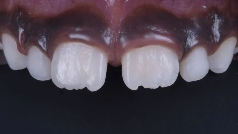
Restauration mit Komposit. 

Freihand-Modellation der Komposit-Restauration.

Ausarbeitung und Politur. 

Polierte Oberfläche der Restauration an Zahn 11. 3M Sof-Lex Ausarbeitungs- und Polierscheiben Medium, Fein, Superfein, Bimssteinpaste und Polierpaste kamen zum Einsatz. Die Ausformung der Inzisalkante erfolgte mit feinkörnigen rotierenden Instrumenten.

Behandlungsergebnis. 

Ansicht des Zahnes 11 von lateral.

Restauration nach Fertigstellung.

Eine komplette Produktbeschreibung entnehmen Sie bitte der Gebrauchsanweisung (IFU). Ergebnisse können abweichen.